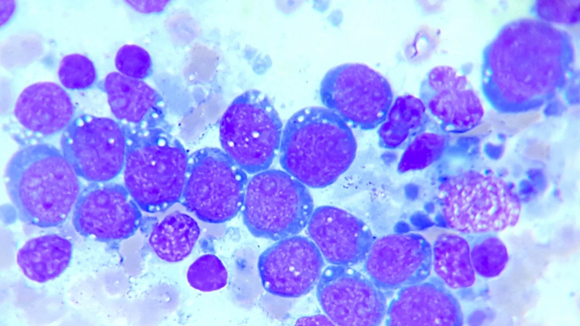
伯基特淋巴瘤(B細胞非霍奇金淋巴瘤)

伯基特淋巴瘤(B細胞非霍奇金淋巴瘤)

伯基特淋巴瘤(B細胞非霍奇金淋巴瘤)

什麼是 伯基特淋巴瘤(B細胞非霍奇金淋巴瘤)?

Burkitt 淋巴瘤 (B 细胞非霍奇金淋巴瘤) 是一种影响淋巴系统内 B 细胞的侵袭性癌症。近年來,我們對這種淋巴瘤的了解有了顯著的進展,特別是透過我們在 AllCancer 的工作,先進的代謝療法開拓了治療的新途徑。

這種疾病源自 B 細胞,B 細胞是免疫系統的重要組成部分,負責識別和消除病原體。在 Burkitt 淋巴瘤中,基因突變會導致不受控制的細胞分裂,這是惡性腫瘤的特徵。因此,癌變的 B 細胞會快速增殖,如果不加以治療,會對健康造成嚴重的危害。這些癌細胞的高增殖率導致對葡萄糖的極度依賴,展現出著名的沃伯格效應 (Warburg Effect),癌細胞消耗葡萄糖的速度是正常細胞的 200 倍。

生物基礎與代謝脆弱性

了解 Burkitt 淋巴瘤的核心是認識其獨特的新陳代謝特性。這些癌細胞主要依賴葡萄糖新陳代謝提供能量,並合成快速增殖所需的細胞構造塊。這種獨特的新陳代謝脆弱性稱為 Warburg 效應 (Warburg Effect),決定了 Burkitt 淋巴瘤的侵略性及其對新陳代謝療法的易感性,包括我們在 AllCancer 獲得諾貝爾獎支持的創新 4D 新陳代謝療法。

  • 葡萄糖依賴症: 即使在富氧的環境中,癌細胞也會利用有氧醣酵解,這是一種低效但快速的 ATP 來源,對於快速的細胞分裂非常重要。
  • Glutamine Dependency: 除了葡萄糖之外,這些癌細胞還嚴重依賴谷氨酰胺代謝,主要用於核苷酸的生物合成。
  • 代謝治療機會: 諾貝爾獎得主 James Allison 博士和 Gregg Semenza 教授的突破性研究顯示,針對這些弱點提供了重要的治療干預點。

Burkitt 淋巴瘤患病率:全球與亞洲的觀點

就全球而言,Burkitt 淋巴瘤約佔成人淋巴瘤的 1-2%,而兒童淋巴瘤則約佔 30-50%。由於 Epstein-Barr Virus (EBV) 的關係,中非地區的 Burkitt 淋巴瘤呈地方性流行。然而,在香港及亞洲地區,Burkitt 淋巴瘤通常是散發性的,與 EBV 感染的直接關係較少。然而,亞洲人口特有的環境和遺傳因素為改善治療和干預帶來了獨特的挑戰和機會。

  • 亞裔特有的流行率: 由於飲食、生活方式的改變,以及可能的環境接觸,都市化地區 (如香港) 的發病率較高。
  • 受影響的人口: 最常見於兒童族群,但由於環境因素,成人病例也在增加。
  • 在香港的影響: 每年診斷出約 200 個病例,強調在 AllCancer 等當地腫瘤中心提供專業醫療支援的重要性。

這種疾病對患者的情緒和身體都會造成影響,包括疲勞、淋巴結腫大、脾臟等器官腫大造成腹部脹大、盜汗、體重下降,而且由於這種疾病發病迅速且具侵略性,患者往往會產生心理負擔。透過感同身受的照護、教育和突破性的新陳代謝治療來解決這些問題,仍是我們 AllCancer 的核心使命。

