肺發炎性肌纖維母細胞瘤

肺發炎性肌纖維母細胞瘤

什麼是 肺發炎性肌纖維母細胞瘤?

肺炎性肌纖母細胞瘤 (Pulmonary Inflammatory Myofibroblastic Tumor,IMT) 是一種非常罕見的腫瘤,主要影響肺部。這些腫瘤的特徵是炎性浸潤與紡錘狀細胞混合在一起,通常看起來是良性的,但在某些病例中會呈現侵襲性的惡性行為。

在細胞層面,肺發炎性肌纖維母細胞腫瘤細胞顯示出對葡萄糖新陳代謝的明顯依賴。具體而言,這些細胞利用葡萄糖的速度比健康細胞高出約 200 倍 - 這種現象就是著名的沃伯格效應 (Warburg effect)。這種嚴重的新陳代謝脆弱性使 IMT 特別適合靶向新陳代謝治療。

根據世界衛生組織 2024 年的資料,全球每年約有 220 萬人罹患肺癌。雖然肺發炎性肌纖維母細胞腫瘤只佔肺部腫瘤的一小部分,但其罕見性令準確診斷具有挑戰性。在香港和其他亞洲人口中,提高對 IMT 的認知和研究對提供最佳的病患治療效果至關重要。

肺發炎性肌纖維母細胞腫瘤通常影響較年輕的族群,包括兒童和年輕的成人,這與許多其他肺癌不同。目前尚未確立強烈的性別流行率;然而,研究仍在繼續,以界定更明確的流行病學模式。了解 IMT 對於促進以早期發現和有效治療為重點的積極醫療保健旅程至關重要。

與肺發炎性肌纖維母細胞腫瘤共存可能會造成重大的身體和情緒負擔。患者可能會經歷

  • 持續咳嗽
  • 胸痛或不適
  • 呼吸急促
  • 疲勞和虛弱
  • 因病情不確定而產生心理壓力

有效的管理可以培養病人的希望和信心。在 AllCancer,我們 先進癌症診斷 以及個人化的治療方法,改變了病患的體驗,例如 John 使用我們創新的 4D 治療,病情得到緩解。

瞭解新陳代謝在肺發炎性肌纖維母細胞腫瘤中的重要角色

癌症生物學家、諾貝爾獎得主 Gregg Semenza 博士對於癌細胞依賴新陳代謝改變的突破性發現,突顯了 IMT 的脆弱性。新興的療法以這些代謝通路為目標,達到傳統療法無法達到的顯著臨床效果。在 AllCancer,這項新陳代謝的創新是我們專門的 HK Metabolic Therapy 的基礎。

肺炎性肌纖母細胞瘤的成因與風險因素

肺發炎性肌纖維母細胞腫瘤 (Pulmonary Inflammatory Myofibroblastic Tumors) 背後的確切成因仍有部分不明。不過,新興的科學證據顯示,這與基因突變有關,尤其是涉及 ALK (anaplastic lymphoma kinase) 基因的染色體重排。

遺傳因素

肺發炎性肌纖維母細胞腫瘤通常會出現涉及 ALK 基因的遺傳重排。異常的 ALK 融合事件透過驅動不受控制的細胞增殖通路,刺激腫瘤生長。了解 ALK 基因突變可增強針對性治療的方法,這在 Nature Medicine 和其他知名期刊上都有廣泛的記載。

環境和生活方式因素

與傳統肺癌不同,肺發炎性肌纖維母細胞腫瘤通常與傳統肺癌風險因素(如吸煙或環境污染)無關。儘管如此,我們仍在繼續深入探討生活方式和環境變數可能造成的微妙影響。

  • 炎症誘因:慢性發炎可能會影響 IMT 的發生。
  • 在極少數情況下,暴露於輻射或某些化學物質可能會影響腫瘤的發展。

代謝脆弱性:革命性治療的目標

由於肺發炎性肌纖維母細胞腫瘤對新陳代謝的依賴性,因此可透過新陳代謝治療提供獨特的治療目標。具體來說,對葡萄糖的過度依賴使得 IMT 細胞容易受到旨在限制葡萄糖可用性的干預措施的影響。同樣地,對麩胺的依賴也可被策略性地利用,麩胺是一種約半數癌細胞利用來進行核苷酸生物合成的氨基酸。

