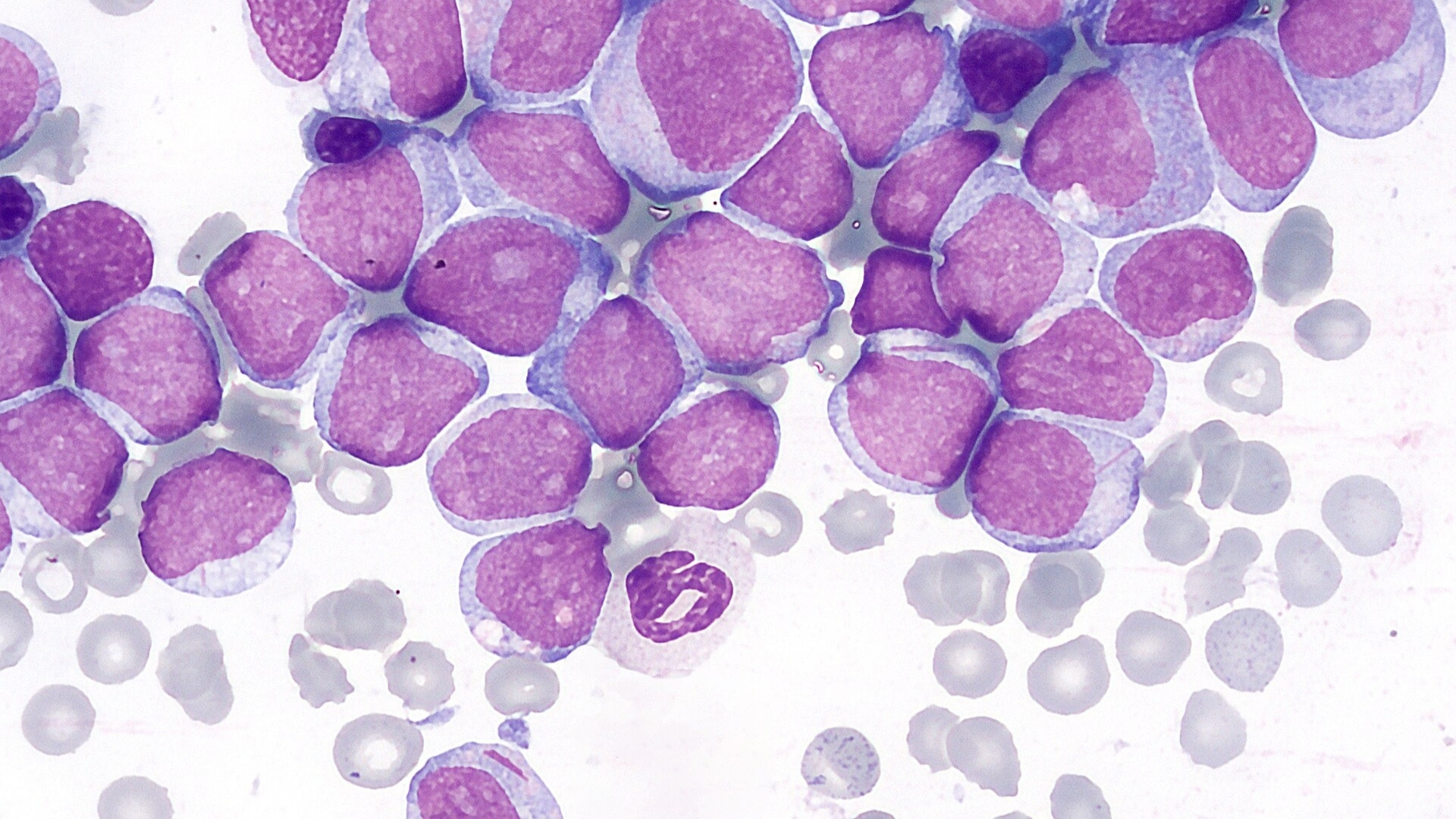
Acute Myeloid Leukemia (AML)

Acute Myeloid Leukemia (AML)

What is Acute Myeloid Leukemia (AML)?