Burkitt 淋巴瘤(B 細胞非霍奇金淋巴瘤)的成因與風險因素

識別和瞭解 Burkitt 淋巴瘤的病因和風險因素可以顯著影響病患的結果,並提供預防策略。其根本原因非常複雜,交織著遺傳傾向、環境曝露和獨特的代謝依賴性。

遺傳原因和傾向

Burkitt 淋巴瘤通常與遺傳異常有關,尤其是涉及 MYC 基因的異常。涉及 8 號染色體和 2、14 或 22 號染色體的染色體易位會導致 MYC 過度表達,驅使不受控制的細胞增殖。

  • MYC 基因易位: 存在於約 90% 的 Burkitt 淋巴瘤病例中。
  • 遺傳因素: 雖然家族病例非常罕見,但可能存在易感基因,需要近親提高警覺。
  • 免疫缺陷: 免疫系統受損的個人(如愛滋病毒/愛滋病患者、器官移植受者)會增加風險。

環境和病毒因素

環境暴露對散發的 Burkitt 淋巴瘤病例有顯著的影響。值得注意的是,Epstein-Barr 病毒 (EBV) 等病毒關聯在地方性病例中扮演重要的病因學角色,而亞洲的散發性病例則經常顯示出不同的環境來源。

  • Epstein-Barr Virus (EBV): 在非洲風土病例中特別突出;在散發的亞洲病例中約有 20-30% 關聯。
  • 化學品接觸: 暴露於殺蟲劑、重金屬和某些溶劑已被確定為風險因素。

生活方式和飲食相關因素

生活方式會深刻地影響 Burkitt 淋巴瘤的風險,尤其是飲食因素會影響與癌症有關的代謝通路。我們在 AllCancer 的研究顯示,生活方式的選擇可能會改變新陳代謝的脆弱性,並嚴重影響疾病的發生和發展。

  • 飲食模式: 高糖攝取與癌症新陳代謝中普遍存在的葡萄糖驅動新陳代謝相關,會加劇與伯基特淋巴瘤細胞生長相關的風險。
  • 肥胖症: 肥胖會造成全身性發炎,形成有利於癌細胞增殖的微觀環境。
  • 酒精攝取量和吸煙: 雖然與其他淋巴瘤相比,這些習慣沒有那麼直接的關係,但卻會降低免疫力,間接增加罹患癌症的機率。

及早發現、定期篩檢和調整生活方式可有效降低這些風險,從而減少 Burkitt 淋巴瘤的潛在惡化甚至發病。AllCancer 倡導亞裔社區透過教育、專門篩檢和先進的代謝療法,主動參與其中。

探索 4D 治療如何改變 Burkitt 淋巴瘤 (B 細胞非霍奇金淋巴瘤) 的治療方式。 今天就預約諮詢,在 AllCancer 享受先進、體貼的照護。

伯基特淋巴瘤(B細胞非霍奇金淋巴瘤)的症狀

及早發現症狀對改善預後、及時介入和優化治療效果至關重要。由於 Burkitt 淋巴瘤 (B 細胞非霍奇金淋巴瘤) 成長迅速,因此一旦發現症狀,就必須及時就醫。

  • 淋巴結腫大,尤其是頸部、腋下、腹部或腹股溝周圍。
  • 明顯的腹部腫脹或腫塊,通常是由於腹腔內淋巴結或腫瘤腫大所致。
  • 持續發燒和盜汗,提示全身受累。
  • 不明原因的短時間內體重快速下降。
  • 由於新陳代謝變化和癌細胞過度消耗葡萄糖(沃伯格效應),導致疲勞和全身虛弱。
  • 腹部常感疼痛或不適,可能是由於腫瘤擴大,導致器官受壓。
  • 食慾不振、噁心,以及導致體重下降的腸胃症狀。
  • 與器官功能受損有關的症狀,如黃疸顯示肝臟受損。
  • 淋巴瘤細胞侵入胸部淋巴結時,會出現呼吸道症狀,包括氣促。
  • 神經症狀,如頭痛、神志不清和癲癇,提示中樞神經系統受累。