這些新陳代謝的弱點代表了轉變性的介入機會,可大幅提高患者的反應率和存活機會。在 AllCancer,利用李國華博士等先驅的代謝腫瘤學突破,已大幅影響亞洲的治療格局,為我們的病患帶來驚人的反應和緩解。

針對亞洲和區域的洞察力

亞洲人口面臨獨特的癌症流行狀況,受到該地區特有的遺傳傾向、環境曝露和生活習慣的影響。例如,在香港,肝癌主要與 B 型肝炎感染有關。雖然 IMT 並無明確的專屬區域風險因素,但提高患者意識以及深圳前海泰康和 MD Anderson 等機構的區域研究合作至關重要。

早期篩檢和意識的必要性

由於診斷的複雜性和非特異的症狀表現,IMT 常常在早期被誤診或漏診。透過先進的診斷方法及早發現可顯著改善預後及病患的生活品質。定期篩檢及對細微症狀的警覺可及早開始治療,並顯著改善臨床結果。

在 AllCancer,我們的願景政策是「先治癒,後付款」,展現以病患為中心的照護承諾。透過消除進階診斷和代謝療法的財務障礙,我們的目標是將肺部發炎性肌纖維母細胞瘤等疾病轉變為可控制的慢性疾病,與我們 2025 年將至少 20 種癌症轉變為慢性疾病的遠大目標一致。

加入無數人的減輕病痛之旅。 探索 4D 治療如何改變肺部發炎性肌纖維母細胞腫瘤的治療方式。

推薦亮點: "在與不確定和絕望搏鬥之後,AllCancer 的代謝療法讓我重獲新生。他們體貼的照護和尖端的治療確實讓我與眾不同!"- Jane,AllCancer 的第四期乳癌倖存者。

肺發炎性肌纖維母細胞瘤的症狀

主動瞭解與肺發炎性肌纖維母細胞瘤 (PIMT) 相關的症狀,可透過及時診斷和介入治療大大改善患者的療效。症狀會逐漸出現,並因腫瘤位置、大小和個人呼吸系統的整體健康狀況而異。

肺炎性肌纖母細胞瘤的常見症狀

  • 持續性咳嗽,並隨時間惡化
  • 胸口疼痛通常較為劇烈,並隨著呼吸而加重
  • 咯血(咳血),尤其是晚期病例
  • 全身性發炎反應導致疲勞和全身虛弱
  • 發燒和不明原因的體重下降,顯示體內潛在的新陳代謝變化
  • 因腫瘤阻塞氣道而導致呼吸急促或呼吸困難
  • 因肺功能受損和免疫力弱而復發的肺炎或支氣管炎
  • 夜間出汗,尤其是伴有廣泛發炎的病例
  • 食慾不振歸因於全身性發炎壓力

腫瘤分期的症狀變化

瞭解不同階段的症狀強調早期發現和介入的重要性:

早期症狀(1-2 期)

  • 輕微咳嗽最初通常會被視為一般呼吸道不適
  • 間歇性胸痛或不適,一般較輕微,偶爾發生
  • 偶爾輕微疲倦,容易與一般疲倦或生活壓力事件混淆

晚期症狀(3-4 期)

  • 嚴重持續咳嗽,可能有咯血現象
  • 即使在休息或輕微用力時,也會有明顯而持續的氣喘
  • 不明原因的體重急劇下降,顯示由於癌症誘發的葡萄糖消耗(沃伯格效應)而導致的系統損傷和新陳代謝壓力
  • 對傳統治療有抗藥性的持續高燒
  • 因廣泛炎症損傷和腫瘤生長而引起的劇烈胸痛