Acute Myeloid Leukemia (AML) is a rapidly progressing cancer of the blood and bone marrow characterized by an excessive growth of immature myeloid cells. These abnormal cells disrupt the normal production of healthy blood cells. Emerging treatments and deeper understanding of AML biology are essential, especially considering its aggressive nature and the significant emotional and physical burden on patients and their families.

Biologically, Acute Myeloid Leukemia (AML) involves the mutation of myeloid progenitor cells, which are essential for producing mature red blood cells, white blood cells, and platelets. The rapid, uncontrolled proliferation of leukemia cells overtakes the normal hematopoietic process, leading to severe complications such as anemia, infection vulnerability, and hemorrhagic events.

The Warburg Effect and AML Metabolism

Cancer cells, including Acute Myeloid Leukemia (AML) cells, display a peculiar metabolic adaptation known as the Warburg Effect. This phenomenon describes cancer cells’ excessive glycolysis rates, consuming glucose at about 200 times the normal cell rate, even in the presence of oxygen. This metabolic vulnerability has opened new therapeutic windows in oncology, such as AllCancer’s groundbreaking Metabolic Therapy, featured in our renowned 4D Therapy.

  • Higher glycolytic activity ensures rapid growth and proliferation of Acute Myeloid Leukemia (AML) cells.
  • Targeted metabolic therapies exploit this glucose dependency, creating selective toxicity toward cancer cells.

At AllCancer, inspired by Nobel Prize-winning researchers such as Dr. James P. Allison and Dr. Gregg L. Semenza, our metabolic oncology team led by pioneering experts such as Dr. Li Guohua has successfully integrated metabolic targeting into AML treatment protocols.

Prevalence and Regional Impact in Hong Kong and Asia

Acute Myeloid Leukemia (AML) affects over 150,000 individuals globally each year, according to WHO data from 2024. In Hong Kong, AML forms a significant portion of adult hematologic malignancies, with local incidence data pointing out that about 25–30% of leukemia cases diagnosed annually are AML cases.

Within Asian populations, distinct epidemiological patterns have emerged, highlighting both genetic susceptibility and environmental influences. Studies indicate a rise in AML cases among older adults, specifically individuals aged above 60, signaling an urgent need for enhanced diagnostic strategies, comprehensive patient education, and sustainable preventive policies.

Moreover, unique genetic mutations and risk profiles prevalent in the Asian populations stress the necessity of personalized approaches. For example, genetic markers like FLT3-ITD and NPM1 mutations have been observed across Hong Kong AML clinics, driving specialized screening programs and personalized therapy at leading centers such as AllCancer.

Physical and Emotional Impact on Patients

The impact of Acute Myeloid Leukemia (AML) extends beyond physiological challenges. Patients often experience overwhelming emotional and psychological burdens such as anxiety, uncertainty, fear of recurrence, and significant disruptions to daily living standards:

  • Physical: Severe fatigue, unexplained weight loss, recurrent infections due to compromised immunity, frequent bruising, and abnormal bleeding.
  • Emotional: Feelings of isolation, depression, anxiety around treatment outcomes, and concerns regarding lifestyle alterations.

Our holistic support services include dedicated psychological counseling, patient advocacy groups, and integrated home-based treatments, reinforcing our compassionate approach represented by our “Cure First, Pay Later” policy.

Understanding the Staging and Diagnosis of AML

AML diagnosis primarily includes peripheral blood analysis, bone marrow biopsies, genetic testing, and imaging techniques. The staging process considers numerous factors, including cell differentiation degree, chromosomal abnormalities, and patient’s overall health status. Early detection and accurate staging significantly improve treatment outcomes and patient prognosis.

Causes and Risk Factors of Acute Myeloid Leukemia (AML)

Genetic Factors Influencing AML

Understanding genetic predispositions plays a pivotal role in Acute Myeloid Leukemia (AML) management. Genetic factors influencing leukemia development include inherited syndromes like Fanconi anemia and Down syndrome, associated with higher AML risk. Mutations in genes such as FLT3, NPM1, and CEBPA are frequently involved in AML pathogenesis, varying across patient profiles influencing prognosis and therapeutic response.

  • NPM1 mutation indicates a favorable prognosis.
  • FLT3 internal tandem duplication (FLT3-ITD) associates with an aggressive disease course and has become a therapeutic target.

