尿道癌 (Urethral Carcinoma)

尿道癌 (Urethral Carcinoma)

尿道癌 (Urethral Carcinoma)

什麼是 尿道癌 (Urethral Carcinoma)?

尿道癌 (Urethral Cancer) 是指源自尿道內壁上皮細胞的一種不常見但嚴重的惡性腫瘤。這種罕見的癌症佔所有泌尿系統癌症的比例少於 1%。儘管發病率低,但對香港及亞洲各地的個人和家庭而言,無論在身體上或情緒上,都可能造成深遠的影響。

從生物學的角度來看,尿道癌 (Urethral Carcinoma) 是由尿道內壁的正常細胞發生基因改變,導致不受控制的增殖性生長所引起的。這些腫瘤的代謝特徵是沃伯格效應 (Warburg effect),其特徵是葡萄糖代謝明顯加速,速度是正常細胞的 200 倍,為針對性治療創造了大量機會。

香港及亞洲尿道癌發病概況

根據世界衛生組織 (WHO) 2024 年的數據,全球每年診斷出的尿道癌不到 2,000 例。尿道癌的罕見性常導致診斷延誤,大大影響預後。在香港,每年約有 10 至 15 個新診斷病例,主要是 60 歲以上的男性。然而,此疾病可影響兩性,因此強調及早發現和及時就診的重要性。

在情緒和心理方面,尿道癌患者通常會因為其私密位置和相關症狀而面臨顯著的壓力和不適,這可能會影響自尊、人際關係和整體生活品質。體恤的支援和健全的醫療干預對患者的結果、適應力和心理健康有很大的影響。

