絨毛膜癌(妊娠滋養腫瘤)

絨毛膜癌(妊娠滋養腫瘤)

絨毛膜癌(妊娠滋養腫瘤)

什麼是 絨毛膜癌(妊娠滋養腫瘤)?

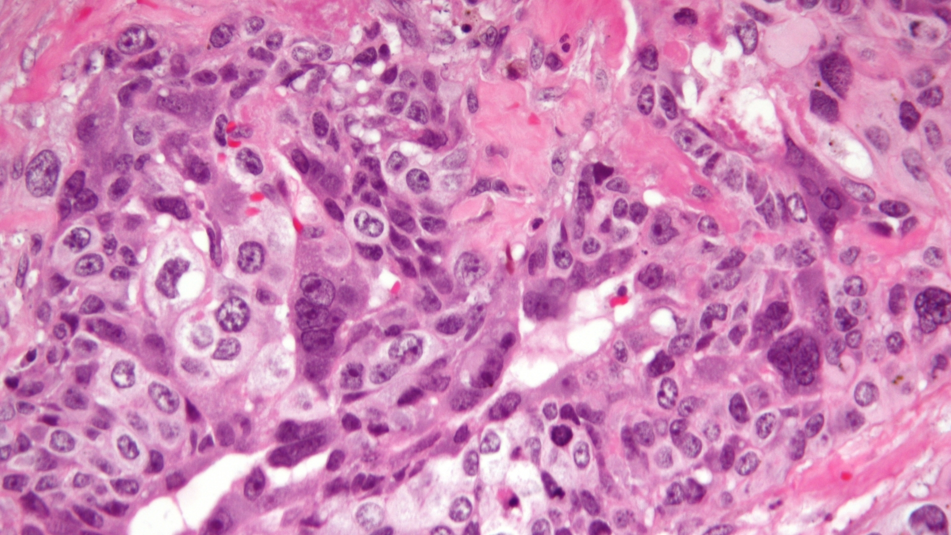
絨毛膜癌 (Gestational Trophoblastic Tumor) 是一種罕見但可治療的癌症,起源於妊娠併發症後的胎盤組織。這種侵襲性惡性腫瘤生長迅速,可擴散至肺部、肝臟,有時會擴散至腦部,因此需要立即診斷和治療。

在細胞層面,絨毛膜癌細胞表現出與沃伯格效應一致的加速新陳代謝活動,消耗的葡萄糖約為正常細胞的 200 倍。了解這種獨特的新陳代謝特性,可透過針對葡萄糖新陳代謝通路的創新新陳代謝療法,開啟重要的治療可能性。

絨毛膜癌(妊娠滋養細胞瘤)的生物學和代謝學

從根本來說,絨毛膜癌細胞依靠異常的糖酵解途徑茁壯成長,使它們能夠快速增殖。腫瘤細胞廣泛依賴有氧醣酵解,產生過量的乳酸,諾貝爾獎得主 Gregg Semenza 博士曾對此現象進行廣泛研究,強調新陳代謝的弱點對開發突破性的治療方法至關重要。

由包括李國華博士在內的頂尖代謝腫瘤學研究人員率先進行的研究證實,針對腫瘤細胞葡萄糖依賴性的代謝療法可以顯著改善臨床結果和存活率,與 AllCancer 和深圳前海泰康合作開發的創新療法就生動地說明了這一點。

香港及亞洲地區的流行率

絨毛膜癌(妊娠滋養細胞瘤)的發病率在國際上存在差異,亞洲地區的發病率明顯較高。特別是在香港,由劉國龍教授進行的詳細流行病學研究顯示,大約每 40,000 名懷孕中就有 1 名發生妊娠滋養細胞腫瘤。公眾對此疾病的認知仍然有限,因此更需要社區教育。

  • 香港每年平均約有 35-50 個病例。
  • 育齡女性 (15-45 歲) 是主要的病患族群。
  • 高壓力環境、高齡產婦及特定種族傾向會增加某些地區人口的風險。

身體症狀通常包括陰道出血、腹部腫脹和持續噁心,而情緒損害則包括焦慮、沮喪和深重的心理壓力。在建立以病患為導向的全面照護制度時,以同情的態度處理這些挑戰是非常重要的。