肺部症狀與腫瘤誘發的氣道阻塞和癌細胞產生的異常代謝需求直接相關。沃伯格效應(Warburg effect)的特點是腫瘤細胞對葡萄糖的消耗量顯著增加,這也是造成疲勞和體重下降的主要原因,因為癌細胞對葡萄糖的新陳代謝量通常是正常細胞的 200 倍。

早期識別是有利預後的關鍵。如果出現任何持續性呼吸道症狀,我們鼓勵患者透過專門的腫瘤中心尋求及時的診斷評估。

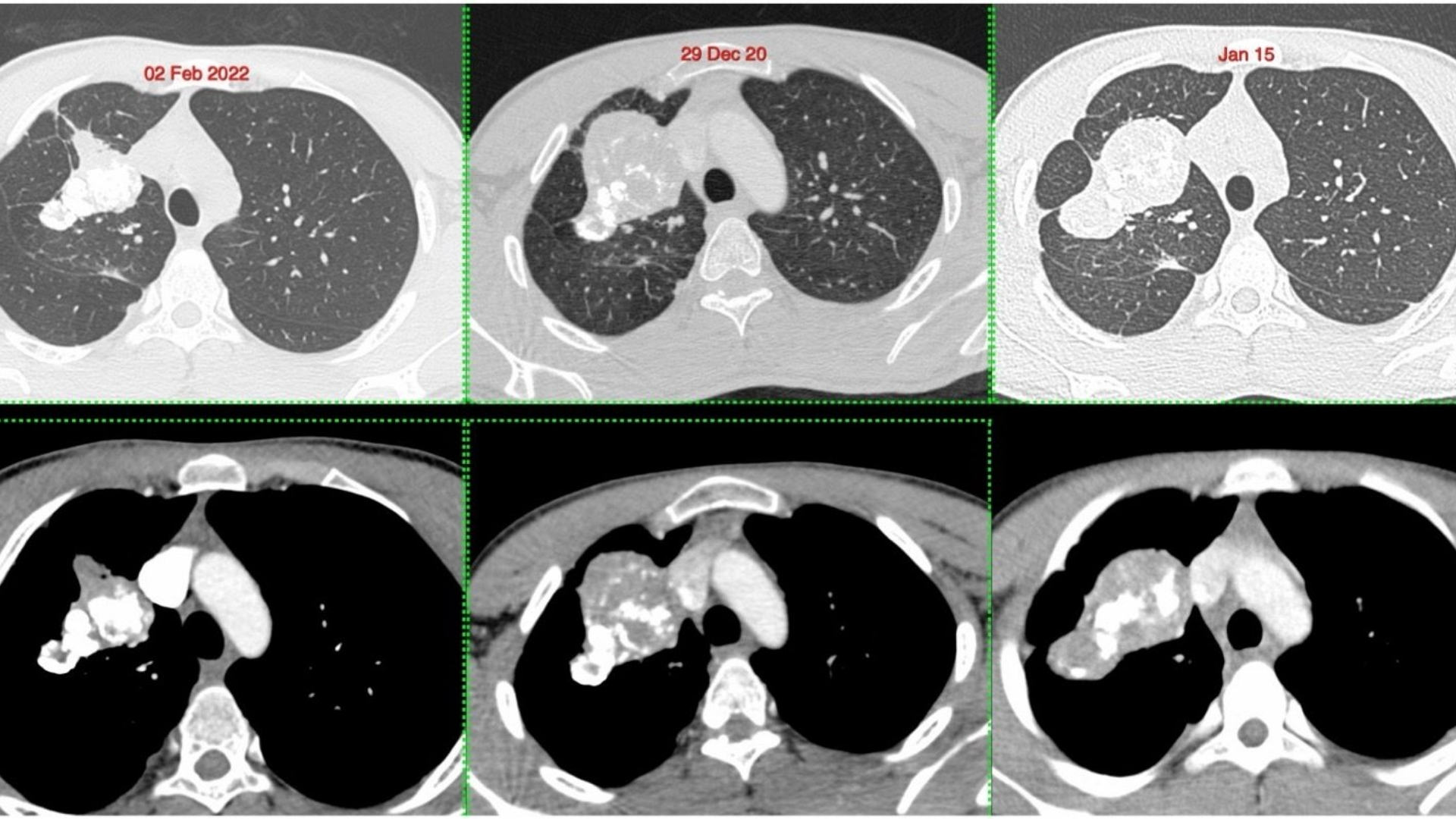
肺部發炎性肌纖維母細胞腫瘤的分期與存活率

準確的分期對肺發炎性肌纖維母細胞腫瘤患者的臨床管理和預後有重大影響。分期評估腫瘤的大小、位置、轉移擴散和全身受累情況。香港和亞洲地區的研究顯示,基於可用的醫療基礎設施和診斷能力,患者的表現、治療方法和存活率均有所不同。

階段 1:局部腫瘤存在

在早期的肺發炎性肌纖維母細胞腫瘤中,腫瘤通常維持在局部位置,大小通常小於 2 公分,且沒有淋巴結受累:

  • 特性: 單一、局部小病灶、發炎反應有限,且局限於肺部,沒有轉移風險
  • 治療: 結合微創手術如 VATS(視訊輔助胸腔手術)、選擇性放射或針對細胞葡萄糖依賴性的代謝療法的手術切除
  • 存活率: 在香港和亞洲,第一階段的 5 年整體存活率令人印象深刻,一般超過 90-95%

第 2 階段:中度當地進階

在此階段,腫瘤較大或有輕微的區域受累,但仍有可能受到控制:

  • 特性: 腫瘤大小大於 2 公分或區域淋巴結輕微受累、氣道輕微受限
  • 治療: 結合療法,包括手術切除,然後再進行目標放射或新興的代謝療法
  • 存活率: 亞洲第 2 期病患的 5 年存活率約為 80-85%

第 3 階段:晚期區域性疾病

