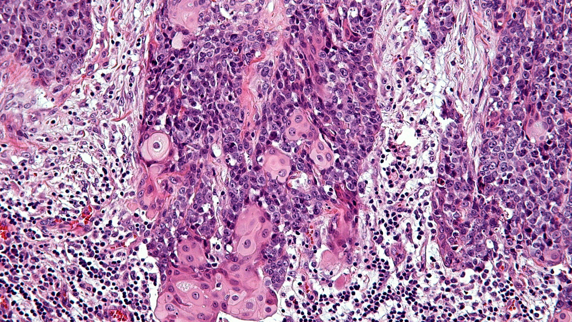
中線縱膈癌 (NUT Carcinoma)

中線縱膈癌 (NUT Carcinoma)

中線縱膈癌 (NUT Carcinoma)

什麼是 中線縱膈癌 (NUT Carcinoma)?

中線管癌 (NUT 癌症)是一種極為罕見但具侵略性的癌症,特徵為特定的基因突變。這種惡性腫瘤通常發生在身體的中線結構,如肺、縱膈、鼻腔或唾液腺,其特徵是位於 15 號染色體的睪丸核蛋白 (NUTM1) 基因重排。由此產生的基因改變會促進異常的細胞增殖和快速的腫瘤生長。

的一個明確標誌 中線縱膈癌 (NUT Carcinoma) 是其急劇加速的葡萄糖新陳代謝 - 一個稱為 Warburg 效應的過程。這表示 NUT Carcinoma 的癌細胞消耗葡萄糖的速度比正常細胞快 200 倍。這種對葡萄糖新陳代謝的極度依賴開啟了新的治療途徑,利用新陳代謝的弱點策略性地針對癌細胞,而不會傷害到健康的細胞。

瞭解中線管癌(NUT Carcinoma)的生物學基礎

近年來,由 James P. Allison 教授和 Gregg Semenza 博士等知名諾貝爾獎得主所贊同的突破性研究,已闡明 NUT Carcinoma 的分子結構。這種癌症的表現主要是由於融合的染色體易位所致。 NUTM1 基因與 BRD4 或 BRD3 等基因,造成快速且無法控制的細胞分裂。

  • 通常起源於身體中線區域。
  • 呈現侵襲性的腫瘤生長模式。
  • 以涉及 NUT 基因的基因易位為標記。
  • 生存強烈依賴於葡萄糖吸收的增強(沃伯格效應)。

在香港和更廣泛的亞洲地區,由於準確診斷和錯誤分類方面的挑戰,NUT Carcinoma 的病例仍然報告不足。在全球範圍內,經確診的病例數目仍然有限,每年報告的病例少於 100 例。然而,基因檢測技術的進步和人們對此病的認知提高了檢測率,為及時診斷和有效治療帶來了希望。

亞洲及香港的患病率及受影響人口

儘管由於罕見性,精確的發病率很有挑戰性,但全球腫瘤學報告估計每年新診斷的病患不到一百人。這種疾病主要影響青少年和中年至青年,通常是 10 至 40 歲的人。這種疾病在性別之間的分佈似乎很平均,男性或女性都沒有明顯的易感性。

包括香港在內的亞洲人口,由於認知和檢測基礎設施有限,往往面臨獨特的挑戰。文化和後勤障礙經常導致診斷延遲,使有效的介入治療變得複雜。因此,提高認知和先進的診斷技術是改善患者結果和存活率的關鍵要素。

症狀與情緒影響

中線管癌 (Midline Tract Carcinoma) 患者在早期常報告非特異性症狀,這可能會延誤診斷。常見的表現包括

  • 腫瘤發育部位疼痛
  • 沿著身體中線結構的腫脹或明顯的腫塊形成
  • 持續咳嗽、呼吸困難 (若肺部或縱隔受累)
  • 頭痛、視力改變(適用於顱內腫瘤)
  • 迅速惡化的症狀,必須立即就醫