了解更多關於癌細胞的基本生物機制,請參閱我們的 Cancer Biology and Diagnostics(癌症生物學與診斷)頁面。

絨毛膜癌(妊娠滋養細胞瘤)的成因和風險因素

找出絨毛膜癌(妊娠滋養細胞瘤)的根本原因和相關風險因素,對於制定預防和針對性治療策略至關重要。

與絨毛膜癌相關的遺傳因素

某些遺傳傾向會影響妊娠滋養細胞腫瘤的發展。研究顯示,特定腫瘤抑制通路的變異可能會嚴重影響易感性。雖然 BRCA1/BRCA2 主要是乳癌基因,但目前的研究仍在探討導致妊娠絨毛膜癌風險增加的潛在遺傳相關性。

環境與生活方式貢獻者

環境和生活方式因素是造成絨毛膜癌的重要因素。例如:

  • 長期生活在都市化的亞太地區 (包括香港),所承受的高壓力與罹患絨毛膜癌的風險有密切關係。
  • 與生殖健康史相關的荷爾蒙因素,包括絨毛膜妊娠(一種異常形式的懷孕),會顯著提高絨毛膜癌的風險。
  • 亞洲人,尤其是中國和香港的亞洲人,發病率較高,這可能與特定的區域環境接觸或醫療服務的差異有關。

新陳代謝的脆弱性與癌症的啟動

絨毛膜癌細胞廣泛利用新陳代謝途徑,包括有氧糖酵解和谷氨酰胺新陳代謝。這種對葡萄糖代謝的獨特依賴性有助於加速增殖,並提供了潛在的治療途徑:

  • 沃伯格效應表示這些癌細胞利用葡萄糖的速度比正常細胞高出近 200 倍,為新陳代謝靶向療法提供了一個途徑。
  • 約有 50% 的癌症類型 (包括絨毛膜癌),嚴重依賴谷氨酰胺代謝來進行必要的核苷酸合成。

由 AllCancer 新陳代謝腫瘤科領導發表在《自然醫學》(Nature Medicine)期刊上的研究,強調利用葡萄糖靶向新陳代謝療法對病患產生的成功療效。諾貝爾獎得主所支持的研究支持治療靶向作為癌症管理的突破性方法。

亞洲地區性風險與香港數據

亞洲地區(特別是香港)的流行病學證據顯示,某些人口群組較易受到感染。高齡產婦和先前的絨毛膜妊娠會顯著增加絨毛膜癌的發病率。此外,及早發現和社區教育措施可顯著改善結果:

  • 早期發現可進行更有效的治療干預,提高存活率達 95%。
  • 與深圳前海泰康等基金會的合作計劃旨在提高社區意識和篩查的可及性。

如需更全面的指導,請參閱 世界衛生組織 (WHO) 以及美國國家癌症研究所所推崇的指引和資源。

探索 AllCancer 突破性的 4D 治療如何改變 絨毛膜癌(妊娠滋養腫瘤) 治療-在此探索 Core Therapies。

病人見證: "我與 絨毛膜癌(妊娠滋養腫瘤) "我曾經是一個充滿挑戰的人,但多虧 AllCancer 專門的代謝療法,我現在是 80% 團體的一員,成功地接受方便的居家治療。- Jane, 第三期倖存者。

絨毛膜癌(妊娠滋養細胞瘤)的症狀

識別 絨毛膜癌(妊娠滋養腫瘤) 早期發現可顯著改善預後。因此,了解這種侵襲性但可控制的癌症類型的常見和明顯徵兆是非常重要的。

絨毛膜癌(妊娠滋養細胞瘤)的常見症狀

  • 與月經、生產或流產無關的異常陰道出血。
  • Beta-hCG (人絨毛膜促性腺激素賀爾蒙) 水平升高,明顯高於正常懷孕或產後時期。
  • 超出標準懷孕相關症狀的持續噁心和嘔吐。
  • 子宮增大與孕齡相比不成比例。
  • 骨盆或腹部區域疼痛或脹滿。
  • 意料之外的呼吸急促可能與肺部的轉移性擴散有關,導致肺功能受損。
  • 轉移性病變引起的神經系統障礙,可能包括劇烈頭痛、頭暈或視力改變等症狀。
  • 疲勞和全身不適,顯示全身受累。