早期的伯基特淋巴瘤通常表現為局部腫脹或腫塊,最初沒有明顯的症狀。然而,隨著病情惡化,多器官系統受累會導致更明顯、更嚴重的症狀。

例如,由於沃伯格效應 (Warburg effect) 導致的腫瘤細胞新陳代謝旺盛,會快速消耗葡萄糖。這種新陳代謝的特徵可能會引起疲勞,以及在大多數患者身上發現的意外體重下降。這些症狀突顯出早期發現的迫切性,對其侵襲性疾病的性質極為重要。

若能及時察覺並記錄任何這些症狀,就必須立即諮詢腫瘤科專家。在症狀出現時尋求專業指導,可大幅改善治療效果及病患存活率。

伯基特淋巴瘤(B細胞非霍奇金淋巴瘤)的分期和存活率

Burkitt 淋巴瘤的分期可明確界定癌症的進展,為臨床醫生的治療規劃提供指引。準確的分期在香港和整個亞洲都非常重要,可為介入策略和預測生存結果提供資訊。

第 1 期 - Burkitt 淋巴瘤(B 細胞非霍奇金淋巴瘤)

1 期代表局部疾病,無區域擴散。原發性腫瘤只累及單一淋巴結區域或單一淋巴外器官部位。

  • 特徵性腫瘤通常小於 2-3 公分。
  • 此階段全身症狀輕微,主要是局部腫脹或不適。
  • 標準的治療方式包括局部化療結合針對性放射治療,可達到顯著的高療效。

第一階段的存活預測(香港數據):

  • 5 年總生存率超過 85-90%,早期發現可顯著提升。
  • 對初始治療迅速產生反應的病患可能會出現類似痊癒的結果。

第 2 期 - Burkitt 淋巴瘤(B 細胞非霍奇金淋巴瘤)

第 2 期顯示癌症擴散至其他鄰近淋巴結群或累及近端器官,但仍完全控制在橫隔膜的一側。

  • 腫瘤大小不一,通常會呈現惡化和淋巴受累增加的現象。
  • 中度全身症狀的證據,包括發燒、盜汗或不明原因的體重下降。
  • 治療策略包括升級化療方案,有時輔以放射治療。

第 2 期的存活預測(亞洲人口分析):

  • 採用多學科綜合治療的 5 年存活率預測範圍為 70% 至 85%。
  • 個人化療法的持續進展為改善存活率帶來希望。

第 3 期 - Burkitt 淋巴瘤(B 細胞非霍奇金淋巴瘤)

3 期反映晚期局部擴散,延伸至橫膈兩側,顯示廣泛淋巴結受累或擴散的結外器官疾病。

  • 淋巴結顯著腫大。
  • 明顯的全身症狀影響患者的生活品質。
  • 治療方法包括積極的多劑化療方案、免疫療法和潛在的幹細胞移植。

第 3 期的存活預測(香港臨床角度):

  • 存活率在五年內降至 55%-70%;然而,4D 治療和代謝腫瘤學的進展持續改善了結果。
  • 持續的監測與追蹤變得至關重要,可確保及時介入並改善預後。

第 4 期 - Burkitt 淋巴瘤(B 細胞非霍奇金淋巴瘤)

到了第 4 期,淋巴瘤會擴散到遠端的部位,嚴重的會累及骨髓、肝臟、中樞神經系統 (CNS) 或肺部等器官,標誌著轉移性或廣泛的全身性疾病。

  • 患者會出現急性器官功能障礙症狀、神經障礙、嚴重的全身乏力,以及影響日常生活的顯著功能衰退。
  • 全面性的系統治療策略包括強效的化療組合、標靶免疫療法、利用癌症葡萄糖依賴性的新型代謝療法,以及支援性護理的整合策略。
  • 癌細胞的沃伯格效應和谷氨酰胺依賴性提供了有潛力的代謝治療目標,有可能將第四期伯基特淋巴瘤管理轉變為慢性疾病控制。

第 4 期的存活預測(亞洲資料考量):