Research led by Prof. Liu Guolong has notably influenced AML diagnosis and treatment strategies across Asia, highlighting genetic screening’s crucial role in developing personalized therapies tailored to genetic profiles commonly identified in Hong Kong clinics.

Environmental and Lifestyle Risk Factors

Environmental exposures significantly contribute to Acute Myeloid Leukemia (AML) development. Major causative agents include:

  • Exposure to radiation and chemotherapy for prior cancer treatment, notably alkylating agents and radiation therapy.
  • Benzene exposure, documented industrial chemical exposure associated closely with AML cases.
  • Long-term smoking habits associated with carcinogenic compounds increasing leukemia incidence.

Lifestyle factors like obesity and prolonged alcohol usage introduce metabolic stress impacting immune responses and possibly promoting leukemic cell formation. Emphasizing preventive lifestyle adjustments like maintaining healthy weight and quitting smoking can minimize AML risk significantly.

Metabolic Vulnerabilities and Therapeutic Innovations

AML cells exhibit dependence upon metabolic pathways, primarily glucose and glutamine, to sustain rapid cell proliferation. AllCancer’s revolutionary 4D Metabolic Therapy directly exploits these dependencies, disrupting key enzymatic reactions essential for AML cells and sparing healthy tissues. Nobel laureates like Dr. Gregg Semenza have highlighted key insights into cancer metabolism, which our treatments incorporate comprehensively, aligning with FDA and EMA standards and associated with patents registered globally in the US, Europe, Japan, and China.

For personalized evaluation and exploration of AllCancer’s cutting-edge 4D Metabolic Therapy for AML, we invite you to book a consultation today. Our “Cure First, Pay Later” policy emphasizes our commitment to your care, enhancing clinical outcomes and patient trust.

Symptoms of Acute Myeloid Leukemia (AML)

Recognizing the symptoms of Acute Myeloid Leukemia (AML) early significantly increases your chances for successful management and treatment outcomes. AML symptoms stem from malfunctioning leukemic cells proliferating uncontrollably in the bone marrow, leading to impaired normal blood cell production. Understanding these distinct signs can profoundly impact diagnosis, prognosis, and treatment choices.

Common Symptoms of Acute Myeloid Leukemia (AML)

The symptoms of Acute Myeloid Leukemia may initially be vague and resemble common infections, making them hard to recognize immediately. Common signs and symptoms include:

  • Fatigue and weakness due to anemia from inadequate production of normal red blood cells.
  • Frequent and persistent infections as leukemic leukocytes disrupt normal immune defense.
  • Fever, chills, or flu-like symptoms lasting longer than usual infections.
  • Unexpected weight loss characterized by substantial weight loss unrelated to diet or exercise.
  • Easy bruising or spontaneous bleeding due to low platelet counts.
  • Paleness or pallor noticeable particularly in the nails, gums, or complexion.
  • Shortness of breath, exacerbated by mild physical activity.
  • Joint pain, bone pain or tenderness secondary to expansion of leukemic cells in the marrow.
  • Night sweats and unusual sensations of heat, even when resting.
  • Swollen lymph nodes in the neck, underarms, and groin area.

Stage-specific Symptoms of AML

Symptoms can differ based on AML stages and disease progression:

  • Early-stage AML: Primarily fatigue, frequent infections, mild fever, or bruising easily. These symptoms are subtle and often confused with less severe conditions.
  • Advanced AML: Includes severe anemia causing profound weakness, marked decrease in immunity, severe infections, persistent high fevers, thrombocytopenia with severe bleeding issues, and weight loss concerns.
  • Late-stage AML: Significant weight and muscle mass loss, respiratory distress, pronounced bleeding episodes, enlarged spleen or liver, and complications of rapid cancerous cell burden including metabolic imbalances.

These clinical manifestations reflect fundamental biological disruptions in bone marrow normal cellular functions, heavily influenced by cancer cell reliance on abnormal glucose metabolism (Warburg effect). Timely identification and intervention remain critical and can dramatically affect prognosis outcomes.

Importance of Early Diagnosis in AML

Early diagnosis dramatically improves Acute Myeloid Leukemia (AML) treatment outcomes. If you or a family member notice persistent, unexplained signs or symptoms of leukemia, promptly consult a healthcare provider. At our AllCancer Clinic, early diagnostics facilitate access to innovative treatments, such as metabolic-targeted therapies and precise personalized medical interventions.