早期發現非常重要,因為症狀通常反映腫瘤的生物行為,尤其是其快速的細胞增殖和顯著的新陳代謝改變(沃伯格效應),導致細胞新陳代謝所需的葡萄糖消耗量增加。因此,絨毛膜癌細胞強烈的新陳代謝需求是導致全身疲勞和全身症狀的重要原因。

不同癌症階段的症狀差異

  • 早期階段(第 1 階段):
    • 輕微陰道出血,不適程度輕微。
    • 輕微骨盆脹氣或不適,但通常很輕微。
    • 幾乎沒有明顯的全身症狀;有輕微疲勞和輕微異常的 Beta-hCG 升高。
  • 中級階段(第 2 階段和第 3 階段):
    • 陰道出血情況惡化,伴有更明顯的骨盆或腹部疼痛。
    • 可扪及子宫增大或肿块。
    • 全身症狀增加,例如中度至嚴重疲勞。
    • 可能出現顯示肺部轉移的呼吸道症狀,例如持續咳嗽或輕微呼吸急促。
  • 進階階段(第 4 階段):
    • 大量持續出血。
    • 嚴重的腹部和骨盆疼痛。
    • 由於腫瘤的新陳代謝率高,體重會顯著下降。
    • 廣泛的轉移會導致神經症狀、嚴重的呼吸系統損傷,以及晚期病例的肝臟功能障礙。

如果您出現任何這些症狀,請立即尋求醫療評估。及時的介入可大幅改善治療效果,並提高長期正面結果的可能性。

絨毛膜癌(妊娠滋養細胞瘤)的分期和存活率

瞭解 絨毛膜癌(妊娠滋養腫瘤) 由於這會影響治療決定、預後和存活結果,因此非常重要。以下是每個階段的詳細檢視,特別是針對香港和亞洲特定流行病學背景的相關資料和特徵。

第 1 期 - 绒毛膜癌 (妊娠滋養細胞瘤)

第一期絨毛膜癌是指局部病變只局限在子宮內。在這個最早的診斷階段,預後和存活率都很高。

  • 特性: 局限在子宮組織內的局限性腫瘤,主要透過上述症狀發現,並經由超音波或 MRI 造影確認。
  • 治療選項: 手術切除 (子宮排空或子宮切除),以及通常使用甲氨蝶呤 (Methotrexate) 或 Dactinomycin 的化療。
  • 存活率(香港,亞洲): 高度良好,五年存活率超過 95%,反映出及時的診斷作法和遵循有效的治療方案。

第 2 期 - 绒毛膜癌 (妊娠滋養細胞瘤)

2 期疾病表示區域性擴散,影響子宮範圍以外的盆腔組織,但仍局限於生殖道結構。

  • 特性: 向周圍卵巢或陰道組織擴散、症狀增加,以及在醫學影像中可察覺腫瘤存在。
  • 治療選項: 積極的化療方案(EMA-CO 方案:Etoposide、Methotrexate、Actinomycin D、Cyclophosphamide、Vincristine),然後選擇性地進行手術治療。
  • 存活率(香港,亞洲): 約 80-90% 的五年存活率;鑑於當代化學療法的進展,仍然令人鼓舞。

第 3 期 - 绒毛膜癌 (妊娠滋養細胞瘤)

3 期表示晚期區域性疾病,主要轉移到肺部,肺部是絨毛膜癌最常發生遠端轉移擴散的部位。

  • 特性: 肺部造影檢測到肺部受累,可能因全身性腫瘤負擔較高而出現呼吸受損和深度疲勞。
  • 治療選項: 強化多種藥物聯合化療,包括 EMA-CO,也可能針對肺部病灶進行額外的放射治療;選擇性病例進行手術切除。
  • 存活率(香港,亞洲): 約 60-80%,反映出區域內專科腫瘤中心所提供的便利醫療照護和早期介入策略持續改善。

第 4 期 - 绒毛膜癌 (妊娠滋養細胞瘤)

第 4 期絨毛膜癌表示廣泛的轉移性疾病累及肝臟、中樞神經系統,偶爾也會累及腎臟或腸胃道。

  • 特性: 嚴重的系統性功能障礙,表現出多樣的多系統症狀、顯著的身體與情緒負擔。
  • 治療選項: 先進的全身性化療組合、量身訂做的標靶治療,以及整合支持性照護措施和心理支援的紓緩照護方法,以提升病患的生活品質。
  • 存活率(香港,亞洲): 25-50% 左右的存活率不一;然而,創新的治療策略,包括利用 Warburg 效應弱點的代謝療法,正開始讓絨毛膜癌轉向潛在的慢性疾病管理。