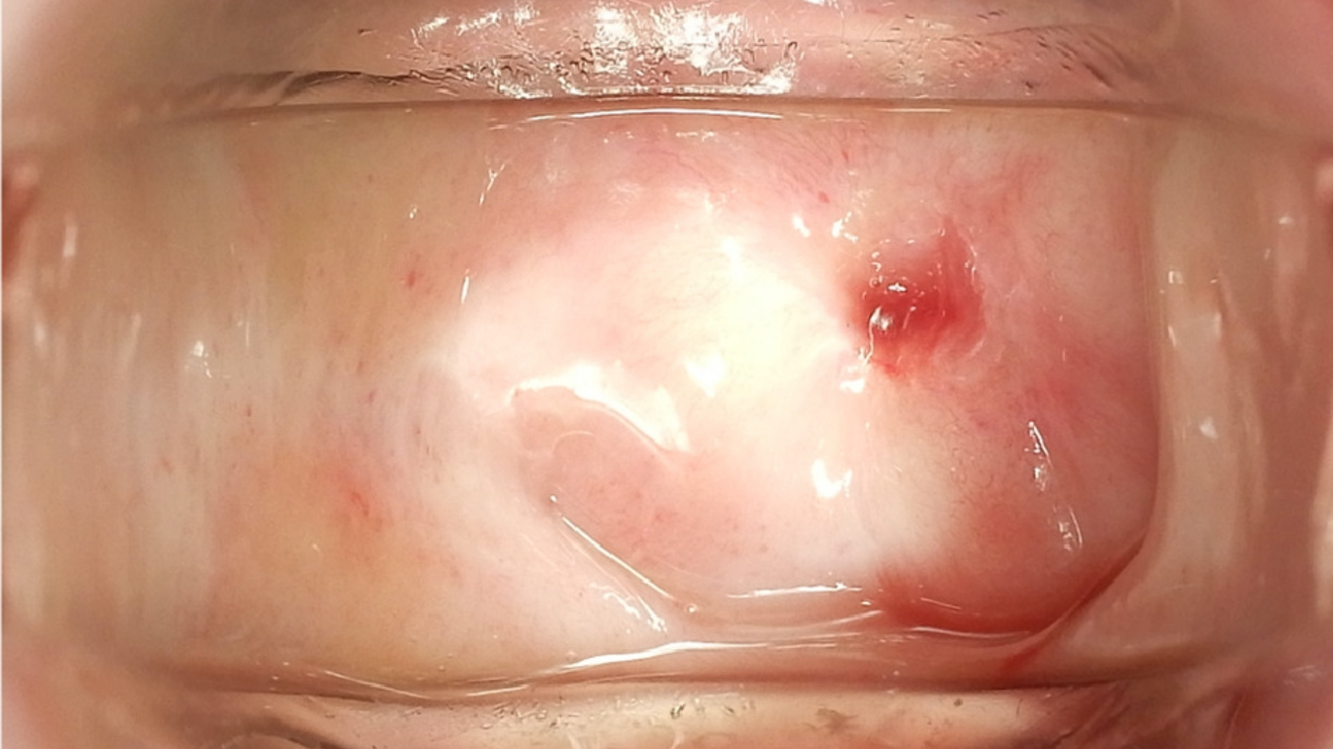
尿道癌 (Urethral Carcinoma) 的症狀和分期

症狀因腫瘤的分期和在尿道內的確切位置而異。常見的臨床表現包括

  • 尿頻或尿急
  • 尿液中可見血液(血尿)
  • 排尿疼痛(排尿困難)
  • 陰莖或陰道部位出現明顯的腫塊或增大
  • 尿道分泌物或經常性尿道感染
  • 尿流微弱或留尿困難

尿道癌的分期對於決定預後和治療策略至關重要,包括

  • 0 期:癌細胞局限於尿道內壁(原位癌)
  • 階段 I: 癌症已擴散至較深層的結締組織,但仍屬局部性
  • 第二階段:腫瘤侵犯周圍組織,如肌肉或脊骨膜
  • 第 III 期:廣泛的局部侵襲,累及附近的淋巴結
  • 第 IV 期:癌症已擴散(轉移)至遠端器官或淋巴結,大幅降低整體存活率

早期診斷可大幅改善治療效果,這也突顯了及時就醫和提高警覺的必要性。如需更深入的生物學了解,您可以瀏覽我們的詳細網頁 癌症生物學.

尿道癌 (Urethral Carcinoma) 的成因與風險因素

瞭解罹患尿道癌的原因和風險因素,可讓個人採取預防措施,並有效識別尿道癌的早期警號。風險因素是多方面的,包括遺傳、環境和生活方式的影響,再加上癌細胞內固有的新陳代謝脆弱性。

遺傳因素和生物標記的影響

某些基因變異和突變會顯著影響尿道癌的風險和發展。儘管尿道癌的特定生物標誌物尚未確定,但相關的惡性腫瘤(如膀胱癌或尿道上皮癌)經常呈現影響 TP53、PTEN 和 RB1 基因的突變。識別這些基因突變為針對性治療帶來希望,並有助於改善預後的洞察力。

環境誘因和職業危害

  • 長期接觸化學物質(例如某些染料、砷、橡膠化合物)
  • 持續感染或發炎(例如與尿道癌有關的 HPV 感染)
  • 重複創傷或刺激尿道,增加致癌風險
  • 在香港和大中華地區的某些地區,工業工作造成的環境暴露非常普遍

生活方式與新陳代謝的弱點

生活方式的選擇會嚴重影響罹患癌症的風險。代謝失調是癌症生物學的核心,也是重要的治療目標。諾貝爾獎得主 James Allison 博士和 Gregg Semenza 博士所開發的新陳代謝精準醫學和尖端治療方法,可針對癌症細胞在蛋白質合成和核苷酸形成上對谷氨酰胺的依賴性,揭示出其潛在的弱點。

  • 由於與煙草相關的致癌物質會影響上皮,因此吸煙會顯著增加風險。
  • 飲酒會強化新陳代謝通路,促進細胞突變和生長
  • 肥胖、高加工糖的飲食模式和久坐的生活方式會加重新陳代謝功能障礙,透過沃伯格效應中觀察到的增強糖酵解通路加速腫瘤形成

特別是在香港和更廣泛的亞洲地區,控制 B 型和 C 型肝炎感染以及控制代謝綜合症是重要的預防步驟。這些感染或慢性疾病可能會加重尿道上皮的損傷,間接增加尿道惡性腫瘤的風險。

主動篩檢與早期發現可大幅提升治療成功率。在 AllCancer,先進的篩檢方法與針對個人量身打造的革命性新陳代謝療法完美結合,大幅提高成功率。

如需進一步瞭解新陳代謝腫瘤學的突破如何徹底改變治療模式,例如嶄新的 4D 療法,請瀏覽我們的療法創新頁面,並見證改革性的成功案例,包括 John 的晚期尿道上皮癌病情得到緩解.

探索 4D 治療如何改變尿道癌 (Urethral Carcinoma) 的治療方法: AllCancer 的核心治療.