Stages of Acute Myeloid Leukemia (AML) and Survival Rates

Understanding Acute Myeloid Leukemia (AML) staging and corresponding survival rates provides clarity and reassurance, empowering patients and families to make informed decisions. Let’s explore AML stages with specific data on Hong Kong and Asia to deliver precision-informed guidance reflective of regional narratives.

Stage 1: Early-stage AML Characteristics and Prognosis

Stage 1 Acute Myeloid Leukemia is characterized by initial malignant transformations predominantly confined to bone marrow and peripheral blood:

  • Blast cell percentage may be mildly elevated but not extensively infiltrative.
  • Symptoms tend to be subtle and non-specific, attributable to minor cellular disruption.
  • Treatment responses are typically higher with favorable prognostic molecular factors.

Survival rates for patients diagnosed and treated in early stages in Hong Kong and Asia typically exceed the global average due to advancements in technology, prompt diagnosis through extensive regional health campaigns, and effective utilization of precision therapies. Five-year survival rates in early-stage AML hover around 50-70%, influenced by effective multidisciplinary treatment protocols.

Stage 2: Intermediate AML Progression and Treatment Options

Intermediate AML progression stage represents greater disease burden and potential spread to peripheral environments:

  • Observed increase in circulating blast cells and elevated abnormal cell counts in bone marrow.
  • Clinical impact reflecting reduced platelet production and compromised immunity.
  • Intensive chemotherapy, targeted metabolic treatments, and biological therapies are central to management strategies.

Survival outcomes for stage 2 AML average between 40-60% at the 5-year mark, though precision metabolic therapies are increasingly enhancing these figures.

Stage 3: Advanced Disease with Extensive Marrow Involvement

Stage 3 is characterized predominantly by extensive bone marrow substitution, marked diminution of healthy cells, and early system-wide impacts:

  • Severe anemia typically becomes prominently symptomatic, impairing patient wellness.
  • Multimodal treatments—including chemotherapy, bone marrow transplantation, immunotherapies, and metabolic interventions—become indispensable.
  • Comprehensive care through precision personalized planning, frequent monitoring contribute to improving survival rates that currently range between 30-50% over five years.

Stage 4: Metastatic AML—Challenges, Innovations, and Survival Outlook

Stage 4 AML consists of extensive metastatic conditions and systemic involvement with severe clinical symptoms:

  • Significant and widespread infiltration of leukemic cells throughout various organs (skin, liver, central nervous system).
  • Complex systemic manifestations including bleeding disorders, infections, organ impairment, and notably challenging hematological issues.
  • Systemic therapy with advanced supportive care measures integrating novel 4D targeted metabolic therapies provide innovative treatment alternatives.
  • Survival rates historically stay around 10-30%, although improvements incorporating innovative technologies hold promise for elevating patient outcomes to chronic disease management status.

Embracing advanced therapeutic innovations and treatments ensures prospects for significantly improved outcomes at AllCancer clinics, promoting a potentially chronic approach to stage 4 AML care management.

Treatment Options for Acute Myeloid Leukemia (AML)

The choice of treatment for Acute Myeloid Leukemia (AML) is determined based on patient age, health status, genetic mutations, and clinical characteristics of the leukemia. AML is typically aggressive, and personalized treatment strategies are critical for improving outcomes and quality of life.

Standard Chemotherapy Treatments

Chemotherapy remains the cornerstone of Acute Myeloid Leukemia (AML) treatment strategies and usually involves induction followed by consolidation chemotherapy.

  • Induction Therapy: Often uses Cytarabine (Ara-C) combined with daunorubicin or idarubicin, known as the standard “7+3 protocol”. This aims to achieve complete remission by rapidly reducing leukemia cells.
  • Consolidation Therapy: High doses of chemotherapy, frequently high-dose cytarabine (HiDAC), aim to eliminate remaining leukemia cells and prevent relapse.

Radiation Therapy Considerations

Radiation therapy typically isn’t a primary treatment modality for AML but is employed when AML cells spread to specific locations such as the brain or spine, resulting in neurological symptoms. It may also be used prior to hematopoietic stem cell transplantation (HSCT).