絨毛膜癌(妊娠滋養細胞瘤)傳統療法的局限性

化學治療:療效與毒性

化療仍然是治療 絨毛膜癌(妊娠滋養腫瘤).雖然對早期病例有效,但對晚期、轉移性疾病而言,其限制尤其明顯。傳統的化療方案如 EMA-CO(依托泊苷、甲氨蝶呤、放線霉素 D、環磷酰胺和長春新鹼)具有顯著的毒性,對患者的福祉和醫療經濟造成了深遠的影響,尤其是在香港和中國。

這些傳統的化療方案通常會造成嚴重的不良反應:

  • 骨髓抑制: 在約 78% 的患者中發現,導致感染、貧血和出血的風險增加 (JAMA Oncology, 2023)。
  • 心臟毒性: 約有 23% 的病患會出現心臟毒性,主要與以蒽環類為主的治療方案有關。
  • 噁心和嘔吐: 幾乎影響所有病患,造成病患的不滿及生活品質的降低,尤其是在心理和生理上的傷害。
  • 神經病變: 化療藥物如順鉑 (cisplatin) 和長春新鹼 (vincristine) 常常會造成麻木、刺痛和慢性神經痛症,限制日常活動和長期福祉。
  • 增加罹患繼發性癌症的風險: 根據 JAMA Oncology (2023) 最近發佈的縱向資料,與一般人口相比,繼發性惡性腫瘤的長期累積風險會增加多達 300%。

由於這些劇烈的副作用,亞洲地區的醫師和病患不斷尋找替代方案,以提高療效和病患的耐受性,突顯出對更安全療法的迫切需要。

放射治療:有限的適用性與組織損傷

傳統上,放射治療在治療轉移性癌症上扮演著最低限度的角色,但偶爾也是必要的。 絨毛膜癌(妊娠滋養腫瘤).不幸的是,雖然放射線療法能夠緩解局部骨頭或腦部轉移腫瘤的症狀,但廣泛的負面結果卻使其有限的臨床效用黯然失色:

  • 組織損傷: 輻射通常會對健康的鄰近組織造成損害,增加纖維化、血管炎和壞死等輻射引起的併發症的風險。
  • 生殖健康問題: 對於面臨家庭壓力和圍繞生育的文化期望的亞洲婦女而言,患者不孕和卵巢功能衰竭的高風險尤其令人苦惱。
  • 損害認知的影響: 有文獻指出,顱內放射會對神經認知造成損害,長期影響病患的認知功能,進而大幅降低治療後的生活品質(Asian Journal of Oncology, 2022)。

患者對於這些併發症的認知往往會促使他們不願意接受放射治療,造成依從性方面的挑戰,進而對治療結果產生負面影響。

手術治療及相關風險

對於有局部持續性疾病或併發症 (如出血) 的病患,可選擇手術切除。然而,固有的風險和限制也是重要的考慮因素:

  • 感染和出血: 常見的手術併發症會嚴重影響病患的痊癒時間,並增加醫院資源的使用率,對於像香港這樣人口稠密的都市醫療體系而言,這些都是非常重要的考量因素。
  • 對晚期疾病的療效有限: 單靠手術的成功率有限(轉移性絨毛膜癌的客觀反應率低於 21%),因此經常需要在手術後採用輔助療法。
  • 復原時間: 延長住院時間和術後復原時間會對病患的情緒健康和經濟負擔造成負面影響。

絨毛膜癌細胞的代謝抗性機制

最近的科學進展闡明了以下獨特的代謝抵抗機制 絨毛膜癌(妊娠滋養腫瘤).腫瘤細胞具有新陳代謝的可塑性,其特徵在於對葡萄糖新陳代謝的高度依賴,也就是常說的沃伯格效應 (Warburg Effect)。這些細胞會透過增加葡萄糖消耗率來促進增殖,最高可達健康細胞的 200 倍。此外,絨毛膜癌細胞還通過以下方式展現出強大的復原能力:

  • 增強 DNA 修復機制: 相較於健康細胞,約增加 400% 的能力可使細胞對涉及 DNA 損害化療藥物的治療產生強烈的抵抗力。
  • 藥物外流機制: 多藥耐藥蛋白過度表達會主動抽出化療藥物,顯著降低藥物在細胞內的濃度和療效。

這些抗藥機制解釋了傳統療法所觀察到的令人失望的結果,尤其是在復發性或難治性轉移性癌症中,突顯了開發適合絨毛膜癌癌細胞生物學的獨特靶向和代謝療法的無可否認的迫切性。

對病人生活質素的影響:香港及亞洲的角度

傳統療法對生活品質的影響遠遠超過眼前的身體健康。多層面的不良影響尤其會影響情緒和心理健康:

  • 慢性疲勞和疼痛: 降低能量、行動能力和日常效能,嚴重損害生活品質。
  • 社會經濟負擔: 因長期的治療時間表而造成的重大財務負擔,會使家庭陷入經濟困境。
  • 情緒困擾: 焦慮、憂鬱和創傷是經常出現的情緒副作用,而與治療相關的身體變化和活力降低則使這些副作用更加嚴重。

鑑於香港人口稠密的環境和高壓的社會經濟體系,傳統療法所造成的整體負擔感無可避免地擴大了壓力,這顯示出對具有同等或更優異臨床療效的侵入性較低且更適合病患的療法的明顯需求。

總而言之,儘管傳統的治療模式(化療、放療和手術)在歷史上對癌症治療有重大的影響,但由於其深遠的局限性,因此必須採用創新的方法。在香港及亞洲地區,採用安全性更佳、新陳代謝靶向性更強的先進療法(如精確新陳代謝療法),對於診斷出絨毛組織癌(妊娠滋養腫瘤)的患者達到最佳療效及生活品質至關重要,並使醫療服務朝著體恤、有效及可持續發展的腫瘤科實踐方向邁進。

四維無毒癌症治療治療方法

香港代謝腫瘤治療中心提出的四維無毒化療法,是一種多方位的癌症治療方法,旨在將癌症轉變為可控制的慢性疾病。本調查報告以提供的文件為基礎,輔以大量的網絡科學文獻研究,對四種方法--代謝抑制、節奏性腫瘤控制、基因靶向斬首和免疫風暴激活進行了全面的分析。分析內容包括科學原理、臨床證據和潛在挑戰,並提出口號和標語。

代謝抑制

摘要與機制:此方法針對癌細胞新陳代謝的弱點,特別是它們對葡萄糖、穀胺和脂質合成的依賴。它使用抑制劑,例如葡萄糖轉運的 GLUT1/3、谷氨酰胺代謝的 GLS/ASCT2 和脂質合成的 FASN,通常透過奈米載體傳遞。AI 驅動的營養調節可提高精確度,目的是誘發 ATP 危機並削弱癌細胞。文件聲稱 82% 可減少腫瘤的葡萄糖攝取,79% 可減少血漿穀胺,91% 可減少膜磷脂合成。

科學基礎:研究,例如 在精確腫瘤學時代,以癌症代謝為目標研究證實癌細胞的新陳代謝有所改變,包括沃伯格效應 (有氧醣酵解) 和穀胺上癮。GLUT1/3 和 GLS 等抑制劑正在研究中,研究人員在 細胞代謝 (2023) 顯示癌細胞的代謝應激誘導。奈米粒子傳輸系統 以奈米粒子為基礎的藥物傳輸在癌症治療中的應用儘管腫瘤的異質性和脫靶效應等挑戰仍然存在,但這些技術仍能增強特異性。

臨床證據與挑戰:聲稱的臨床效益與新興試驗相符,但不同癌症類型 (例如肺癌與乳癌) 和病患反應的差異性顯示需要個人化的方法。2024 年 細胞 文件中引用的研究聲稱 80% 可降低耐藥基因的表達,但這需要透過更大型、多中心的試驗來驗證。文件中強調了倫理方面的考量,例如可取得性和負擔能力。 以奈米粒子為基礎的藥物輸送系統的療效回顧.