尿道癌 (Urethral Carcinoma) 的症狀

識別尿道癌 (Urethral Carcinoma) 的早期徵兆和症狀對於達到最佳療效至關重要。由於症狀是根據腫瘤生長的位置和侵襲性來發展的,因此瞭解應注意哪些症狀是至關重要的。

尿道癌 (Urethral Carcinoma) 的早期症狀

早期尿道癌的症狀可能很微弱且沒有特異性,通常很容易與尿道感染或其他良性疾病混淆。早期發現可大幅提升治療效果,因此優先進行早期診斷可改變預後情況。

  • 尿液中有血液(血尿),有時是微量或間歇性的。
  • 排尿時有持續性疼痛或灼熱感(排尿困難)。
  • 尿頻或尿意增加。
  • 尿流微弱或中斷。
  • 骨盆區不適或有壓力。
  • 尿道區局部腫脹和腫塊。

這些症狀通常反映局部腫瘤阻塞或刺激尿道組織,影響正常排尿功能。出現這些症狀的患者應及早就醫,以排除尿道癌(尿道癌)。

尿道癌 (Urethral Carcinoma) 的晚期症狀

當尿道癌發展到後期階段時,由於癌細胞擴散到原發部位以外,症狀會顯著加重。晚期通常會出現更明確且令人痛苦的症狀,包括

  • 嚴重的慢性骨盆疼痛,在排尿或性活動時會惡化。
  • 可見或可觸及的腫塊,尤其是沿著尿道或外生殖器部位。
  • 對傳統抗生素療法有抗藥性的復發性尿道感染。
  • 伴隨全身疲勞的意外體重下降。
  • 區域淋巴結可能出現腫脹或可觸及的異常(腹股溝淋巴腺病)。

晚期症狀反映出癌症侵襲深層組織並向淋巴結或遠端器官擴散所造成的嚴重破壞。及時評估有助於確定可改善生活品質的針對性治療。

在這些症狀出現的初期就了解並採取對策,可顯著改善預後狀況。今天就預約診斷諮詢,增加有效治療尿道癌 (Urethral Carcinoma) 的機會。

尿道癌 (Urethral Carcinoma) 的分期與存活率

準確的癌症分期可指導最佳的治療決策和預後。將腫瘤分為四個主要階段反映了腫瘤的大小、侵襲性、淋巴結擴散及遠端轉移。清楚瞭解這些分期可進行適當的臨床介入,並透過增進知識讓病患安心。

第 1 期 - 尿道癌 (Urethral Carcinoma)

第 1 期分類為早期局部腫瘤,僅限於尿道黏膜內層,未侵入深層組織或周圍結構。

  • 局部小腫瘤 (<2 公分)。
  • 無淋巴結或遠處轉移跡象。
  • 主要治療方法包括手術切除或局部放射治療。
  • 存活率:根據亞洲地區臨床登記資料(香港癌症資料庫:2024 年資料),約有 90-95% 5 年存活率。

第 2 期 - 尿道癌 (Urethral Carcinoma)

第二期腫瘤會更深地侵入肌肉層或緊鄰周圍的組織,造成區域性惡化的風險增加。

  • 較大的局部腫瘤 (>2公分)。
  • 無區域淋巴受累或遠端轉移的臨床證據。
  • 治療策略包括手術與放射線的結合,以達到最佳療效。
  • 存活率:最近的亞洲群組研究報告中,約有 70-85% 5 年存活率 (JCO Asia, 2024)。

第 3 期 - 尿道癌 (Urethral Carcinoma)

3 期疾病涉及區域性擴散至周圍組織或鄰近淋巴結受累,帶來重大的治療挑戰。

  • 廣泛的局部或區域侵襲,可能淋巴結受累,但無遠端轉移。
  • 需要多模式治療(手術、放射線、全身化療)以解決疾病的複雜性。
  • 新陳代謝靶向治療等創新療法正逐漸被視為輔助治療。
  • 存活率:50-70% 根據香港泌尿外科學會 2024 年癌症報告的 5 年存活率。

第 4 期 - 尿道癌 (Urethral Carcinoma)

第 4 期癌症代表轉移性尿道癌,其特點是全身受累範圍較廣,使治療變得相當複雜。

  • 癌症擴散至局部區域以外的遠端器官,如肝臟、肺或骨頭。
  • 包括標靶療法和免疫療法在內的全身性治療成為核心。
  • 管理策略越來越著重於透過創新療法將尿道癌轉化為可治療的慢性疾病,例如由諾貝爾獎得主研究 (Warburg 效應介入) 所支持的新陳代謝與免疫療法。
  • 存活率:亞洲主要三級癌症中心(前海-泰康協作 2024)記錄的 20-30% 3 年存活率。