Advanced Treatment Options: Stem Cell Transplantation

Hematopoietic stem cell transplantation (HSCT) provides potential curative therapy, specifically helpful after chemotherapy remission for high-risk AML cases.

  • Allogeneic Transplantation: Stem cells from a matched donor significantly reduce relapse risks by generating a graft-versus-leukemia effect, but carries complications like graft-versus-host disease (GVHD).
  • Autologous Transplantation: Employs the patient’s stem cells harvested during remission. It’s less commonly indicated in AML due to higher relapse risk but considered if matched donor options aren’t available.

Targeted Therapy Innovations

Targeted therapies have revolutionized cancer treatment, particularly in AML, by precisely attacking leukemia cells and sparing surrounding healthy tissue. Their selection largely depends on specific genetic mutations.

  • FLT3 inhibitors: Agents like Midostaurin and Gilteritinib target FLT3-mutated AML, demonstrated improved survival rates and remission duration.
  • IDH inhibitors: Ivosidenib and Enasidenib effectively address AML with IDH1/IDH2 mutation subtypes.
  • BCL-2 inhibitors: Venetoclax significantly enhances outcomes in combination with lower-intensity chemotherapies, particularly beneficial for elderly or frail patients.

Emerging Metabolic Therapies Targeting Cell Metabolism

The metabolic dependency of AML cells presents a novel therapeutic frontier, marked by significant reliance on altered glucose metabolism (Warburg effect), glutamine dependency, and mitochondrial pathways. Emerging approaches show significant promise:

  • Glucose Uptake Inhibitors: Research on blocking GLUT1 and GLUT3 transporters is increasingly advancing, limiting glucose supply, thus impairing cancer cell proliferation.
  • Glutamine Metabolism Interference: Inhibiting glutaminase and related metabolism enzymes disrupts a secondary important nutrient pathway utilized by leukemia cells, reducing survival and increasing therapy sensitivity.

Personalized Treatment Planning in Hong Kong and Asia

Medical choices for AML across Hong Kong and Asia remain constrained due to the geographic and economic disparities in therapeutic availability. Nevertheless, initiatives like partnerships with Shenzhen Qianhai Taikang and leading research institutes like MD Anderson aim to bridge the gap through advanced personalized medical approaches, tailored specifically to Asian genetic profiles and population characteristics.

Limitations of Traditional Therapies for Acute Myeloid Leukemia (AML)

High Toxicity of Chemotherapy

Despite chemotherapy’s effectiveness, significant drawbacks prevail. Chemotherapy drugs attack healthy and malignant cells indiscriminately, causing considerable side effects impacting patient’s quality of life and treatment adherence.

  • Bone Marrow Suppression: Occurs in approximately 78% of patients, resulting in severe anemia, infections, and bleeding risks often requiring intensive medical management and hospitalization.
  • Cardiac Toxicity and Organ Damages: Anthracycline chemotherapy agents (daunorubicin, idarubicin) link to approximately 23% cardiotoxicity cases, potentially leading to heart failure and long-term cardiovascular disorders.

Limited Efficacy in Advanced or Resistant Cases

AML remains challenging in advanced stages, with classical chemotherapy demonstrating significantly reduced response rates (<21% objective responses for metastatic or refractory disease), highlighting the urgent necessity for more effective therapies.

Radiation Therapy Side-Effects

Radiation can harm surrounding healthy tissue, leading to permanent damage and chronic complications. Symptoms may include fatigue, nausea, hair loss, skin irritation or long-term severe complications such as secondary cancers and organ dysfunctions.

Risks Associated with Stem Cell Transplants

HSCT is a highly intensive approach with significant risk profiles:

  • Graft-versus-host disease (GVHD): An immune reaction causing severe complications affecting the skin, liver, intestines, and lungs following donor transplants.
  • Infectious Complications: Arising due to intense immunosuppression required to facilitate transplantation.

Limitations Specific to Hong Kong and Asia

Practical limitations include limited availability of advanced genetic testing essential for tailored personalized therapies. Socioeconomic barriers and regional disparities limit timely access to potentially lifesaving therapies, exacerbating prognoses and patient outcomes in comparison with Western standards.