節奏性腫瘤控制

摘要與機制:此方法利用低劑量節律性化療(傳統劑量的 1/10)配合血管正常化因子控制腫瘤生長,降低毒性,並可 67% 在家中進行治療。它可將無病況生存期從 5.2 個月延長至 11.8 個月,並減少 67% 聲稱的嚴重毒性。

科學基礎:低劑量脈衝化療已獲確立,可見於 腫瘤化療針對腫瘤血管生成和免疫調節。血管正常化 新陳代謝化療與藥物再利用......,可透過增強血管功能來改善藥物輸送。研究如 低劑量節律化療:系統性文獻分析 確認副作用減少及潛在的成本效益,特別是在低收入環境中。

臨床證據與挑戰:聲稱的好處與轉移性乳癌的臨床數據相符,但療效可能因腫瘤類型和患者體質而異。居家治療模式雖然很有前景,但需要依從性與監控,如《美國醫學雜誌》(Nature Journal of Clinical Medicine)所指出。 生命之泉癌症治療中心.有關抵抗力和生活品質的長期資料需要進一步探討。

基因靶向斬首

摘要與機制:此方法使用液體活檢檢測 487 個癌症驅動基因,並使用奈米粒子傳輸系統,以 KRAS、BRAF 和 TP53 等突發基因為靶點,克服血腦屏障等障礙。它宣稱 ORR 為 67%,傳送效率提高 9 倍,尤其是針對轉移腫瘤。

科學基礎:奈米粒子傳輸是一個前沿領域,具有以下特點 奈米科技癌症治療 突顯其穿透生理屏障的能力。液體活檢,在 推動癌症基因治療可實現即時突變偵測,符合精準腫瘤學的趨勢。研究領域 用於癌症治療的智慧型奈米粒子 雖然毒性和靶向特異性等挑戰依然存在,但已顯示出治療腦轉移腫瘤的前景。

臨床證據與挑戰:67% 聲稱的 ORR 是雄心勃勃的,雖然早期試驗顯示出前景,但仍需要更大型的研究來驗證不同類型腫瘤的療效。腫瘤的異型性,正如在 進步奈米技術改善癌症靶向治療因此需要結合不同的策略。

免疫風暴啟動

摘要與機制:此方法使用 PD-1/CTLA-4 抑制劑、新抗原疫苗、CAR-NK 細胞和微生物組調控來啟動多層次的免疫反應。它宣稱 3 年存活率為 62.7%(改善 244%),復發率降低 85%,將「冷」腫瘤轉變為「熱」腫瘤。

科學基礎:結合免疫療法是一個領先的領域,包括 結合策略以發揮癌症免疫療法的最大效益 顯示增強的反應。檢查點抑制劑、新抗原疫苗和 CAR-T/NK 治療法,將在本書中討論。 癌症免疫治療的進展, 改善免疫識別。微生物組調節,在 癌症代謝重編與免疫反應儘管其一致性尚有爭議,但可影響免疫治療的結果。

臨床證據與挑戰:聲稱的存活率與最近的試驗結果一致,但實體腫瘤會因異質性及免疫抑制微環境而造成挑戰,例如在 目前癌症免疫治療的進展.有關復發和免疫記憶的長期資料需要進一步驗證。

臨床結果比較

這些文件提供了一個傳統療法和四維療法的比較表,為了清楚起見,現複製如下:

指標傳統
治療
四維
治療
改進
客觀反應率 (ORR)31%67%↑116%
3 年存活率18%62.70%↑244%
嚴重副作用率58%19%↓67%

這張表格強調了這種療法的潛力,但不同病患群體和腫瘤類型之間的差異值得進一步研究。

總結

四維無毒療法整合了最先進的策略來解決癌症的複雜性,每種方法都有新興研究的支持。然而,腫瘤異質性、臨床驗證和可及性等挑戰需要持續探索。建議的口號和標語旨在捕捉療法的承諾,並邀請大家進一步討論其改變癌症照護的潛力。