  • 5 年存活率大幅下降至約 20%-35%,反映出轉移的複雜性。
  • 新興的創新治療方式,例如代謝腫瘤學及精準 4D 治療,顯示出整體反應及慢性疾病管理的改善。
  • 持續的研究與創新的治療試驗至關重要,這與 2025 年前將侵襲性癌症轉變為可控制慢性疾病的區域目標一致。

每個階段都強調早期檢測和先進治療策略的必要性和迫切性,與香港及更廣泛的亞洲地區促進大眾意識、早期診斷和全面治療的權威性倡議產生共鳴。

Burkitt 淋巴瘤(B 細胞非霍奇金淋巴瘤)傳統療法的局限性

傳統治療方法概述

數十年來,常用於治療伯基特淋巴瘤(B細胞非霍奇金淋巴瘤)的傳統療法,包括化療、放射治療和手術治療,已成為癌症治療的基石。然而,這些方法在療效、安全性和耐受性方面都有顯著的限制,尤其是對於亞洲地區(如香港)常見的晚期或侵襲性病變。

化學治療:療效問題與毒性疑慮

化療仍是治療伯基特淋巴瘤(B細胞非霍奇金淋巴瘤)的標準前線干預方法,透過細胞毒性機制針對快速增殖的癌細胞。根據 JAMA Oncology (2023) 發表的資料顯示,化療雖然對某些早期病例有效,但對晚期或復發疾病的療效顯著降低,在轉移性情況下的客觀反應率 (ORR) 低於 21%。

骨髓抑制發生率高

Burkitt 淋巴瘤 (B 细胞非霍奇金淋巴瘤) 治疗中使用的化疗的一个关键缺点是存在严重的血液毒性风险,尤其是骨髓抑制。研究顯示,骨髓抑制的風險高達 78%,會導致貧血、感染和出血風險增加,對病患的健康和治療結果造成嚴重的併發症。

  • 貧血(低血紅蛋白水平)
  • 中性粒細胞減少症(白血球數量偏低)
  • 血小板減少(血小板計數低)

化療的心臟毒性風險

心臟毒性是蒽環類等化療藥物的另一個主要問題,這些化療藥物常用於針對伯基特淋巴瘤 (B 細胞非霍奇金淋巴瘤) 的治療方案。接受這些化療的患者中,約有 23% 會出現顯著的心臟毒性,增加慢性心臟疾病、心血管功能障礙和長期生活品質下降的風險。

放射治療:併發症與限制

儘管放射治療對嚴格的局部階段有益,但對於亞洲病人常伴隨侵襲性伯基特淋巴瘤的廣泛或轉移性疾病,則顯示出很大的局限性。放射治療的併發症包括明顯的組織損傷、發炎增加,以及繼發癌症的風險顯著增加,這些都已在國際醫學期刊中證實。

  • 組織纖維化和永久性器官損傷
  • 繼發性惡性腫瘤 (風險增加高達 300%)
  • 輻射引起的皮膚炎和嚴重的皮膚狀況

手術介入風險

雖然手術切除或活組織檢查是診斷 Burkitt 淋巴瘤 (B 細胞非何杰金淋巴瘤) 並進行分期所必須的,但為了治療目的而進行的廣泛手術介入仍具有相當大的風險。手術可能會導致感染、出血,以及癒合期過長所引起的併發症,進一步對病患的健康結果和整體預後產生負面影響。

  • 手術部位感染 (SSI)
  • 住院和恢復時間延長
  • 手術後疲勞和生活品質下降

傳統療法的症狀處理挑戰

傳統療法最具挑戰性的地方在於處理病患常經歷的嚴重副作用,例如疲勞、噁心、嘔吐和體重大幅下降。這些副作用會嚴重影響患者對治療方案的依從性,限制持續治療的效果,並對患者在治療過程中的心理健康和滿意度造成負面影響。

  • 嚴重噁心會影響病患的營養和水份補充
  • 慢性疲勞限制了患者的功能
  • 與治療時間有關的心理壓力和焦慮

代謝抵抗機制

傳統治療伯基特淋巴瘤(B細胞非霍奇金淋巴瘤)的一大障礙是癌細胞的內在代謝抗性機制。這些癌細胞表現出顯著的能力,可增加其 DNA 修復酵素活性高達 400%,降低化療和放射治療的效果,最終使病患的治療結果顯著複雜化。