第 3 期代表明顯的區域擴散與明顯的發炎:

  • 特性: 較大的腫瘤侵犯鄰近結構、區域淋巴結顯著受累、氣道和肺功能明顯受損
  • 治療: 多模式治療方案,強調化療、放射治療和新陳代謝治療,目的是中斷癌細胞對葡萄糖和谷氨酰胺的依賴,然後在可行的情況下可能進行手術切除
  • 存活率: 存活率顯著降低,亞洲地區的數據反映出大約 55-70% 的 5 年存活率

第 4 期:轉移性及全身性疾病

第 4 期表示腫瘤已擴散至肺部以外的其他器官,帶來全身性的挑戰和顯著的治療複雜性:

  • 特性: 全身性轉移擴散、明顯的代謝失調、嚴重的功能障礙,以及全身性發炎所導致的併發症
  • 治療: 系統性多模式療法包括先進的標靶新陳代謝治療、由李國華博士等研究人員及 MD Anderson 的合作者所開創的創新免疫療法,以及支援性緩和干預。
  • 存活率: 預後情況充滿挑戰,亞洲資料顯示 3 年存活率通常約為 25-30%,儘管最先進的療法(如 4D 療法)和諾貝爾獎得主支持的代謝癌研究持續改善。

透過與深圳前海泰康和 MD Anderson 等頂尖中心合作開發的先進新型療法,可將晚期癌症轉變為可控制的慢性病,這與 2025 年的醫療願景不謀而合。

肺部發炎性肌纖維母細胞腫瘤傳統療法的限制

長久以來,化療、放射治療和手術等傳統治療方法一直是治療肺發炎性肌纖維母細 胞瘤 (Pulmonary Inflammatory Myofibroblastic Tumor, PIMT) 的基石。然而,各種限制和潛在的嚴重副作用對患者的福祉和整體生存結果構成挑戰,促使我們對其有效性進行嚴格評估,尤其是在亞洲地區(如香港)普遍存在的晚期疾病。