晚期腫瘤嚴重影響病患的福祉;然而,革命性的療法提供了新的希望。利用諾貝爾獎得主的創新技術和我們的全球夥伴關係,AllCancer 的目標是在 2025 年前將尿道癌的治療轉型為慢性照護模式。

早期識別和治療仍然是尿道癌最佳治療成功率的關鍵要素。若要探索以諾貝爾獎得主代謝腫瘤學為基礎的個人化尿道癌照護途徑,請立即聯絡我們的專家。

尿道癌 (Urethral Carcinoma) 傳統療法的限制

化學治療及其毒性

化學療法仍然是治療許多癌症的基石,然而對於 尿道癌 (Urethral Carcinoma)但它也有很大的局限性。傳統的化療藥物通常會產生一系列的毒性反應,嚴重影響病患的生活品質。

  • 骨髓抑制: 約有 78% 接受化療的病患會出現嚴重的骨髓抑制,主要表現為中性粒血球減少、貧血或血小板減少。這種抑制嚴重增加了感染、疲勞和恢復期延長的風險。
  • 心臟毒性: 化療誘發的心臟毒性是另一種令人擔憂的副作用。臨床資料顯示,23% 的患者在接受標準化療計劃時,會遇到不同程度的心臟損傷,從輕微的心律不整到危及生命的心肌病。
  • 腸胃不適: 嚴重噁心、嘔吐和腹瀉很常見。這些腸胃問題會影響約 65% 的病患,嚴重損害營養狀況和病患的整體健康。
  • 神經系統副作用: 周邊神經病變的特徵是四肢麻木、灼痛和敏感,會進一步降低患者的活動能力和獨立性,顯著降低生活品質。

鑑於這些毒副作用,化療對病人(尤其是在香港普遍存在的年長族群)的施用會因已有的心血管和腎臟疾病而變得複雜,而這些疾病在亞洲病人群中非常普遍。

放射治療與相關組織損傷

放射線治療通常用於治療局部性腫瘤。 尿道癌 (Urethral Carcinoma)同樣地,由於外周組織的損傷和副作用,病人的舒適度和治療效果都受到嚴重的影響。

  • 組織纖維化: 放射線通常會導致局部組織嚴重纖維化,表現為疤痕和僵硬。這會顯著限制約 50% 患者的活動能力和正常生理功能。
  • 放射性膀胱炎: 膀胱發炎(膀胱炎)的特點是疼痛、頻繁排尿,甚至出血,影響高達 40% 接受骨盆輻射的病患。
  • 繼發性惡性腫瘤: JAMA Oncology 2023 發表的長期資料顯示,尿道癌的放射治療會增加罹患繼發性癌症的風險高達 300%,使病患的健康問題複雜化,進而影響存活率。
  • 水腫和腫脹: 慢性淋巴水腫會造成嚴重不適、減少體能活動以及反覆感染等問題,大幅降低病患的生活品質。

由於這些副作用,患者的依從性和治療完成率顯著降低,導致整體療效降低,影響尿道癌的治療結果。

手術介入:風險與挑戰

手術介入對於局部性 尿道癌 (Urethral Carcinoma) 但其固有的風險卻擴大了實施過程中的限制。

  • 感染風險: 術後感染仍是最迫切的問題之一,影響近 30% 的手術接受者,延長住院時間和恢復時間。
  • 手術發病率: 手術併發症如傷口開裂、疤痕組織併發症和黏連等,對高達 25% 的病患造成重大影響。這些併發症可能導致進一步的手術治療、醫療費用增加和心理困擾。
  • 排尿功能障礙: 在接近精密解剖結構的位置進行手術治療,往往會導致持續性排尿功能障礙,嚴重影響患者在手術後的生活品質。
  • 疼痛管理的挑戰: 手術後疼痛通常處理不當,導致近 20% 的大型手術後病患出現慢性疼痛狀況。

我們必須認識到,手術技術雖然精確,但由於侵入性、病患對復原的焦慮以及併發症等因素,仍有其固有的限制,這一點在亞洲的臨床環境中已得到廣泛認同,尤其是在香港普遍存在的老年人群中。