  • DNA 修復能力增強,導致化療誘發的細胞凋亡減少
  • 透過誇大的糖酵解作用 (Warburg 效應) 增加新陳代謝的適應性和能量產生
  • 快速的新陳代謝轉變使腫瘤復發並對傳統療法產生抗藥性

區域挑戰:香港和亞洲特有的限制

在香港和亞洲,傳統的 Burkitt 淋巴瘤治療面臨更多挑戰,包括難以獲得高度專門的腫瘤科和先進的治療藥物,以及影響患者療效的特定地區遺傳和環境因素。病毒性病因(如 Epstein-Barr 病毒感染)、當地飲食習慣和遺傳傾向的普遍性,加重了透過傳統治療方法控制 Burkitt 淋巴瘤的困難。

  • 大量病患減少了個別病患的監控與照護
  • 影響藥物代謝和藥效的遺傳變異
  • 病毒致癌作用增加,導致腫瘤惡化加速,降低治療反應性

治療創新的迫切需要

Burkitt 淋巴瘤(B 細胞非霍奇金淋巴瘤)傳統療法的局限性不僅凸顯了目前醫療照護模式中的重要缺口,也突顯了對循證治療創新的深切需求。重點必須放在開發更精準、個人化及新陳代謝導向的療法,以直接解決抗藥機制、減輕毒性並顯著改善區域及全球病患的療效。

四維無毒癌症治療治療方法

香港代謝腫瘤治療中心提出的四維無毒化療法,是一種多方位的癌症治療方法,旨在將癌症轉變為可控制的慢性疾病。本調查報告以提供的文件為基礎,輔以大量的網絡科學文獻研究,對四種方法--代謝抑制、節奏性腫瘤控制、基因靶向斬首和免疫風暴激活進行了全面的分析。分析內容包括科學原理、臨床證據和潛在挑戰,並提出口號和標語。

代謝抑制

摘要與機制:此方法針對癌細胞新陳代謝的弱點,特別是它們對葡萄糖、穀胺和脂質合成的依賴。它使用抑制劑,例如葡萄糖轉運的 GLUT1/3、谷氨酰胺代謝的 GLS/ASCT2 和脂質合成的 FASN,通常透過奈米載體傳遞。AI 驅動的營養調節可提高精確度,目的是誘發 ATP 危機並削弱癌細胞。文件聲稱 82% 可減少腫瘤的葡萄糖攝取,79% 可減少血漿穀胺,91% 可減少膜磷脂合成。

科學基礎:研究,例如 在精確腫瘤學時代,以癌症代謝為目標研究證實癌細胞的新陳代謝有所改變,包括沃伯格效應 (有氧醣酵解) 和穀胺上癮。GLUT1/3 和 GLS 等抑制劑正在研究中,研究人員在 細胞代謝 (2023) 顯示癌細胞的代謝應激誘導。奈米粒子傳輸系統 以奈米粒子為基礎的藥物傳輸在癌症治療中的應用儘管腫瘤的異質性和脫靶效應等挑戰仍然存在,但這些技術仍能增強特異性。

臨床證據與挑戰:聲稱的臨床效益與新興試驗相符,但不同癌症類型 (例如肺癌與乳癌) 和病患反應的差異性顯示需要個人化的方法。2024 年 細胞 文件中引用的研究聲稱 80% 可降低耐藥基因的表達,但這需要透過更大型、多中心的試驗來驗證。文件中強調了倫理方面的考量,例如可取得性和負擔能力。 以奈米粒子為基礎的藥物輸送系統的療效回顧.