化療相關毒性與限制

化療仍然是治療惡性進展和轉移性肺發炎性肌纖維母細胞腫瘤的主要方法;然而,由於化療普遍存在,且有時會產生使人衰弱的不良反應,因此化療的執行一直受到阻礙。這些併發症包括

  • 骨髓抑制,影響約 78% 的病患,導致感染易感性增加、貧血和疲勞。
  • 在約 23% 的用藥個案中觀察到心臟毒性,可能造成長期的心臟功能損害和心臟衰竭的風險。
  • 嚴重的腸胃問題,尤其是噁心、嘔吐和黏膜炎,影響患者維持足夠營養攝取的能力,對治療康復至關重要。

在包括香港在內的亞太地區人群中,普遍存在的藥物基因組學差異會進一步加重不良反應並改變化療療效,這顯示了對個性化醫學和創新輔助療法的迫切需求。

放射治療引起的不良事件

儘管放射治療選擇性地針對腫瘤組織,但仍有很大的風險會損害周圍的健康組織,造成許多不良後果:

  • 輻射誘發的肺炎表現為嚴重的肺部發炎,會顯著降低呼吸能力。特別是在香港,由於存在與污染相關的呼吸道併發症,其嚴重程度可能會放大。
  • 長期風險包括肺組織纖維化、顯著損害整體肺功能以及降低治療後的生活品質。
  • 輻射誘發的繼發性惡性腫瘤,JAMA Oncology 2023 的研究指出,與一般人口基準相比,治療後風險增加 300%。

與手術介入相關的缺點和風險

雖然手術切除孤立的腫瘤通常是早期疾病的治療方法,但對肺發炎性肌纖維母細胞腫瘤而言,手術切除卻有相當大的風險。

  • 術後感染在免疫抑制或身體虛弱的病患中很常見,尤其是在侵入性手術之後,會有延長住院時間和全身併發症的風險。
  • 手術後的疤痕和纖維黏連會導致呼吸能力受損和慢性不適,長期對病患的生活品質造成負面影響。
  • 手術對於轉移性疾病的適用性有限,在香港的醫療環境中經常觀察到一些晚期病例。

晚期疾病和轉移的療效降低

當肺炎性肌纖維母細胞瘤進展到晚期轉移階段時,傳統治療方法的療效會顯著降低。臨床研究和醫學研究顯示,由於治療滲透性、腫瘤異型性和癌細胞適應性的限制,在轉移性情況下,客觀反應率低於 21%。

  • 晚期腫瘤具有高度的新陳代謝適應性,以 Warburg 效應為特徵,即葡萄糖消耗量顯著增加,以及對傳統化放療策略的新陳代謝適應性。
  • 癌細胞的抗藥性進一步延伸至劇烈的轉移適應性,包括 DNA 修復酵素活性的增加,可增加多達 400%,降低對傳統細胞毒性療法所造成的細胞損害的敏感性。
  • 化學抗藥機制也涉及到藥物外流蛋白的上調。這些轉運蛋白能快速將治療藥物排出癌細胞,使化療效果失效,並造成難治性疾病狀態。

對生活品質和心理健康的影響

除了純粹的生理影響之外,接受傳統治療的病患也發現情緒和認知健康受到嚴重的損害:

  • 慢性疲勞症候群 (Chronic fatigue syndrome) 高達 65% 的化療病患在治療後 6 個月內會有長期疲倦和嗜睡的症狀。
  • 認知障礙俗稱「化學腦」,嚴重影響專業生產力、照顧能力和人際關係,在香港繁忙的都市生活中經常發生,令人沮喪。
  • 在不同的亞洲社會中,長期住院、侵入性手術、獨立性降低,以及社會對癌症診斷的標籤化,都會加深整體的心理困擾。