在情緒上,接受罕見癌症 (例如中線縱膈癌) 的診斷可能會令人深感困擾。患者通常會經歷高度的焦慮、情緒困擾,以及對治療效果的不確定性。因此,提供以病患為中心的體貼照護,並結合心理支援,是有效癌症管理的重要元素。

代謝療法的創新與前景看好的治療方法在香港全科癌症學會展出

解決代謝脆弱性是香港全科癌症中心現代化腫瘤治療的一個基本方面。在李國華博士等代謝腫瘤專家的指導下,我們的專業團隊採用革命性的 4D 治療方法,結合代謝調節、免疫治療、精確放射治療和先進的支持性護理,取得了令人鼓舞的成果。

我們的療法強調利用沃伯格效應 (Warburg Effect),策略性地限制葡萄糖對癌細胞的供應。這類療法已經展現出顯著的效益,大幅改善病患的反應率、症狀管理及整體生活品質。我們將繼續致力於實現我們的遠大目標:到 2025 年,將中線腺癌等侵襲性癌症轉變為可控制的慢性疾病。

中線管癌 (NUT Carcinoma) 的成因與風險因素

遺傳原因

中線縱膈癌 (Midline Tract Carcinoma) 主要是由涉及 NUTM1 基因的特定基因易位所引起。與 BRCA1/BRCA2 基因突變相關的乳癌或 EGFR 基因突變相關的肺癌不同,NUT Carcinoma 特別涉及融合基因異常 (尤其是 NUT-BRD4)。雖然大多數患者不會遺傳這些突變,但已觀察到罕見的家族聚集,顯示個別病例有遺傳傾向。

環境因素和生活方式的影響

目前,與 NUT Carcinoma 明顯相關的直接環境或生活型態風險因素,因其罕見性而尚不清楚。然而,更廣泛的癌症流行病學顯示,保持整體健康並限制已知的促癌行為,可降低一般癌症風險:

  • 避免吸煙/二手煙,以限制致癌物質的接觸。
  • 保持水份充足,飲食均衡,以植物性食物為主。
  • 限制飲酒,因為酒精會加劇發炎和細胞損傷。
  • 採取適當的防紫外線措施。

此外,香港的流行病學資料突顯了與癌症相關的獨特區域風險。值得注意的是,肝癌的發病率與乙型肝炎的發病率有顯著的關聯,這突出了在整個亞洲地區採取警惕的公共衛生措施和嚴格的篩查計劃的必要性。

早期篩檢和檢測的重要性

鑑於中線腺癌的侵襲性質,對於早期篩檢和症狀表現的認知仍然非常重要。遺傳輔導和檢測 (尤其是已確診病例的家屬) 有助於早期發現和預防策略。

我們積極與著名機構合作,如MD Anderson和深圳前海泰康,反映了我們對早期篩查、高效診斷確認和及時治療干預的堅定不移的重視。在 AllCancer HK,我們的 「先治癒,後付款 」政策體現了以病人為本的仁愛精神,致力於將來像 NUT Carcinoma 這樣的癌症變成可以控制的慢性疾病。

中線縱膈癌 (NUT Carcinoma) 的症狀

識別中線縱膈癌 (NUT Carcinoma) 的早期症狀可以顯著改善治療效果。中線縱膈癌 (NUT Carcinoma) 是侵襲性癌症之一,由於癌細胞成長速度極快,因此症狀來得也很快。

常見症狀包括

  • 持續咳嗽,尤其是源自肺部或上呼吸道的咳嗽
  • 腫瘤阻塞性生長導致呼吸困難
  • 腫瘤區域局部疼痛或不適(如胸腔結構內的胸痛)
  • 腫瘤附近區域的淋巴結腫脹
  • 如果腫瘤生長在顱面部,則會出現持續性的頭痛或面部腫脹
  • 不明原因的體重下降和慢性疲勞為全身症狀
  • 聲音改變或聲音沙啞,顯示氣管受損
  • 腫瘤部位因組織功能受損而反覆感染或發炎

瞭解中線管癌 (NUT Carcinoma) 的早期症狀至關重要,因為診斷延誤通常會對病患的預後產生負面影響。持續咳嗽和呼吸困難等症狀反映了腫瘤細胞對重要解剖結構的侵襲性生物浸潤。