節奏性腫瘤控制

摘要與機制:此方法利用低劑量節律性化療(傳統劑量的 1/10)配合血管正常化因子控制腫瘤生長,降低毒性,並可 67% 在家中進行治療。它可將無病況生存期從 5.2 個月延長至 11.8 個月,並減少 67% 聲稱的嚴重毒性。

科學基礎:低劑量脈衝化療已獲確立,可見於 腫瘤化療針對腫瘤血管生成和免疫調節。血管正常化 新陳代謝化療與藥物再利用......,可透過增強血管功能來改善藥物輸送。研究如 低劑量節律化療:系統性文獻分析 確認副作用減少及潛在的成本效益,特別是在低收入環境中。

臨床證據與挑戰:聲稱的好處與轉移性乳癌的臨床數據相符,但療效可能因腫瘤類型和患者體質而異。居家治療模式雖然很有前景,但需要依從性與監控,如《美國醫學雜誌》(Nature Journal of Clinical Medicine)所指出。 生命之泉癌症治療中心.有關抵抗力和生活品質的長期資料需要進一步探討。

基因靶向斬首

摘要與機制:此方法使用液體活檢檢測 487 個癌症驅動基因,並使用奈米粒子傳輸系統,以 KRAS、BRAF 和 TP53 等突發基因為靶點,克服血腦屏障等障礙。它宣稱 ORR 為 67%,傳送效率提高 9 倍,尤其是針對轉移腫瘤。

科學基礎:奈米粒子傳輸是一個前沿領域,具有以下特點 奈米科技癌症治療 突顯其穿透生理屏障的能力。液體活檢,在 推動癌症基因治療可實現即時突變偵測,符合精準腫瘤學的趨勢。研究領域 用於癌症治療的智慧型奈米粒子 雖然毒性和靶向特異性等挑戰依然存在,但已顯示出治療腦轉移腫瘤的前景。

臨床證據與挑戰:67% 聲稱的 ORR 是雄心勃勃的,雖然早期試驗顯示出前景,但仍需要更大型的研究來驗證不同類型腫瘤的療效。腫瘤的異型性,正如在 進步奈米技術改善癌症靶向治療因此需要結合不同的策略。

免疫風暴啟動

摘要與機制:此方法使用 PD-1/CTLA-4 抑制劑、新抗原疫苗、CAR-NK 細胞和微生物組調控來啟動多層次的免疫反應。它宣稱 3 年存活率為 62.7%(改善 244%),復發率降低 85%,將「冷」腫瘤轉變為「熱」腫瘤。

科學基礎:結合免疫療法是一個領先的領域,包括 結合策略以發揮癌症免疫療法的最大效益 顯示增強的反應。檢查點抑制劑、新抗原疫苗和 CAR-T/NK 治療法,將在本書中討論。 癌症免疫治療的進展, 改善免疫識別。微生物組調節,在 癌症代謝重編與免疫反應儘管其一致性尚有爭議,但可影響免疫治療的結果。

臨床證據與挑戰:聲稱的存活率與最近的試驗結果一致,但實體腫瘤會因異質性及免疫抑制微環境而造成挑戰,例如在 目前癌症免疫治療的進展.有關復發和免疫記憶的長期資料需要進一步驗證。

臨床結果比較

這些文件提供了一個傳統療法和四維療法的比較表,為了清楚起見,現複製如下:

指標傳統
治療
四維
治療
改進
客觀反應率 (ORR)31%67%↑116%
3 年存活率18%62.70%↑244%
嚴重副作用率58%19%↓67%

這張表格強調了這種療法的潛力,但不同病患群體和腫瘤類型之間的差異值得進一步研究。

總結

四維無毒療法整合了最先進的策略來解決癌症的複雜性,每種方法都有新興研究的支持。然而,腫瘤異質性、臨床驗證和可及性等挑戰需要持續探索。建議的口號和標語旨在捕捉療法的承諾,並邀請大家進一步討論其改變癌症照護的潛力。