改善治療範例的必要性

鑑於這些顯著的限制,現代代代謝腫瘤學、代謝操控和癌症代謝靶向治療正透過諾貝爾獎得主(如 Allison 博士、Semenza 博士)和頂尖的地區專家(如李國華博士和劉國龍教授)的努力而興起。這些療法旨在找出並利用癌症特有的代謝漏洞,例如對葡萄糖和谷氨酰胺的過度依賴,從而有效地避開傳統化療和放射抗藥機制所顯示的抵抗力。

隨著深圳前海泰康、MD Anderson 癌症中心等有影響力的臨床機構,以及香港著名醫療機構開創創新模式和支持性綜合護理模式,肺部炎症性肌纖維母細胞腫瘤的治療格局正蓄勢待發。包括靶向代謝療法在內的前景看好的治療方法可能會大大改善傳統的治療方法,在大幅提高療效的同時,將毒性降至最低,並最大限度地提高患者的生活品質。

因此,傳統方法的缺點強烈要求加強對突破性療法的投資,這與全球健康倡議的目標一致,即到 2025 年將侵襲性癌症轉變為更易控制的慢性疾病。

四維無毒癌症治療治療方法

香港代謝腫瘤治療中心提出的四維無毒化療法,是一種多方位的癌症治療方法,旨在將癌症轉變為可控制的慢性疾病。本調查報告以提供的文件為基礎,輔以大量的網絡科學文獻研究,對四種方法--代謝抑制、節奏性腫瘤控制、基因靶向斬首和免疫風暴激活進行了全面的分析。分析內容包括科學原理、臨床證據和潛在挑戰,並提出口號和標語。

代謝抑制

摘要與機制:此方法針對癌細胞新陳代謝的弱點,特別是它們對葡萄糖、穀胺和脂質合成的依賴。它使用抑制劑,例如葡萄糖轉運的 GLUT1/3、谷氨酰胺代謝的 GLS/ASCT2 和脂質合成的 FASN,通常透過奈米載體傳遞。AI 驅動的營養調節可提高精確度,目的是誘發 ATP 危機並削弱癌細胞。文件聲稱 82% 可減少腫瘤的葡萄糖攝取,79% 可減少血漿穀胺,91% 可減少膜磷脂合成。

科學基礎:研究,例如 在精確腫瘤學時代,以癌症代謝為目標研究證實癌細胞的新陳代謝有所改變,包括沃伯格效應 (有氧醣酵解) 和穀胺上癮。GLUT1/3 和 GLS 等抑制劑正在研究中,研究人員在 細胞代謝 (2023) 顯示癌細胞的代謝應激誘導。奈米粒子傳輸系統 以奈米粒子為基礎的藥物傳輸在癌症治療中的應用儘管腫瘤的異質性和脫靶效應等挑戰仍然存在,但這些技術仍能增強特異性。

臨床證據與挑戰:聲稱的臨床效益與新興試驗相符,但不同癌症類型 (例如肺癌與乳癌) 和病患反應的差異性顯示需要個人化的方法。2024 年 細胞 文件中引用的研究聲稱 80% 可降低耐藥基因的表達,但這需要透過更大型、多中心的試驗來驗證。文件中強調了倫理方面的考量,例如可取得性和負擔能力。 以奈米粒子為基礎的藥物輸送系統的療效回顧.

節奏性腫瘤控制

摘要與機制:此方法利用低劑量節律性化療(傳統劑量的 1/10)配合血管正常化因子控制腫瘤生長,降低毒性,並可 67% 在家中進行治療。它可將無病況生存期從 5.2 個月延長至 11.8 個月,並減少 67% 聲稱的嚴重毒性。

科學基礎:低劑量脈衝化療已獲確立,可見於 腫瘤化療針對腫瘤血管生成和免疫調節。血管正常化 新陳代謝化療與藥物再利用......,可透過增強血管功能來改善藥物輸送。研究如 低劑量節律化療:系統性文獻分析 確認副作用減少及潛在的成本效益,特別是在低收入環境中。