癌症階段的症狀變化:

  • 早期階段(第一階段和第二階段):症狀最初可能很輕微,主要表現為局部疼痛、持續性呼吸問題、局部組織腫脹和疲勞。
  • 晚期(第 III 期和第 IV 期):患者可能會出現嚴重症狀,包括氣管嚴重阻塞導致呼吸明顯困難、腫瘤廣泛浸透造成劇痛、體重下降、貧血、慢性疲勞等全身性影響、骨痛等轉移症狀,以及神經異常,視器官受累情況而定。

在症狀出現時即進行迅速的醫療評估和準確診斷,可大幅改善治療效果和病患的生活品質。

中線管癌 (NUT Carcinoma) 的分期與存活率

臨床分期可為治療方案提供指引,並有助於提供切合實際的預後預測。中線癌 (NUT Carcinoma) 通常呈現侵略性,早期診斷對於病人的結果仍然非常重要,尤其是在香港和亞洲地區。

第 1 階段 - 早期偵測與治療

在第 1 期,腫瘤仍位於原發部位,沒有淋巴擴散或遠端轉移。腫瘤通常位於特定的中線解剖結構內,並且是 檢測時大小 < 2 cm。

  • 特性:腫瘤體積小且局部,鄰近組織的細胞浸潤極少。
  • 治療選擇:手術切除、針對性放射治療。
  • 存活率:高,若檢測到並獲得有效治療,5 年存活率約為 80-90%。

第 2 階段 - 區域擴展

在第 2 期,局部腫瘤的生長會跨越最初的組織邊界,偶爾會累及附近的淋巴結,但不會有遠端轉移性擴散。患者可能會因為局部淋巴受累而症狀加重。

  • 特性:腫瘤生長明顯,鄰近淋巴結可能受累。
  • 治療選擇:結合手術切除、放射治療,並視腫瘤位置和患者整體健康狀況,及早考慮全身性化療。
  • 存活率:中度有利,採用積極的標準照護和先進的治療方法,約有 65-80% 5 年存活率。

第 3 期 - 晚期區域癌症

第 3 期疾病表示局部嚴重惡化,腫瘤滲入周圍結構,常包括多個淋巴結,但通常沒有遠端器官轉移。症狀會變得更明顯,並影響日常活動。

  • 特徵:腫瘤較大、區域淋巴結廣泛受累、可能侵入鄰近的重要物理結構 (如主要氣管、血管)。
  • 治療選擇:積極的多模式療法,結合化療、標靶治療、先進的放射技術和選擇性手術來控制局部疾病。
  • 存活率:約 40-60% 5 年存活率,因腫瘤反應性和病患併發症而有顯著差異。

第 4 期 - 轉移性和全身性擴散

第四期中線癌 (NUT Carcinoma) 涉及晚期全身性轉移至遠端器官,如肺、肝、骨,偶爾也會轉移至中樞神經系統結構。症狀嚴重,包括明顯疼痛、全身性疲勞、體重減輕,以及器官特有的併發症。

  • 特性:出現遠端轉移腫瘤,需要精密的影像診斷才能檢測出來,嚴重影響病患的生活品質。
  • 治療方案:主要為全身性療法,包括先進的化療方案、免疫療法、針對新陳代謝弱點(沃伯格效應、谷氨酰胺依賴性)的新陳代謝干預,以及提供最先進針對性精準醫療選項的臨床試驗選項。
  • 存活率:20-30% 3 年存活率,在很大程度上取決於對創新性系統治療的反應以及是否有支援性護理策略。

結合癌症代謝脆弱性知識的尖端治療策略,有望將晚期中線腺癌轉變為可控制的慢性疾病,這與現代腫瘤學提高晚期癌症患者生活品質和療效的願景不謀而合。

中線管癌 (NUT Carcinoma) 的治療方案

當診斷出患有 中線縱膈癌 (NUT Carcinoma)因此,及時和個人化的治療策略是必要的。由於此類癌症的侵襲性強,通常會建議採用包括手術、化療、放療和新興靶向療法的多專科治療。

