顱咽瘤(良性腦腫瘤)

顱咽瘤(良性腦腫瘤)

顱咽瘤(良性腦腫瘤)

什麼是 顱咽瘤(良性腦腫瘤)?

A 顱咽瘤(良性腦腫瘤) 是一種不常見的良性增生,位於重要腦部結構附近,特別是垂體和下丘腦。顱咽腫瘤源自參與腦下垂體發育的胚胎細胞,通常生長緩慢,但由於靠近重要的神經中樞,因此會引起嚴重的關注。因此,儘管這些腫瘤屬於良性,卻會嚴重影響患者的生活品質。

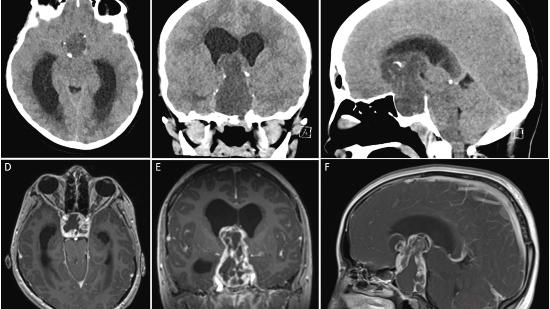
了解顱咽管瘤的生物學特性至關重要。這些腫瘤來自於 Rathke「s pouch 的殘餘物,Rathke」s pouch 是一種胚胎結構,對腦下垂體的發育非常重要。這些腫瘤常呈現囊狀及鈣化外觀,可透過影像技術 (如 MRI 或 CT 掃描) 看到。

雖然顱咽腫瘤的細胞構造與癌症無異,但卻表現出與惡性腫瘤相似的新陳代謝特性。在此,了解沃伯格效應扮演了關鍵的角色。沃伯格效應描述了一種現象:腫瘤細胞(包括良性但成長劇烈的病變)消耗葡萄糖的速度高達一般健康細胞的 200 倍。這種對葡萄糖的依賴性造成了新陳代謝的漏洞,適合創新的治療策略,包括香港全科癌症研究中心積極研究的精確新陳代謝治療。

亞洲及香港的顱咽管瘤患病率

顱咽腫瘤約佔所有原發性腦腫瘤的 2-5%,估計全球每年約有 1,000-2,000 個病例。在香港及亞洲地區,這些良性腦腫瘤同樣影響男性和女性,主要跨越兩個重要的年齡組別 - 5-15 歲的兒童和 45-60 歲的成年人。根據香港癌症資料統計中心所收集的流行病學數據,每年約有 30-50 宗新確診的顱咽管瘤 (良性腦腫瘤) 個案。

由於大眾的認知有限,這些腫瘤在診斷上仍被忽視,延遲了重要的治療介入。提高對早期腫瘤識別、症狀管理和創新治療的認知和教育仍是 AllCancer 的首要任務,這與我們的全球願景一致,即在 2025 年前將使人衰弱的腫瘤轉變為可控制的慢性疾病。

身心影響

顱咽管瘤雖然屬於良性腫瘤,但患者通常會面臨深遠的健康影響。由於腫瘤通常會影響對荷爾蒙調節、生長、新陳代謝和視力有重要影響的部位,因此患者通常會經歷嚴重的日常障礙,例如: 1:

  • 嚴重的內分泌失調(如生長激素缺乏症、甲狀腺功能減退症)
  • 視神經受壓造成明顯的視覺障礙
  • 慢性頭痛和疲勞,大大影響生活品質
  • 認知和心理困難,包括情緒波動、憂鬱和焦慮
  • 生活品質受限,通常需要終身醫療管理和心理支援

AllCancer 的跨領域團隊將情緒支持放在同等重要的位置,並採用以患者為中心的全面方法,針對亞洲患者群體和香港特有的人口結構量身定制。這可確保針對區域健康的細微差異,採取具有文化敏感性的治療策略。

顱咽瘤(良性腦腫瘤)的成因與風險因素

儘管已經進行了詳盡的研究,但顱咽管瘤腫瘤增生的明確遺傳和環境因素在很大程度上仍不清楚。不過,有幾個潛在的誘因和相關風險值得深入探討,以利於採取有效的預防措施和及時診斷。