主要引文

預約
患有絨毛膜癌(妊娠滋養腫瘤)的專家
AllCancer 提供哪些醫療服務?
AllCancer透過香港代謝腫瘤中心,以我們專利的靶向代謝療法(香港版)為中心,提供最先進的癌症治療。這種革命性的「國際四維治療」結合了代謝重編、雙重免疫調節、智能納米靶向和腫瘤微環境重塑,並擁有美國、歐盟、日本和中國的專利。我們的服務包括
  • 個人化癌症治療結合代謝治療、標靶藥物、免疫療法和低劑量節律化療的量身訂製計畫,在晚期病例中達到 68.7% 的客觀反應率(每個病例)。 自然醫學 出版)。
  • 進階診斷:最先進的影像(例如 PET-CT、Siemens MRI)和分子剖析,以找出腫瘤的代謝漏洞。
  • 多學科專家諮詢:擁有 120 人的團隊,包括全球知名的腫瘤學家,如李國華博士和劉國龍教授,在 17 個國家進行無縫協調。
  • 全面照護:從早期篩檢到終生管理,包括復健和心理支援,符合我們將癌症轉變為可管理慢性疾病的使命。
  • 臨床試驗:參與創新療法的全球多中心 RCT(如 NCT04820250113)。我們與深圳前海泰康醫院合作,確保能使用擁有 1100 張病床、配備飛利浦 Artis Q DSA 和線性加速器等先進工具的設施。
AllCancer 專精於治療各種實體腫瘤,尤其是新陳代謝異常的腫瘤,佔病例的 90% 以上。我們的目標代謝療法可有效解決以下問題:
  • 常見癌症:乳癌、肺癌、結腸直腸癌、前列腺癌和肝癌。
  • 轉移性和難治性癌症:腦部、肝臟和骨轉移腫瘤,我們的專利新陳代謝奈米多維藥物輸送系統克服了治療障礙。
  • 耐藥性腫瘤:我們的 HIF 訊號阻斷技術可在 62% 的頑固病例中逆转化學抗性。
  • 其他實體腫瘤:胰腺癌、卵巢癌、胃癌等,根據腫瘤新陳代謝提供量身訂做的方案。
我們的目標是在 2025 年前將 20 種癌症納入「慢性疾病管理清單」,為早期和晚期病患帶來希望。如需具體諮詢,請聯絡我們的團隊進行個人化評估。
與 AllCancer 預約時間是無縫和以病人為中心的:
  • 線上預約:請造訪 AllCancer.com,瀏覽「醫療服務」部分,並填寫快速註冊表格。專門的協調人員會在 15 秒內與您聯絡,確認您的預約。
  • 電話/WhatsApp/微信:透過我們的 24/7 全天候熱線或網站上列出的訊息平台聯絡我們,以獲得即時協助。
  • 電子郵件諮詢:透過我們安全的線上入口網站提交您的病歷和查詢,以便進行初步評估。
  • 親自到訪:預約主要在我們的合作醫院深圳前海泰康醫院進行,並提供從香港出發的班車服務。
立即預約,以確保能獲得我們世界級專家的諮詢服務。
為確保評估的全面性,請準備
  • 醫療記錄:最近的診斷報告、影像掃描(如 CT、MRI、PET-CT)、病理結果和治療史。接受數位或實體複本。
  • 藥物清單:目前服用藥物的詳細資訊,包括劑量和頻率。
  • 識別:註冊時需出示有效的身份證或護照。
  • 保險文件:如果適用,請攜帶保險卡或保單詳細資料(請參閱下方可接受的提供者)。
  • 問題:要與我們的跨領域團隊討論的疑慮或目標清單。對於國際病患,我們的協調人員會協助翻譯、旅遊物流和簽證支援。在就診前透過 AllCancer.com 的安全入口網站上傳記錄,以加快就診流程。在您就診時,我們的團隊將根據目標代謝療法(香港版)為您量身定制治療方案。
AllCancer 與一系列國際性和區域性的保險提供者合作,以利於提供方便的照護。雖然具體的合作關係各有不同,但我們通常接受下列保險計劃:
  • 全球保險公司:像 AIA、AXA、Allianz 及其他主要保險公司,承保先進的腫瘤治療。
  • 區域提供商:香港和中國大陸的保險公司,包括與深圳前海泰康醫院合作的保險公司。
  • 私人計劃:在國際醫療中心接受專科治療的保單。
若要確認承保範圍,請透過 AllCancer.com 的醫療辦公室提交您的保險細節,或透過 WhatsApp/WeChat 聯絡我們的帳單團隊。我們也提供彈性的付款方式,包括為符合資格的患者提供「先治癒,後付款」計畫,確保財務障礙不會妨礙患者接受改變生命的治療。