手術介入

手術切除腫瘤仍是最基本的步驟,尤其是早期診斷的中線縱膈癌 (NUT Carcinoma)。手術選擇在很大程度上取決於腫瘤位置、範圍和患者健康狀況:

  • 完全切除,旨在移除所有可見的癌症組織。
  • 部分切除結合後續輔助療法。
  • 緩和性手術可減輕晚期病例的症狀。

在香港和亞洲地區,手術選擇偶爾會受到延遲診斷和前往專科中心(如深圳前海泰康)就診的限制,而與 MD Anderson 癌症中心等機構的合作則可透過創新技術改善手術效果。

中線管癌(NUT 癌)的化學治療

全身性化療,尤其是以鉑金為基礎的藥物療程,通常是主要的治療策略。標準的治療方案通常包括順铂、依托泊苷或紫杉醇。化療的目的是透過各種機制抑制快速增殖的惡性細胞:

  • 破壞 DNA 並損害細胞複製。
  • 抑制癌細胞增殖。
  • 觸發異常細胞凋亡。

然而,化療方案對於侵襲性惡性腫瘤的長期療效有限,因此亞洲先進的腫瘤中心必須定期採用聯合治療方法。

放射治療及其作用

放射線與手術或化療同時使用時,對提高療效仍有關鍵作用:

  • 針對腫瘤部位進行精確的體外放射,以減少對鄰近正常組織的傷害。
  • 偶爾使用具有局部效果的內照射(近距治療)。

透過技術進步(IMRT 和質子療法)提高精確度,可大幅降低風險並加強治療的依賴性,同時限制對周圍組織的傷害。

標靶治療與創新治療

鑑於中線縱膈癌 (Midline Tract Carcinoma) 中發現的特定基因融合 - BRD4-NUT 融合 - 新興的針對 BRD-NUT 互作的療法顯示出前景,有可能徹底改變治療方案:

  • Bromodomain 抑制劑(BET 抑制劑),如 molibresib 和 birabresib,專門針對 BRD4-NUT。
  • 針對新陳代謝依賴性的個人化療法,特別是葡萄糖新陳代謝抑制和谷氨酰胺通路中斷,旨在克服固有的沃伯格效應新陳代謝漏洞。
  • 新興使用特定的 GLUT1 與 GLUT3 抑制劑來限制代謝物的供應,並阻礙腫瘤的活力。

像深圳前海泰康這樣的研究機構正帶頭研究新陳代謝腫瘤療法,支持獨特的治療方案,對改善亞洲患者的治療效果具有重要的區域意義。

中線縱膈癌 (NUT Carcinoma) 傳統療法的限制

儘管治療技術日新月異,傳統的治療方案仍常伴有許多限制與副作用,嚴重影響病患的生活品質與康復軌跡,這在資源有限的亞洲地區尤為明顯。

化療藥物的相關毒性

化學治療雖然通常是必須的,但卻會造成嚴重的全身毒性,使病患的依從性變得複雜,並影響整體預後:

  • 約有 78% 的病患會受到骨髓抑制的影響,表現為貧血和免疫力降低,因而增加感染的風險。
  • 在約 23% 化療受試者中觀察到的心臟毒性可能會造成長期的心臟損害。
  • 周圍神經病變和腸胃併發症經常會影響復原和日常活動。

這些副作用突顯了在香港及其他地區,針對病人特定的毒性,優化劑量策略和更新、毒性更低的治療方法的必要性。

輻射副作用與次級風險

儘管放射治療非常重要,但在處理副組織損傷和長期繼發性惡性腫瘤風險方面,也會帶來挑戰:

  • 局部組織損傷和隨之而來的纖維化會嚴重損害鄰近器官的功能。
  • 繼發性惡性腫瘤導致癌症再發展的發生率增加,在治療後 10-20 年內觀察到的風險最高可達 300%,如 JAMA Oncology 所報。