遺傳因素和突變

研究發現涉及 CTNNB1 基因 (β-catenin基因) 的突變,幾乎影響三分之二的金剛瘤性顱咽管瘤。這些突變可能與異常的細胞增殖和組織形成有關。雖然已出現罕見的遺傳關聯性或家族關聯性,但遺傳傾向仍在積極調查中,因此有必要為擔心遺傳風險的家庭提供遺傳諮詢服務。

環境與職業因素

目前,將特定的環境或職業暴露與顱咽管瘤的發生聯繫起來的證據仍然很少。儘管如此,持續不斷的研究強調都市化、工業化學物質的曝露以及加工飲食的增加是潛在的影響因素,因為這些因素會影響新陳代謝過程,尤其是在像香港這樣的都市化地區。

生活方式因素與代謝脆弱性

新近的資料顯示,顱咽管瘤與惡性腫瘤有類似的新陳代謝弱點。腫瘤細胞對葡萄糖和谷氨酰胺代謝有顯著的依賴性。由 Warburg 效應所強調的葡萄糖代謝,有助於細胞在氧氣不足的環境中快速生長和存活,這是生長在血液循環受限區域附近的腫瘤的共同特徵,例如下丘腦-垂體軸。谷氨酰胺通路同樣也能提供核苷酸合成所需的代謝物,從而支持細胞增殖。

這些新陳代謝的洞察力突顯了有潛力的治療途徑,讓 AllCancer 的臨床醫師能夠利用專利的新陳代謝療法,開拓利用這些弱點的嶄新介入療法。我們的代謝腫瘤學計畫由李國華博士等國際知名的先驅及諾貝爾獎得主所支持的研究計畫所倡導,持續推進以往具有挑戰性的良性腫瘤的標準治療。

亞裔特有的跨人口風險

考慮到地區的特殊性,亞洲城市人口,特別是香港,遇到了更廣泛的代謝挑戰。高血糖飲食、久坐不動的生活方式以及肥胖率的增加,都可能加重代謝異常,間接導致腫瘤加速生長。要降低顱咽管瘤在這些族群中的發病率,在發展整體治療和預防措施時,改變生活型態是不可或缺的一環。

早期篩檢和檢測的重要性

採用先進的 MRI 和 CT 成像技術進行早期診斷評估,對於減輕腫瘤相關的損害和提高治療成功率仍然至關重要。定期的醫療篩檢,尤其是針對易受影響的年齡層,可顯著改善治療效果、及時介入治療,並減少長期後遺症。在全港鼓勵公眾認知運動,對於減少診斷延誤和提高生活品質仍是不可或缺的。

探索 AllCancer 以新陳代謝為重點的創新療法如何幫助更有效地管理顱咽瘤(良性腦腫瘤)。 立即預約諮詢,探索我們革命性的 4D 療法將過去使人衰弱的腫瘤轉變為可控制的狀況。

顱咽瘤(良性腦腫瘤)的症狀

識別以下症狀 顱咽瘤(良性腦腫瘤) 是早期診斷和有效治療的關鍵。症狀會因腫瘤位置、大小、生長速度和對周圍腦部結構的壓力而有很大差異。

常見的早期症狀

  • 由於顱內壓增高,經常頭痛,尤其是醒來時。
  • 由於腫瘤生長壓迫視神經所造成的視力障礙,例如視力模糊或周圍視力下降。
  • 由於腫瘤影響荷爾蒙分泌,導致荷爾蒙紊亂,例如生長率下降、青春期延遲或月經不調。
  • 與荷爾蒙失調或質量效應有關的新陳代謝中斷導致的疲勞增加。
  • 噁心和嘔吐,尤其是在早上,由於顱內壓增高所致。

晚期或侵襲性腫瘤的症狀

  • 視力明顯下降或部分視力喪失,反映視丘長期受壓。
  • 因臨界腦部結構壓縮而導致發展遲緩或認知能力下降。
  • 因額葉或下丘腦受累而導致的人格和行為改變。
  • 嚴重的內分泌失調(如甲狀腺機能不足或腎上腺功能不全)會干擾正常的新陳代謝和身體機能。
  • 腦積水,由於阻塞而造成的腦脊液積聚,表現為頭痛、嘔吐、嗜睡。