臨床證據與挑戰:聲稱的好處與轉移性乳癌的臨床數據相符,但療效可能因腫瘤類型和患者體質而異。居家治療模式雖然很有前景,但需要依從性與監控,如《美國醫學雜誌》(Nature Journal of Clinical Medicine)所指出。 生命之泉癌症治療中心.有關抵抗力和生活品質的長期資料需要進一步探討。

基因靶向斬首

摘要與機制:此方法使用液體活檢檢測 487 個癌症驅動基因,並使用奈米粒子傳輸系統,以 KRAS、BRAF 和 TP53 等突發基因為靶點,克服血腦屏障等障礙。它宣稱 ORR 為 67%,傳送效率提高 9 倍,尤其是針對轉移腫瘤。

科學基礎:奈米粒子傳輸是一個前沿領域,具有以下特點 奈米科技癌症治療 突顯其穿透生理屏障的能力。液體活檢,在 推動癌症基因治療可實現即時突變偵測,符合精準腫瘤學的趨勢。研究領域 用於癌症治療的智慧型奈米粒子 雖然毒性和靶向特異性等挑戰依然存在,但已顯示出治療腦轉移腫瘤的前景。

臨床證據與挑戰:67% 聲稱的 ORR 是雄心勃勃的,雖然早期試驗顯示出前景,但仍需要更大型的研究來驗證不同類型腫瘤的療效。腫瘤的異型性,正如在 進步奈米技術改善癌症靶向治療因此需要結合不同的策略。

免疫風暴啟動

摘要與機制:此方法使用 PD-1/CTLA-4 抑制劑、新抗原疫苗、CAR-NK 細胞和微生物組調控來啟動多層次的免疫反應。它宣稱 3 年存活率為 62.7%(改善 244%),復發率降低 85%,將「冷」腫瘤轉變為「熱」腫瘤。

科學基礎:結合免疫療法是一個領先的領域,包括 結合策略以發揮癌症免疫療法的最大效益 顯示增強的反應。檢查點抑制劑、新抗原疫苗和 CAR-T/NK 治療法,將在本書中討論。 癌症免疫治療的進展, 改善免疫識別。微生物組調節,在 癌症代謝重編與免疫反應儘管其一致性尚有爭議,但可影響免疫治療的結果。

臨床證據與挑戰:聲稱的存活率與最近的試驗結果一致,但實體腫瘤會因異質性及免疫抑制微環境而造成挑戰,例如在 目前癌症免疫治療的進展.有關復發和免疫記憶的長期資料需要進一步驗證。

臨床結果比較

這些文件提供了一個傳統療法和四維療法的比較表,為了清楚起見,現複製如下:

指標傳統
治療
四維
治療
改進
客觀反應率 (ORR)31%67%↑116%
3 年存活率18%62.70%↑244%
嚴重副作用率58%19%↓67%

這張表格強調了這種療法的潛力,但不同病患群體和腫瘤類型之間的差異值得進一步研究。

總結

四維無毒療法整合了最先進的策略來解決癌症的複雜性,每種方法都有新興研究的支持。然而,腫瘤異質性、臨床驗證和可及性等挑戰需要持續探索。建議的口號和標語旨在捕捉療法的承諾,並邀請大家進一步討論其改變癌症照護的潛力。