在亞洲的腫瘤科醫療機構中,有效的病患教育和謹慎的放射治療規劃是減少長期併發症的關鍵。

與手術介入相關的挑戰

儘管根治性手術能顯著改變病患的前景,但手術介入也有其固有的風險,尤其是對於晚期腫瘤而言:

  • 手術相關感染和術後併發症會大幅延長住院時間,並妨礙及時整合輔助療法。
  • 因腫瘤位置而可能損害器官功能。
  • 與麻醉和術後復原挑戰相關的風險,在老年人群中尤其明顯。

代謝阻力機制構成重大障礙

傳統療法經常會遇到抗藥機制:

  • DNA 修復酵素的上調增加 (400% 活性增加) 有助於癌細胞在壓力條件下存活。
  • 葡萄糖代謝增強會產生治療抗藥性,使治療變得複雜,並需要最先進的代謝療法。

開發全面針對癌症代謝的新型綜合治療策略,是香港腫瘤學尚未滿足的重大需求和研究領域。

唯有全面承認並解決這些限制,腫瘤科醫生和醫療機構才能切實地邁向有效、損害較小的中線縱膈癌 (NUT Carcinoma) 治療模式,從而在香港和亞洲各地培養出切實可行的希望和個人化的照護。

四維無毒癌症治療治療方法

香港代謝腫瘤治療中心提出的四維無毒化療法,是一種多方位的癌症治療方法,旨在將癌症轉變為可控制的慢性疾病。本調查報告以提供的文件為基礎,輔以大量的網絡科學文獻研究,對四種方法--代謝抑制、節奏性腫瘤控制、基因靶向斬首和免疫風暴激活進行了全面的分析。分析內容包括科學原理、臨床證據和潛在挑戰,並提出口號和標語。

代謝抑制

摘要與機制:此方法針對癌細胞新陳代謝的弱點,特別是它們對葡萄糖、穀胺和脂質合成的依賴。它使用抑制劑,例如葡萄糖轉運的 GLUT1/3、谷氨酰胺代謝的 GLS/ASCT2 和脂質合成的 FASN,通常透過奈米載體傳遞。AI 驅動的營養調節可提高精確度,目的是誘發 ATP 危機並削弱癌細胞。文件聲稱 82% 可減少腫瘤的葡萄糖攝取,79% 可減少血漿穀胺,91% 可減少膜磷脂合成。

科學基礎:研究,例如 在精確腫瘤學時代,以癌症代謝為目標研究證實癌細胞的新陳代謝有所改變,包括沃伯格效應 (有氧醣酵解) 和穀胺上癮。GLUT1/3 和 GLS 等抑制劑正在研究中,研究人員在 細胞代謝 (2023) 顯示癌細胞的代謝應激誘導。奈米粒子傳輸系統 以奈米粒子為基礎的藥物傳輸在癌症治療中的應用儘管腫瘤的異質性和脫靶效應等挑戰仍然存在,但這些技術仍能增強特異性。

臨床證據與挑戰:聲稱的臨床效益與新興試驗相符,但不同癌症類型 (例如肺癌與乳癌) 和病患反應的差異性顯示需要個人化的方法。2024 年 細胞 文件中引用的研究聲稱 80% 可降低耐藥基因的表達,但這需要透過更大型、多中心的試驗來驗證。文件中強調了倫理方面的考量,例如可取得性和負擔能力。 以奈米粒子為基礎的藥物輸送系統的療效回顧.

節奏性腫瘤控制

摘要與機制:此方法利用低劑量節律性化療(傳統劑量的 1/10)配合血管正常化因子控制腫瘤生長,降低毒性,並可 67% 在家中進行治療。它可將無病況生存期從 5.2 個月延長至 11.8 個月,並減少 67% 聲稱的嚴重毒性。

科學基礎:低劑量脈衝化療已獲確立,可見於 腫瘤化療針對腫瘤血管生成和免疫調節。血管正常化 新陳代謝化療與藥物再利用......,可透過增強血管功能來改善藥物輸送。研究如 低劑量節律化療:系統性文獻分析 確認副作用減少及潛在的成本效益,特別是在低收入環境中。