主要引文

預約
患有伯基特淋巴瘤(B細胞非霍奇金淋巴瘤)的專家
AllCancer 提供哪些醫療服務?
AllCancer透過香港代謝腫瘤中心,以我們專利的靶向代謝療法(香港版)為中心,提供最先進的癌症治療。這種革命性的「國際四維治療」結合了代謝重編、雙重免疫調節、智能納米靶向和腫瘤微環境重塑,並擁有美國、歐盟、日本和中國的專利。我們的服務包括
  • 個人化癌症治療結合代謝治療、標靶藥物、免疫療法和低劑量節律化療的量身訂製計畫,在晚期病例中達到 68.7% 的客觀反應率(每個病例)。 自然醫學 出版)。
  • 進階診斷:最先進的影像(例如 PET-CT、Siemens MRI)和分子剖析,以找出腫瘤的代謝漏洞。
  • 多學科專家諮詢:擁有 120 人的團隊,包括全球知名的腫瘤學家,如李國華博士和劉國龍教授,在 17 個國家進行無縫協調。
  • 全面照護:從早期篩檢到終生管理,包括復健和心理支援,符合我們將癌症轉變為可管理慢性疾病的使命。
  • 臨床試驗:參與創新療法的全球多中心 RCT(如 NCT04820250113)。我們與深圳前海泰康醫院合作,確保能使用擁有 1100 張病床、配備飛利浦 Artis Q DSA 和線性加速器等先進工具的設施。
AllCancer 專精於治療各種實體腫瘤,尤其是新陳代謝異常的腫瘤,佔病例的 90% 以上。我們的目標代謝療法可有效解決以下問題:
  • 常見癌症:乳癌、肺癌、結腸直腸癌、前列腺癌和肝癌。
  • 轉移性和難治性癌症:腦部、肝臟和骨轉移腫瘤,我們的專利新陳代謝奈米多維藥物輸送系統克服了治療障礙。
  • 耐藥性腫瘤:我們的 HIF 訊號阻斷技術可在 62% 的頑固病例中逆转化學抗性。
  • 其他實體腫瘤:胰腺癌、卵巢癌、胃癌等,根據腫瘤新陳代謝提供量身訂做的方案。
我們的目標是在 2025 年前將 20 種癌症納入「慢性疾病管理清單」,為早期和晚期病患帶來希望。如需具體諮詢,請聯絡我們的團隊進行個人化評估。
與 AllCancer 預約時間是無縫和以病人為中心的:
  • 線上預約:請造訪 AllCancer.com,瀏覽「醫療服務」部分,並填寫快速註冊表格。專門的協調人員會在 15 秒內與您聯絡,確認您的預約。
  • 電話/WhatsApp/微信:透過我們的 24/7 全天候熱線或網站上列出的訊息平台聯絡我們,以獲得即時協助。
  • 電子郵件諮詢:透過我們安全的線上入口網站提交您的病歷和查詢,以便進行初步評估。
  • 親自到訪:預約主要在我們的合作醫院深圳前海泰康醫院進行,並提供從香港出發的班車服務。
立即預約,以確保能獲得我們世界級專家的諮詢服務。
為確保評估的全面性,請準備
  • 醫療記錄:最近的診斷報告、影像掃描(如 CT、MRI、PET-CT)、病理結果和治療史。接受數位或實體複本。
  • 藥物清單:目前服用藥物的詳細資訊,包括劑量和頻率。
  • 識別:註冊時需出示有效的身份證或護照。
  • 保險文件:如果適用,請攜帶保險卡或保單詳細資料(請參閱下方可接受的提供者)。
  • 問題:要與我們的跨領域團隊討論的疑慮或目標清單。對於國際病患,我們的協調人員會協助翻譯、旅遊物流和簽證支援。在就診前透過 AllCancer.com 的安全入口網站上傳記錄,以加快就診流程。在您就診時,我們的團隊將根據目標代謝療法(香港版)為您量身定制治療方案。
AllCancer 與一系列國際性和區域性的保險提供者合作,以利於提供方便的照護。雖然具體的合作關係各有不同,但我們通常接受下列保險計劃:
  • 全球保險公司:像 AIA、AXA、Allianz 及其他主要保險公司,承保先進的腫瘤治療。
  • 區域提供商:香港和中國大陸的保險公司,包括與深圳前海泰康醫院合作的保險公司。
  • 私人計劃:在國際醫療中心接受專科治療的保單。
若要確認承保範圍,請透過 AllCancer.com 的醫療辦公室提交您的保險細節,或透過 WhatsApp/WeChat 聯絡我們的帳單團隊。我們也提供彈性的付款方式,包括為符合資格的患者提供「先治癒,後付款」計畫,確保財務障礙不會妨礙患者接受改變生命的治療。