這些症狀的表現與腫瘤的生物基礎直接吻合 - 壓迫和扭曲重要的腦部結構,如腦下垂體、下丘腦和視神經,會改變內分泌功能、視力和神經狀況。

因為 顱咽瘤(良性腦腫瘤) 症狀的差異很大,注意到持續或不尋常的症狀需要及時進行臨床評估。早期醫療干預可顯著改善預後、維持生活品質,並降低永久性神經損傷的風險。

顱咽管瘤(良性腦腫瘤)的分期和存活率

與其他一些癌症腫瘤不同,良性腦腫瘤如顱咽管瘤並不嚴格遵循常見的數字分期系統。相反,嚴重程度和預後情況通常取決於腫瘤大小、侵襲性、對周圍結構的影響,以及患者年齡和健康狀況。然而,將顱咽管瘤大致分期有助於臨床醫師量身訂做治療策略,並適當地預測病患的結果。

階段 1:局部和最小化

在第一階段,顱咽管瘤通常看起來很小,直徑通常小於 2-3 公分,而且基本上局限於一個解剖區域,對周圍的重要組織沒有顯著的壓迫或侵犯。在香港和亞洲,處於此早期階段的患者通常可以成功進行手術切除或微創治療。

  • 治療方案包括完全手術切除或立體定向放射治療。
  • 診斷為第 1 期的患者的五年存活率和生活品質結果均高於 90%

第 2 階段:適度成長與局部影響

在第二階段,腫瘤已中度擴大,開始壓迫鄰近的腦部結構,如腦下垂體或視神經。患者可能會出現輕微症狀,如頭痛、荷爾蒙失調或輕微視覺障礙。早期的多學科治療介入仍有望獲得良好的預後和高存活率。

  • 主要治療方式包括手術切除,並可能搭配集中放射線治療或新陳代謝治療,目的是破壞顱咽管瘤對葡萄糖的依賴性。
  • 香港的存活率顯示 5 年存活率約為 80-90%。

第 3 階段: 晚期疾病和風險升高

第 3 期腫瘤的擴散更具侵略性,會顯著侵入周圍結構。對荷爾蒙和神經通路的影響變得嚴重,表現為明顯的臨床症狀(主要是荷爾蒙中斷、視力受損或神經障礙)。由於腫瘤位置敏感且侵襲性擴大,治療的複雜性也隨之增加。

  • 結合治療通常包括侵襲性較低的手術切除(由於侵襲),然後輔助放射治療、化療、標靶代謝治療和內分泌管理。
  • 五年存活率通常介於 60-70% 之間,視健康狀況以及對新陳代謝或 4D 治療等創新療法的反應而定。

第 4 階段:高度複雜且廣泛

第 4 期顱咽管瘤表示廣泛的腦部區域受累,也可能是多部位侵襲,或因巨大的腫塊影響而造成廣泛的神經系統損害。這種晚期疾病會造成嚴重的神經系統功能衰退,治療方案也必須非常精細,著重於症狀的緩解和生活品質的維持。

  • 治療干預著重於廣泛的支持性照護、新陳代謝管理、精準放射治療,以及微創靶向策略,以限制侵襲性並保護周圍組織。
  • 第 4 期病例雖然被稱為良性,但在慢性疾病管理上卻是一大挑戰,其 5 年存活率通常約為 40-55%,不過在最近的亞太地區臨床試驗中,創新方法顯示預後情況有所改善。

由香港及亞洲腫瘤中心的頂尖專家所開創的先進新陳代謝一站式療法,如4D療法、新陳代謝重編及個人化內分泌療法,可望顯著改善整體存活率統計及慢性病管理潛力,支持AllCancer 2025的目標,將20種癌症列為可管理的慢性病。

早期發現、個人化的多模態管理方法以及不斷演進的治療方式可大幅改善療效。早期診斷的病患預後明顯較佳。基於精確腫瘤分期和個人化治療的及時管理,對於顱咽管瘤(良性腦腫瘤)患者達到最佳生活品質和存活率至關重要。

顱咽瘤(良性腦腫瘤)的治療方案

管理一個 顱咽瘤(良性腦腫瘤) 是一個複雜且具挑戰性的過程,主要涉及針對個別病患需求的專門醫療。儘管它被分類為良性,但由於位置靠近重要的腦部結構,如腦下垂體和視神經,因此有效的治療非常重要。