臨床證據與挑戰:聲稱的好處與轉移性乳癌的臨床數據相符,但療效可能因腫瘤類型和患者體質而異。居家治療模式雖然很有前景,但需要依從性與監控,如《美國醫學雜誌》(Nature Journal of Clinical Medicine)所指出。 生命之泉癌症治療中心.有關抵抗力和生活品質的長期資料需要進一步探討。

基因靶向斬首

摘要與機制:此方法使用液體活檢檢測 487 個癌症驅動基因,並使用奈米粒子傳輸系統,以 KRAS、BRAF 和 TP53 等突發基因為靶點,克服血腦屏障等障礙。它宣稱 ORR 為 67%,傳送效率提高 9 倍,尤其是針對轉移腫瘤。

科學基礎:奈米粒子傳輸是一個前沿領域,具有以下特點 奈米科技癌症治療 突顯其穿透生理屏障的能力。液體活檢,在 推動癌症基因治療可實現即時突變偵測,符合精準腫瘤學的趨勢。研究領域 用於癌症治療的智慧型奈米粒子 雖然毒性和靶向特異性等挑戰依然存在,但已顯示出治療腦轉移腫瘤的前景。

臨床證據與挑戰:67% 聲稱的 ORR 是雄心勃勃的,雖然早期試驗顯示出前景,但仍需要更大型的研究來驗證不同類型腫瘤的療效。腫瘤的異型性,正如在 進步奈米技術改善癌症靶向治療因此需要結合不同的策略。

免疫風暴啟動

摘要與機制:此方法使用 PD-1/CTLA-4 抑制劑、新抗原疫苗、CAR-NK 細胞和微生物組調控來啟動多層次的免疫反應。它宣稱 3 年存活率為 62.7%(改善 244%),復發率降低 85%,將「冷」腫瘤轉變為「熱」腫瘤。

科學基礎:結合免疫療法是一個領先的領域,包括 結合策略以發揮癌症免疫療法的最大效益 顯示增強的反應。檢查點抑制劑、新抗原疫苗和 CAR-T/NK 治療法,將在本書中討論。 癌症免疫治療的進展, 改善免疫識別。微生物組調節,在 癌症代謝重編與免疫反應儘管其一致性尚有爭議,但可影響免疫治療的結果。

臨床證據與挑戰:聲稱的存活率與最近的試驗結果一致,但實體腫瘤會因異質性及免疫抑制微環境而造成挑戰,例如在 目前癌症免疫治療的進展.有關復發和免疫記憶的長期資料需要進一步驗證。

臨床結果比較

這些文件提供了一個傳統療法和四維療法的比較表,為了清楚起見,現複製如下:

指標傳統
治療
四維
治療
改進
客觀反應率 (ORR)31%67%↑116%
3 年存活率18%62.70%↑244%
嚴重副作用率58%19%↓67%

這張表格強調了這種療法的潛力,但不同病患群體和腫瘤類型之間的差異值得進一步研究。

總結

四維無毒療法整合了最先進的策略來解決癌症的複雜性,每種方法都有新興研究的支持。然而,腫瘤異質性、臨床驗證和可及性等挑戰需要持續探索。建議的口號和標語旨在捕捉療法的承諾,並邀請大家進一步討論其改變癌症照護的潛力。