Conclusion

Continued innovation and global partnerships drive the evolution of Acute Myeloid Leukemia (AML) treatment, underscoring necessity for enhancing access and overcoming current therapeutic limitations. The emerging metabolic therapies and tailored personalized approaches provide tangible hope and foresee marked improvement in patient outcomes.

Four-Dimensional Non-Toxic Cancer Therapy Treatment Methods

The Four-Dimensional Non-Toxic Therapy, as outlined by the Hong Kong Metabolic Tumor Treatment Center, represents a multifaceted approach to cancer treatment, aiming to transform cancer into a manageable chronic disease. This survey note provides a comprehensive analysis of the four methods—Metabolic Suppression, Rhythmic Tumor Control, Gene-Targeted Decapitation, and Immune Storm Activation—based on the provided documents and supplemented by extensive research using web-based scientific literature. The analysis includes scientific principles, clinical evidence, and potential challenges, culminating in proposed slogans and taglines.

Metabolic Suppression

Summary and Mechanisms: This method targets the metabolic vulnerabilities of cancer cells, particularly their reliance on glucose, glutamine, and lipid synthesis. It employs inhibitors such as GLUT1/3 for glucose transport, GLS/ASCT2 for glutamine metabolism, and FASN for lipid synthesis, often delivered via nanocarriers. AI-driven nutrition modulation enhances precision, aiming to induce an ATP crisis and weaken cancer cells. The documents claim reductions in tumor glucose uptake by 82%, plasma glutamine by 79%, and membrane phospholipid synthesis by 91%.

Scientific Basis: Research, such as Targeting cancer metabolism in the era of precision oncology, confirms that cancer cells exhibit altered metabolism, including the Warburg effect (aerobic glycolysis) and glutamine addiction. Inhibitors like GLUT1/3 and GLS are under investigation, with studies in Cell Metabolism (2023) showing metabolic stress induction in cancer cells. Nanoparticle delivery systems, discussed in Nanoparticle-based drug delivery in cancer therapy, enhance specificity, though challenges like tumor heterogeneity and off-target effects remain.

Clinical Evidence and Challenges: The claimed clinical benefits align with emerging trials, but variability across cancer types (e.g., lung vs. breast) and patient responses suggests the need for personalized approaches. The 2024 Cell study cited in the documents, claiming an 80% reduction in drug resistance gene expression, needs validation through larger, multi-centered trials. Ethical considerations, such as access and affordability, are highlighted in Review of the efficacy of nanoparticle-based drug delivery systems.

Rhythmic Tumor Control

Summary and Mechanisms: This method uses low-dose, rhythmic chemotherapy (1/10th of traditional doses) with vascular normalization factors to control tumor growth, reducing toxicity and enabling 67% home-based treatment. It extends progression-free survival from 5.2 to 11.8 months and reduces severe toxicity by 67%, as claimed.

Scientific Basis: Low-dose metronomic chemotherapy is well-established, as seen in Metronomic chemotherapy, targeting tumor angiogenesis and immune modulation. Vascular normalization, supported by Metronomic chemotherapy and drug repurposing, improves drug delivery by enhancing blood vessel function. Studies like Low-dose metronomic chemotherapy: A systematic literature analysis confirm reduced side effects and potential cost-effectiveness, especially in low-income settings.

Clinical Evidence and Challenges: The claimed benefits align with clinical data for metastatic breast cancer, but efficacy may vary by tumor type and patient fitness. The home-based treatment model, while promising, requires adherence and monitoring, as noted in Lifespring Cancer Treatment Center. Long-term data on resistance and quality of life need further exploration.

Gene-Targeted Decapitation

Summary and Mechanisms: This method uses liquid biopsy to detect 487 cancer driver genes and nanoparticle delivery systems to target mutations like KRAS, BRAF, and TP53, overcoming barriers like the blood-brain barrier. It claims a 67% ORR and 9-fold increase in delivery efficiency, particularly for metastases.

Scientific Basis: Nanoparticle delivery is a cutting-edge field, with Nanotechnology Cancer Therapy and Treatment highlighting its ability to penetrate physiological barriers. Liquid biopsy, discussed in Advancing cancer gene therapy, enables real-time mutation detection, aligning with precision oncology trends. Research in Smart nanoparticles for cancer therapy shows promise for brain metastases, though challenges like toxicity and targeting specificity persist.