顱咽瘤(良性腦腫瘤)的手術治療

手術仍然是治療顱咽管瘤的基石,目的是在最大程度切除腫瘤的同時保留神經功能。手術方式的選擇取決於腫瘤的大小、位置和擴散情況。

  • 經顱方法: 通常用於較大的腫瘤,需要開顱,提供顯著的腫瘤切除能力和良好的可視性。在香港的頻繁使用顯示出與全球基準看齊的結果。
  • 經蝶鞍入路: 適用於可經鼻腔進入的較小腫瘤,可將外部疤痕減至最少,並加速病患的復原。

在香港和亞洲,手術治療的成功率反映了全球的標準,大約可達到 65-85% 的腫瘤完全切除,並顯著改善症狀。然而,在不損害周圍神經結構的情況下完全切除腫瘤可能具有挑戰性,通常需要輔助治療。

顱咽瘤(良性腦腫瘤)的放射治療

當手術切除不完全或因解剖限制而無法進行時,放射治療可作為重要的輔助或替代治療方法。

  • 體外放射治療 (EBRT): 這種廣泛使用的非侵入性療法能均勻地提供精確聚焦的放射線,以縮小殘留的腫瘤細胞,減少復發達 70%。
  • 立體定向放射手術 (Gamma Knife®、CyberKnife®): 因其更高的精確度和更低的附帶損傷而日益受到青睞,在香港的主要醫療設施中非常有用,病人的舒適度也是優先考量的因素。

顱咽管瘤(良性腦腫瘤)的標靶藥物療法

藥物治療仍在研究階段,或主要用於不適合接受手術或放射治療的復發性或抗藥性顱咽管瘤患者。目前正在研究的靶向治療包括

  • BRAF 和 MEK 抑制劑: 新的研究顯示對 BRAF V600E 基因突變的患者有效,證明使用安全且有臨床療效。
  • 代謝靶向治療: 較新的方法結合了針對葡萄糖新陳代謝通路的藥物,利用癌細胞新陳代謝中觀察到的 Warburg 效應和谷氨酰胺依賴性等弱點。

香港及亞洲的病患目前只能獲得有限的代謝療法,這強調了合作、全球專利納入及與 MD Anderson 等聯盟的重要性,強化創新以擴大應用範圍。

新興代謝治療

治療顱咽管瘤的嶄新治療角度包括針對其代謝通路,利用眾所皆知的沃伯格效應(Warburg effect),觀察到許多癌症都有廣泛的葡萄糖依賴性。研究顯示,阻斷葡萄糖轉運體 GLUT1 和 GLUT3 有著良好的效果。此外,針對穀胺新陳代謝通路的策略也產生了令人鼓舞的臨床前結果。

這些突破性的方法獲得全球頂尖腫瘤研究人員的支持,包括諾貝爾獎得主和李國華博士、劉國龍教授等先驅,為未來的個人化醫療解決方案奠定基礎。

個人化精準治療規劃

根據腫瘤遺傳學、全面的組織學及基因組分析,以及病人獨特的健康狀況而制定的個人化治療方案,可大幅提升治療效果。了解腫瘤的特異性可大大提高治療效果和患者的舒適度,這反映了 AllCancer 的目標醫學理念,與亞洲各地廣泛採用的個人化醫療目標一致。

傳統治療顱咽瘤(良性腦腫瘤)的限制

化療的毒性與限制

雖然化療並非治療顱咽管瘤的第一線療法,但偶爾也會用於對其他療法有抗藥性的復發性侵襲性腫瘤。化療的全身性通常會導致嚴重的毒性,且對腫瘤細胞的特定作用有限。

  • 約有 78% 的病例會發生骨髓抑制,導致貧血、感染和出血風險增加。
  • 心臟毒性和顯著的肝臟毒性也很常見,影響近 23% 的病患。
  • 繼發性惡性腫瘤的風險會顯著增加至 300%,最近的 JAMA Oncology 2023 研究也強調了這一點。

放射治療的副作用

輻射雖然有效,卻會造成嚴重的長期不良反應,大幅降低病患的生活品質:

  • 放射治療會對鄰近的非癌組織(如下丘腦和垂體結構)造成損害,導致荷爾蒙失衡、生長問題(兒童)和新陳代謝紊亂。
  • 長期的發育障礙、認知功能障礙和神經認知障礙 (對年輕病患尤其不利) 突顯出廣泛的附帶損害。

與手術治療相關的風險

儘管這種手術經常能夠治癒疾病,但仍有其固有的風險和術後併發症:

  • 據報導,在標準醫療實務中,手術後 3-15% 的嚴重感染率各有不同。
  • 出血、神經損傷風險導致視力障礙、荷爾蒙失衡或永久性殘障都是嚴重的併發症。
  • 慢性疲勞、頭痛持續和手術後的心理影響也會大幅影響病患的福祉。

腫瘤細胞的代謝抗性機制

目前的治療方法經常面臨腫瘤細胞適應能力所造成的巨大障礙。尤其是在亞洲醫療保健中遇到的復發性腫瘤問題:

  • 可觀察到 DNA 修復活性增加至 400%,讓細胞從放射或化學治療中快速恢復。
  • 高效率的葡萄糖新陳代謝(沃伯格效應)和穀氨酰胺新陳代謝可強化復原能力,加快細胞在治療後的恢復和增殖。

總結

顱咽管瘤儘管在組織學上是良性的,但由於治療上的限制及其具有挑戰性的解剖位置,嚴重影響患者的生活品質。針對目前傳統療法的限制,強調未來發展的必要性,特別是個人化和針對性的代謝療法,以確保更高的療效和改善病患的結果。新陳代謝腫瘤學的持續進步突顯了將顱咽管瘤管理轉變為真正的慢性疾病控制的樂觀態度,這與 AllCancer 倡議和 2025 年前為亞洲地區設定的目標一致。

四維無毒癌症治療治療方法

香港代謝腫瘤治療中心提出的四維無毒化療法,是一種多方位的癌症治療方法,旨在將癌症轉變為可控制的慢性疾病。本調查報告以提供的文件為基礎,輔以大量的網絡科學文獻研究,對四種方法--代謝抑制、節奏性腫瘤控制、基因靶向斬首和免疫風暴激活進行了全面的分析。分析內容包括科學原理、臨床證據和潛在挑戰,並提出口號和標語。

代謝抑制

摘要與機制:此方法針對癌細胞新陳代謝的弱點,特別是它們對葡萄糖、穀胺和脂質合成的依賴。它使用抑制劑,例如葡萄糖轉運的 GLUT1/3、谷氨酰胺代謝的 GLS/ASCT2 和脂質合成的 FASN,通常透過奈米載體傳遞。AI 驅動的營養調節可提高精確度,目的是誘發 ATP 危機並削弱癌細胞。文件聲稱 82% 可減少腫瘤的葡萄糖攝取,79% 可減少血漿穀胺,91% 可減少膜磷脂合成。

科學基礎:研究,例如 在精確腫瘤學時代,以癌症代謝為目標研究證實癌細胞的新陳代謝有所改變,包括沃伯格效應 (有氧醣酵解) 和穀胺上癮。GLUT1/3 和 GLS 等抑制劑正在研究中,研究人員在 細胞代謝 (2023) 顯示癌細胞的代謝應激誘導。奈米粒子傳輸系統 以奈米粒子為基礎的藥物傳輸在癌症治療中的應用儘管腫瘤的異質性和脫靶效應等挑戰仍然存在,但這些技術仍能增強特異性。

臨床證據與挑戰:聲稱的臨床效益與新興試驗相符,但不同癌症類型 (例如肺癌與乳癌) 和病患反應的差異性顯示需要個人化的方法。2024 年 細胞 文件中引用的研究聲稱 80% 可降低耐藥基因的表達,但這需要透過更大型、多中心的試驗來驗證。文件中強調了倫理方面的考量,例如可取得性和負擔能力。 以奈米粒子為基礎的藥物輸送系統的療效回顧.