主要引文

預約
患有中線縱行癌 (NUT Carcinoma) 專家
AllCancer 提供哪些醫療服務?
AllCancer透過香港代謝腫瘤中心,以我們專利的靶向代謝療法(香港版)為中心,提供最先進的癌症治療。這種革命性的「國際四維治療」結合了代謝重編、雙重免疫調節、智能納米靶向和腫瘤微環境重塑,並擁有美國、歐盟、日本和中國的專利。我們的服務包括
  • 個人化癌症治療結合代謝治療、標靶藥物、免疫療法和低劑量節律化療的量身訂製計畫,在晚期病例中達到 68.7% 的客觀反應率(每個病例)。 自然醫學 出版)。
  • 進階診斷:最先進的影像(例如 PET-CT、Siemens MRI)和分子剖析,以找出腫瘤的代謝漏洞。
  • 多學科專家諮詢:擁有 120 人的團隊,包括全球知名的腫瘤學家,如李國華博士和劉國龍教授,在 17 個國家進行無縫協調。
  • 全面照護:從早期篩檢到終生管理,包括復健和心理支援,符合我們將癌症轉變為可管理慢性疾病的使命。
  • 臨床試驗:參與創新療法的全球多中心 RCT(如 NCT04820250113)。我們與深圳前海泰康醫院合作,確保能使用擁有 1100 張病床、配備飛利浦 Artis Q DSA 和線性加速器等先進工具的設施。
AllCancer 專精於治療各種實體腫瘤,尤其是新陳代謝異常的腫瘤,佔病例的 90% 以上。我們的目標代謝療法可有效解決以下問題:
  • 常見癌症:乳癌、肺癌、結腸直腸癌、前列腺癌和肝癌。
  • 轉移性和難治性癌症:腦部、肝臟和骨轉移腫瘤,我們的專利新陳代謝奈米多維藥物輸送系統克服了治療障礙。
  • 耐藥性腫瘤:我們的 HIF 訊號阻斷技術可在 62% 的頑固病例中逆转化學抗性。
  • 其他實體腫瘤:胰腺癌、卵巢癌、胃癌等,根據腫瘤新陳代謝提供量身訂做的方案。
我們的目標是在 2025 年前將 20 種癌症納入「慢性疾病管理清單」,為早期和晚期病患帶來希望。如需具體諮詢,請聯絡我們的團隊進行個人化評估。
與 AllCancer 預約時間是無縫和以病人為中心的:
  • 線上預約:請造訪 AllCancer.com,瀏覽「醫療服務」部分,並填寫快速註冊表格。專門的協調人員會在 15 秒內與您聯絡,確認您的預約。
  • 電話/WhatsApp/微信:透過我們的 24/7 全天候熱線或網站上列出的訊息平台聯絡我們,以獲得即時協助。
  • 電子郵件諮詢:透過我們安全的線上入口網站提交您的病歷和查詢,以便進行初步評估。
  • 親自到訪:預約主要在我們的合作醫院深圳前海泰康醫院進行,並提供從香港出發的班車服務。
立即預約,以確保能獲得我們世界級專家的諮詢服務。
為確保評估的全面性,請準備
  • 醫療記錄:最近的診斷報告、影像掃描(如 CT、MRI、PET-CT)、病理結果和治療史。接受數位或實體複本。
  • 藥物清單:目前服用藥物的詳細資訊,包括劑量和頻率。
  • 識別:註冊時需出示有效的身份證或護照。
  • 保險文件:如果適用,請攜帶保險卡或保單詳細資料(請參閱下方可接受的提供者)。
  • 問題:要與我們的跨領域團隊討論的疑慮或目標清單。對於國際病患,我們的協調人員會協助翻譯、旅遊物流和簽證支援。在就診前透過 AllCancer.com 的安全入口網站上傳記錄,以加快就診流程。在您就診時,我們的團隊將根據目標代謝療法(香港版)為您量身定制治療方案。
AllCancer 與一系列國際性和區域性的保險提供者合作,以利於提供方便的照護。雖然具體的合作關係各有不同,但我們通常接受下列保險計劃:
  • 全球保險公司:像 AIA、AXA、Allianz 及其他主要保險公司,承保先進的腫瘤治療。
  • 區域提供商:香港和中國大陸的保險公司,包括與深圳前海泰康醫院合作的保險公司。
  • 私人計劃:在國際醫療中心接受專科治療的保單。
若要確認承保範圍,請透過 AllCancer.com 的醫療辦公室提交您的保險細節,或透過 WhatsApp/WeChat 聯絡我們的帳單團隊。我們也提供彈性的付款方式,包括為符合資格的患者提供「先治癒,後付款」計畫,確保財務障礙不會妨礙患者接受改變生命的治療。