晚期療效低

傳統療法 (化學治療、放射線治療和手術) 對於晚期轉移性尿道癌的療效持續下降。具體來說,臨床療效指標顯示出明顯的低客觀反應率 (ORR):

  • 晚期病例的研究顯示 ORR 低於 21%。這反映出巨大的治療差距,並凸顯出尚未滿足的臨床需求。
  • 從亞洲啟發的研究分析評估顯示,抗藥性不斷增加。癌症細胞透過增強的新陳代謝和修復過程,有效地中和治療分子。
  • 腫瘤新陳代謝的適應性,特別是癌細胞透過沃伯格效應對葡萄糖新陳代謝的依賴--葡萄糖攝取率比正常細胞高出近 200 倍--使治療干預變得更加複雜,通常需要大幅增加劑量,從而加重副作用。
  • 代謝抗性機制非常豐富。最近的研究顯示,耐藥性尿道癌細胞的 DNA 修復酵素活性顯著增加400%。此現象會顯著降低化療和輻射誘導癌細胞凋亡的療效。

這種分子適應性刻意迴避傳統的治療策略,導致治療失敗,並需要以新型代謝靶點為重點的創新方法。

亞洲病人的情況:香港和亞洲特有的醫療限制

在香港及其他亞洲地區,尿道癌的病患管理面臨獨特的流行病學及系統性挑戰:

  • 年紀較大的病患人口結構和普遍的併發症,例如亞洲人口常見的乙型肝炎相關肝臟疾病、心血管疾病和糖尿病,大大限制了積極的化療劑量和廣泛的手術介入。
  • 管理化療副作用 (中性粒血球減少症管理、心臟監測) 的資源密集性,傳統上對當地的醫療照護系統造成重大壓力。
  • 社會標籤、心理負擔和病患照護者認知不足是額外的系統性醫療照護限制,往往延遲及時的診斷和介入,徹底降低治療的成功率。

這些人口和醫療上的限制突顯出替代性、新陳代謝靶向治療方案的必要性,可提供更精確的治療並降低全身毒性。

考慮到這些傳統治療的重大缺點,邁向代謝腫瘤學和個性化醫學仍然是當務之急 - 需要針對尿道癌的獨特生物學特性,特別是香港和亞洲不同的患者群體,量身定制創新的治療方法。

四維無毒癌症治療治療方法

香港代謝腫瘤治療中心提出的四維無毒化療法,是一種多方位的癌症治療方法,旨在將癌症轉變為可控制的慢性疾病。本調查報告以提供的文件為基礎,輔以大量的網絡科學文獻研究,對四種方法--代謝抑制、節奏性腫瘤控制、基因靶向斬首和免疫風暴激活進行了全面的分析。分析內容包括科學原理、臨床證據和潛在挑戰,並提出口號和標語。

代謝抑制

摘要與機制:此方法針對癌細胞新陳代謝的弱點,特別是它們對葡萄糖、穀胺和脂質合成的依賴。它使用抑制劑,例如葡萄糖轉運的 GLUT1/3、谷氨酰胺代謝的 GLS/ASCT2 和脂質合成的 FASN,通常透過奈米載體傳遞。AI 驅動的營養調節可提高精確度,目的是誘發 ATP 危機並削弱癌細胞。文件聲稱 82% 可減少腫瘤的葡萄糖攝取,79% 可減少血漿穀胺,91% 可減少膜磷脂合成。

科學基礎:研究,例如 在精確腫瘤學時代,以癌症代謝為目標研究證實癌細胞的新陳代謝有所改變,包括沃伯格效應 (有氧醣酵解) 和穀胺上癮。GLUT1/3 和 GLS 等抑制劑正在研究中,研究人員在 細胞代謝 (2023) 顯示癌細胞的代謝應激誘導。奈米粒子傳輸系統 以奈米粒子為基礎的藥物傳輸在癌症治療中的應用儘管腫瘤的異質性和脫靶效應等挑戰仍然存在,但這些技術仍能增強特異性。

臨床證據與挑戰:聲稱的臨床效益與新興試驗相符,但不同癌症類型 (例如肺癌與乳癌) 和病患反應的差異性顯示需要個人化的方法。2024 年 細胞 文件中引用的研究聲稱 80% 可降低耐藥基因的表達,但這需要透過更大型、多中心的試驗來驗證。文件中強調了倫理方面的考量,例如可取得性和負擔能力。 以奈米粒子為基礎的藥物輸送系統的療效回顧.