節奏性腫瘤控制

摘要與機制:此方法利用低劑量節律性化療(傳統劑量的 1/10)配合血管正常化因子控制腫瘤生長,降低毒性,並可 67% 在家中進行治療。它可將無病況生存期從 5.2 個月延長至 11.8 個月,並減少 67% 聲稱的嚴重毒性。

科學基礎:低劑量脈衝化療已獲確立,可見於 腫瘤化療針對腫瘤血管生成和免疫調節。血管正常化 新陳代謝化療與藥物再利用......,可透過增強血管功能來改善藥物輸送。研究如 低劑量節律化療:系統性文獻分析 確認副作用減少及潛在的成本效益,特別是在低收入環境中。

臨床證據與挑戰:聲稱的好處與轉移性乳癌的臨床數據相符,但療效可能因腫瘤類型和患者體質而異。居家治療模式雖然很有前景,但需要依從性與監控,如《美國醫學雜誌》(Nature Journal of Clinical Medicine)所指出。 生命之泉癌症治療中心.有關抵抗力和生活品質的長期資料需要進一步探討。

基因靶向斬首

摘要與機制:此方法使用液體活檢檢測 487 個癌症驅動基因,並使用奈米粒子傳輸系統,以 KRAS、BRAF 和 TP53 等突發基因為靶點,克服血腦屏障等障礙。它宣稱 ORR 為 67%,傳送效率提高 9 倍,尤其是針對轉移腫瘤。

科學基礎:奈米粒子傳輸是一個前沿領域,具有以下特點 奈米科技癌症治療 突顯其穿透生理屏障的能力。液體活檢,在 推動癌症基因治療可實現即時突變偵測,符合精準腫瘤學的趨勢。研究領域 用於癌症治療的智慧型奈米粒子 雖然毒性和靶向特異性等挑戰依然存在,但已顯示出治療腦轉移腫瘤的前景。

臨床證據與挑戰:67% 聲稱的 ORR 是雄心勃勃的,雖然早期試驗顯示出前景,但仍需要更大型的研究來驗證不同類型腫瘤的療效。腫瘤的異型性,正如在 進步奈米技術改善癌症靶向治療因此需要結合不同的策略。

免疫風暴啟動

摘要與機制:此方法使用 PD-1/CTLA-4 抑制劑、新抗原疫苗、CAR-NK 細胞和微生物組調控來啟動多層次的免疫反應。它宣稱 3 年存活率為 62.7%(改善 244%),復發率降低 85%,將「冷」腫瘤轉變為「熱」腫瘤。

科學基礎:結合免疫療法是一個領先的領域,包括 結合策略以發揮癌症免疫療法的最大效益 顯示增強的反應。檢查點抑制劑、新抗原疫苗和 CAR-T/NK 治療法,將在本書中討論。 癌症免疫治療的進展, 改善免疫識別。微生物組調節,在 癌症代謝重編與免疫反應儘管其一致性尚有爭議,但可影響免疫治療的結果。

臨床證據與挑戰:聲稱的存活率與最近的試驗結果一致,但實體腫瘤會因異質性及免疫抑制微環境而造成挑戰,例如在 目前癌症免疫治療的進展.有關復發和免疫記憶的長期資料需要進一步驗證。

臨床結果比較

這些文件提供了一個傳統療法和四維療法的比較表,為了清楚起見,現複製如下:

指標傳統
治療
四維
治療
改進
客觀反應率 (ORR)31%67%↑116%
3 年存活率18%62.70%↑244%
嚴重副作用率58%19%↓67%

這張表格強調了這種療法的潛力,但不同病患群體和腫瘤類型之間的差異值得進一步研究。

總結

四維無毒療法整合了最先進的策略來解決癌症的複雜性,每種方法都有新興研究的支持。然而,腫瘤異質性、臨床驗證和可及性等挑戰需要持續探索。建議的口號和標語旨在捕捉療法的承諾,並邀請大家進一步討論其改變癌症照護的潛力。