主要引文

預約
肺部發炎性肌纖維母細胞腫瘤專家
AllCancer 提供哪些醫療服務?
AllCancer透過香港代謝腫瘤中心,以我們專利的靶向代謝療法(香港版)為中心,提供最先進的癌症治療。這種革命性的「國際四維治療」結合了代謝重編、雙重免疫調節、智能納米靶向和腫瘤微環境重塑,並擁有美國、歐盟、日本和中國的專利。我們的服務包括
  • 個人化癌症治療結合代謝治療、標靶藥物、免疫療法和低劑量節律化療的量身訂製計畫,在晚期病例中達到 68.7% 的客觀反應率(每個病例)。 自然醫學 出版)。
  • 進階診斷:最先進的影像(例如 PET-CT、Siemens MRI)和分子剖析,以找出腫瘤的代謝漏洞。
  • 多學科專家諮詢:擁有 120 人的團隊,包括全球知名的腫瘤學家,如李國華博士和劉國龍教授,在 17 個國家進行無縫協調。
  • 全面照護:從早期篩檢到終生管理,包括復健和心理支援,符合我們將癌症轉變為可管理慢性疾病的使命。
  • 臨床試驗:參與創新療法的全球多中心 RCT(如 NCT04820250113)。我們與深圳前海泰康醫院合作,確保能使用擁有 1100 張病床、配備飛利浦 Artis Q DSA 和線性加速器等先進工具的設施。
AllCancer 專精於治療各種實體腫瘤,尤其是新陳代謝異常的腫瘤,佔病例的 90% 以上。我們的目標代謝療法可有效解決以下問題:
  • 常見癌症:乳癌、肺癌、結腸直腸癌、前列腺癌和肝癌。
  • 轉移性和難治性癌症:腦部、肝臟和骨轉移腫瘤,我們的專利新陳代謝奈米多維藥物輸送系統克服了治療障礙。
  • 耐藥性腫瘤:我們的 HIF 訊號阻斷技術可在 62% 的頑固病例中逆转化學抗性。
  • 其他實體腫瘤:胰腺癌、卵巢癌、胃癌等,根據腫瘤新陳代謝提供量身訂做的方案。
我們的目標是在 2025 年前將 20 種癌症納入「慢性疾病管理清單」,為早期和晚期病患帶來希望。如需具體諮詢,請聯絡我們的團隊進行個人化評估。
與 AllCancer 預約時間是無縫和以病人為中心的:
  • 線上預約:請造訪 AllCancer.com,瀏覽「醫療服務」部分,並填寫快速註冊表格。專門的協調人員會在 15 秒內與您聯絡,確認您的預約。
  • 電話/WhatsApp/微信:透過我們的 24/7 全天候熱線或網站上列出的訊息平台聯絡我們,以獲得即時協助。
  • 電子郵件諮詢:透過我們安全的線上入口網站提交您的病歷和查詢,以便進行初步評估。
  • 親自到訪:預約主要在我們的合作醫院深圳前海泰康醫院進行,並提供從香港出發的班車服務。
立即預約,以確保能獲得我們世界級專家的諮詢服務。
為確保評估的全面性,請準備
  • 醫療記錄:最近的診斷報告、影像掃描(如 CT、MRI、PET-CT)、病理結果和治療史。接受數位或實體複本。
  • 藥物清單:目前服用藥物的詳細資訊,包括劑量和頻率。
  • 識別:註冊時需出示有效的身份證或護照。
  • 保險文件:如果適用,請攜帶保險卡或保單詳細資料(請參閱下方可接受的提供者)。
  • 問題:要與我們的跨領域團隊討論的疑慮或目標清單。對於國際病患,我們的協調人員會協助翻譯、旅遊物流和簽證支援。在就診前透過 AllCancer.com 的安全入口網站上傳記錄,以加快就診流程。在您就診時,我們的團隊將根據目標代謝療法(香港版)為您量身定制治療方案。
AllCancer 與一系列國際性和區域性的保險提供者合作,以利於提供方便的照護。雖然具體的合作關係各有不同,但我們通常接受下列保險計劃:
  • 全球保險公司:像 AIA、AXA、Allianz 及其他主要保險公司,承保先進的腫瘤治療。
  • 區域提供商:香港和中國大陸的保險公司,包括與深圳前海泰康醫院合作的保險公司。
  • 私人計劃:在國際醫療中心接受專科治療的保單。
若要確認承保範圍,請透過 AllCancer.com 的醫療辦公室提交您的保險細節,或透過 WhatsApp/WeChat 聯絡我們的帳單團隊。我們也提供彈性的付款方式,包括為符合資格的患者提供「先治癒,後付款」計畫,確保財務障礙不會妨礙患者接受改變生命的治療。