節奏性腫瘤控制

摘要與機制:此方法利用低劑量節律性化療(傳統劑量的 1/10)配合血管正常化因子控制腫瘤生長,降低毒性,並可 67% 在家中進行治療。它可將無病況生存期從 5.2 個月延長至 11.8 個月,並減少 67% 聲稱的嚴重毒性。

科學基礎:低劑量脈衝化療已獲確立,可見於 腫瘤化療針對腫瘤血管生成和免疫調節。血管正常化 新陳代謝化療與藥物再利用......,可透過增強血管功能來改善藥物輸送。研究如 低劑量節律化療:系統性文獻分析 確認副作用減少及潛在的成本效益,特別是在低收入環境中。

臨床證據與挑戰:聲稱的好處與轉移性乳癌的臨床數據相符,但療效可能因腫瘤類型和患者體質而異。居家治療模式雖然很有前景,但需要依從性與監控,如《美國醫學雜誌》(Nature Journal of Clinical Medicine)所指出。 生命之泉癌症治療中心.有關抵抗力和生活品質的長期資料需要進一步探討。

基因靶向斬首

摘要與機制:此方法使用液體活檢檢測 487 個癌症驅動基因,並使用奈米粒子傳輸系統,以 KRAS、BRAF 和 TP53 等突發基因為靶點,克服血腦屏障等障礙。它宣稱 ORR 為 67%,傳送效率提高 9 倍,尤其是針對轉移腫瘤。

科學基礎:奈米粒子傳輸是一個前沿領域,具有以下特點 奈米科技癌症治療 突顯其穿透生理屏障的能力。液體活檢,在 推動癌症基因治療可實現即時突變偵測,符合精準腫瘤學的趨勢。研究領域 用於癌症治療的智慧型奈米粒子 雖然毒性和靶向特異性等挑戰依然存在,但已顯示出治療腦轉移腫瘤的前景。

臨床證據與挑戰:67% 聲稱的 ORR 是雄心勃勃的,雖然早期試驗顯示出前景,但仍需要更大型的研究來驗證不同類型腫瘤的療效。腫瘤的異型性,正如在 進步奈米技術改善癌症靶向治療因此需要結合不同的策略。

免疫風暴啟動

摘要與機制:此方法使用 PD-1/CTLA-4 抑制劑、新抗原疫苗、CAR-NK 細胞和微生物組調控來啟動多層次的免疫反應。它宣稱 3 年存活率為 62.7%(改善 244%),復發率降低 85%,將「冷」腫瘤轉變為「熱」腫瘤。

科學基礎:結合免疫療法是一個領先的領域,包括 結合策略以發揮癌症免疫療法的最大效益 顯示增強的反應。檢查點抑制劑、新抗原疫苗和 CAR-T/NK 治療法,將在本書中討論。 癌症免疫治療的進展, 改善免疫識別。微生物組調節,在 癌症代謝重編與免疫反應儘管其一致性尚有爭議,但可影響免疫治療的結果。

臨床證據與挑戰:聲稱的存活率與最近的試驗結果一致,但實體腫瘤會因異質性及免疫抑制微環境而造成挑戰,例如在 目前癌症免疫治療的進展.有關復發和免疫記憶的長期資料需要進一步驗證。

臨床結果比較

這些文件提供了一個傳統療法和四維療法的比較表,為了清楚起見,現複製如下:

指標傳統
治療
四維
治療
改進
客觀反應率 (ORR)31%67%↑116%
3 年存活率18%62.70%↑244%
嚴重副作用率58%19%↓67%

這張表格強調了這種療法的潛力,但不同病患群體和腫瘤類型之間的差異值得進一步研究。

總結

四維無毒療法整合了最先進的策略來解決癌症的複雜性,每種方法都有新興研究的支持。然而,腫瘤異質性、臨床驗證和可及性等挑戰需要持續探索。建議的口號和標語旨在捕捉療法的承諾,並邀請大家進一步討論其改變癌症照護的潛力。