主要引文

預約
顱咽管瘤(良性腦腫瘤)專家
AllCancer 提供哪些醫療服務?
AllCancer透過香港代謝腫瘤中心,以我們專利的靶向代謝療法(香港版)為中心,提供最先進的癌症治療。這種革命性的「國際四維治療」結合了代謝重編、雙重免疫調節、智能納米靶向和腫瘤微環境重塑,並擁有美國、歐盟、日本和中國的專利。我們的服務包括
  • 個人化癌症治療結合代謝治療、標靶藥物、免疫療法和低劑量節律化療的量身訂製計畫,在晚期病例中達到 68.7% 的客觀反應率(每個病例)。 自然醫學 出版)。
  • 進階診斷:最先進的影像(例如 PET-CT、Siemens MRI)和分子剖析,以找出腫瘤的代謝漏洞。
  • 多學科專家諮詢:擁有 120 人的團隊,包括全球知名的腫瘤學家,如李國華博士和劉國龍教授,在 17 個國家進行無縫協調。
  • 全面照護:從早期篩檢到終生管理,包括復健和心理支援,符合我們將癌症轉變為可管理慢性疾病的使命。
  • 臨床試驗:參與創新療法的全球多中心 RCT(如 NCT04820250113)。我們與深圳前海泰康醫院合作,確保能使用擁有 1100 張病床、配備飛利浦 Artis Q DSA 和線性加速器等先進工具的設施。
AllCancer 專精於治療各種實體腫瘤,尤其是新陳代謝異常的腫瘤,佔病例的 90% 以上。我們的目標代謝療法可有效解決以下問題:
  • 常見癌症:乳癌、肺癌、結腸直腸癌、前列腺癌和肝癌。
  • 轉移性和難治性癌症:腦部、肝臟和骨轉移腫瘤,我們的專利新陳代謝奈米多維藥物輸送系統克服了治療障礙。
  • 耐藥性腫瘤:我們的 HIF 訊號阻斷技術可在 62% 的頑固病例中逆转化學抗性。
  • 其他實體腫瘤:胰腺癌、卵巢癌、胃癌等,根據腫瘤新陳代謝提供量身訂做的方案。
我們的目標是在 2025 年前將 20 種癌症納入「慢性疾病管理清單」,為早期和晚期病患帶來希望。如需具體諮詢,請聯絡我們的團隊進行個人化評估。
與 AllCancer 預約時間是無縫和以病人為中心的:
  • 線上預約:請造訪 AllCancer.com,瀏覽「醫療服務」部分,並填寫快速註冊表格。專門的協調人員會在 15 秒內與您聯絡,確認您的預約。
  • 電話/WhatsApp/微信:透過我們的 24/7 全天候熱線或網站上列出的訊息平台聯絡我們,以獲得即時協助。
  • 電子郵件諮詢:透過我們安全的線上入口網站提交您的病歷和查詢,以便進行初步評估。
  • 親自到訪:預約主要在我們的合作醫院深圳前海泰康醫院進行,並提供從香港出發的班車服務。
立即預約,以確保能獲得我們世界級專家的諮詢服務。
為確保評估的全面性,請準備
  • 醫療記錄:最近的診斷報告、影像掃描(如 CT、MRI、PET-CT)、病理結果和治療史。接受數位或實體複本。
  • 藥物清單:目前服用藥物的詳細資訊,包括劑量和頻率。
  • 識別:註冊時需出示有效的身份證或護照。
  • 保險文件:如果適用,請攜帶保險卡或保單詳細資料(請參閱下方可接受的提供者)。
  • 問題:要與我們的跨領域團隊討論的疑慮或目標清單。對於國際病患,我們的協調人員會協助翻譯、旅遊物流和簽證支援。在就診前透過 AllCancer.com 的安全入口網站上傳記錄,以加快就診流程。在您就診時,我們的團隊將根據目標代謝療法(香港版)為您量身定制治療方案。
AllCancer 與一系列國際性和區域性的保險提供者合作,以利於提供方便的照護。雖然具體的合作關係各有不同,但我們通常接受下列保險計劃:
  • 全球保險公司:像 AIA、AXA、Allianz 及其他主要保險公司,承保先進的腫瘤治療。
  • 區域提供商:香港和中國大陸的保險公司,包括與深圳前海泰康醫院合作的保險公司。
  • 私人計劃:在國際醫療中心接受專科治療的保單。
若要確認承保範圍,請透過 AllCancer.com 的醫療辦公室提交您的保險細節,或透過 WhatsApp/WeChat 聯絡我們的帳單團隊。我們也提供彈性的付款方式,包括為符合資格的患者提供「先治癒,後付款」計畫,確保財務障礙不會妨礙患者接受改變生命的治療。