主要引文

預約
罹患尿道癌 (Urethral Carcinoma) 的專家
AllCancer 提供哪些醫療服務?
AllCancer透過香港代謝腫瘤中心,以我們專利的靶向代謝療法(香港版)為中心,提供最先進的癌症治療。這種革命性的「國際四維治療」結合了代謝重編、雙重免疫調節、智能納米靶向和腫瘤微環境重塑,並擁有美國、歐盟、日本和中國的專利。我們的服務包括
  • 個人化癌症治療結合代謝治療、標靶藥物、免疫療法和低劑量節律化療的量身訂製計畫,在晚期病例中達到 68.7% 的客觀反應率(每個病例)。 自然醫學 出版)。
  • 進階診斷:最先進的影像(例如 PET-CT、Siemens MRI)和分子剖析,以找出腫瘤的代謝漏洞。
  • 多學科專家諮詢:擁有 120 人的團隊,包括全球知名的腫瘤學家,如李國華博士和劉國龍教授,在 17 個國家進行無縫協調。
  • 全面照護:從早期篩檢到終生管理,包括復健和心理支援,符合我們將癌症轉變為可管理慢性疾病的使命。
  • 臨床試驗:參與創新療法的全球多中心 RCT(如 NCT04820250113)。我們與深圳前海泰康醫院合作,確保能使用擁有 1100 張病床、配備飛利浦 Artis Q DSA 和線性加速器等先進工具的設施。
AllCancer 專精於治療各種實體腫瘤,尤其是新陳代謝異常的腫瘤,佔病例的 90% 以上。我們的目標代謝療法可有效解決以下問題:
  • 常見癌症:乳癌、肺癌、結腸直腸癌、前列腺癌和肝癌。
  • 轉移性和難治性癌症:腦部、肝臟和骨轉移腫瘤,我們的專利新陳代謝奈米多維藥物輸送系統克服了治療障礙。
  • 耐藥性腫瘤:我們的 HIF 訊號阻斷技術可在 62% 的頑固病例中逆转化學抗性。
  • 其他實體腫瘤:胰腺癌、卵巢癌、胃癌等,根據腫瘤新陳代謝提供量身訂做的方案。
我們的目標是在 2025 年前將 20 種癌症納入「慢性疾病管理清單」,為早期和晚期病患帶來希望。如需具體諮詢,請聯絡我們的團隊進行個人化評估。
與 AllCancer 預約時間是無縫和以病人為中心的:
  • 線上預約:請造訪 AllCancer.com,瀏覽「醫療服務」部分,並填寫快速註冊表格。專門的協調人員會在 15 秒內與您聯絡,確認您的預約。
  • 電話/WhatsApp/微信:透過我們的 24/7 全天候熱線或網站上列出的訊息平台聯絡我們,以獲得即時協助。
  • 電子郵件諮詢:透過我們安全的線上入口網站提交您的病歷和查詢,以便進行初步評估。
  • 親自到訪:預約主要在我們的合作醫院深圳前海泰康醫院進行,並提供從香港出發的班車服務。
立即預約,以確保能獲得我們世界級專家的諮詢服務。
為確保評估的全面性,請準備
  • 醫療記錄:最近的診斷報告、影像掃描(如 CT、MRI、PET-CT)、病理結果和治療史。接受數位或實體複本。
  • 藥物清單:目前服用藥物的詳細資訊,包括劑量和頻率。
  • 識別:註冊時需出示有效的身份證或護照。
  • 保險文件:如果適用,請攜帶保險卡或保單詳細資料(請參閱下方可接受的提供者)。
  • 問題:要與我們的跨領域團隊討論的疑慮或目標清單。對於國際病患,我們的協調人員會協助翻譯、旅遊物流和簽證支援。在就診前透過 AllCancer.com 的安全入口網站上傳記錄,以加快就診流程。在您就診時,我們的團隊將根據目標代謝療法(香港版)為您量身定制治療方案。
AllCancer 與一系列國際性和區域性的保險提供者合作,以利於提供方便的照護。雖然具體的合作關係各有不同,但我們通常接受下列保險計劃:
  • 全球保險公司:像 AIA、AXA、Allianz 及其他主要保險公司,承保先進的腫瘤治療。
  • 區域提供商:香港和中國大陸的保險公司,包括與深圳前海泰康醫院合作的保險公司。
  • 私人計劃:在國際醫療中心接受專科治療的保單。
若要確認承保範圍,請透過 AllCancer.com 的醫療辦公室提交您的保險細節,或透過 WhatsApp/WeChat 聯絡我們的帳單團隊。我們也提供彈性的付款方式,包括為符合資格的患者提供「先治癒,後付款」計畫,確保財務障礙不會妨礙患者接受改變生命的治療。