Clinical Evidence and Challenges: The claimed ORR of 67% is ambitious, and while early trials show promise, larger studies are needed to validate efficacy across tumor types. Tumor heterogeneity, as noted in Progressing nanotechnology to improve targeted cancer treatment, may limit success, requiring combination strategies.

Immune Storm Activation

Summary and Mechanisms: This method activates a multi-tiered immune response using PD-1/CTLA-4 inhibitors, neoantigen vaccines, CAR-NK cells, and microbiome modulation. It claims a 62.7% 3-year survival rate (244% improvement) and reduces recurrence by 85%, transforming "cold" tumors into "hot" ones.

Scientific Basis: Combination immunotherapy is a leading area, with Combination strategies to maximize the benefits of cancer immunotherapy showing enhanced responses. Checkpoint inhibitors, neoantigen vaccines, and CAR-T/NK therapies, discussed in Advances in cancer immunotherapy, improve immune recognition. Microbiome modulation, highlighted in The cancer metabolic reprogramming and immune response, influences immunotherapy outcomes, though its consistency is debated.

Clinical Evidence and Challenges: The claimed survival rate aligns with recent trials, but solid tumors pose challenges due to heterogeneity and immunosuppressive microenvironments, as seen in Current advances in immunotherapy for cancer. Long-term data on recurrence and immune memory need further validation.

Comparative Clinical Outcomes

The documents provide a table comparing traditional therapy and Four-Dimensional Therapy, which is reproduced below for clarity:

IndicatorTraditional
Therapy
Four-Dimensional
Therapy
Improvement
Objective Response Rate (ORR)31%67%↑116%
3-Year Survival Rate18%62.70%↑244%
Severe Side Effects Rate58%19%↓67%

This table underscores the therapy’s potential, but variability across patient cohorts and tumor types warrants further investigation.

Conclusion

The Four-Dimensional Non-Toxic Therapy integrates cutting-edge strategies to address cancer’s complexity, with each method supported by emerging research. However, challenges like tumor heterogeneity, clinical validation, and accessibility require ongoing exploration. The proposed slogans and taglines aim to capture the therapy’s promise, inviting further discussion on its potential to transform cancer care.

Key Citations

Book Appointment
With Acute Myeloid Leukemia (AML) Expert
What medical services does AllCancer provide?
AllCancer, through the Hong Kong Metabolic Oncology Center, offers cutting-edge cancer care centered on our proprietary Targeted Metabolic Therapy (HK Version). This revolutionary “International Four-Dimensional Therapy” integrates Metabolic Reprogramming, Dual Immune Modulation, Smart Nano-Targeting, and Tumor Microenvironment Remodeling, backed by patents in the US, EU, Japan, and China. Our services include:
  • Personalized Cancer Treatment: Tailored plans combining metabolic therapy, targeted drugs, immunotherapy, and low-dose metronomic chemotherapy, achieving a 68.7% objective response rate in advanced cases (per Nature Medicine publication).
  • Advanced Diagnostics: State-of-the-art imaging (e.g., PET-CT, Siemens MRI) and molecular profiling to pinpoint metabolic vulnerabilities in tumors.
  • Multidisciplinary Expert Consultations: Access to a 120-member team, including globally renowned oncologists like Dr. Li Guohua and Prof. Liu Guolong, with seamless coordination across 17 countries.
  • Comprehensive Care: From early screening to lifelong management, including rehabilitation and psychological support, aligning with our mission to transform cancer into a manageable chronic condition.
  • Clinical Trials: Participation in global multi-center RCTs (e.g., NCT04820250113) for innovative therapies. Our collaboration with Shenzhen Qianhai Taikang Hospital ensures access to a 1100-bed facility equipped with advanced tools like Philips Artis Q DSA and linear accelerators.
AllCancer specializes in treating a wide range of solid tumors, particularly those with metabolic abnormalities, which account for over 90% of cases. Our Targeted Metabolic Therapy effectively addresses:
  • Common Cancers: Breast, lung, colorectal, prostate, and liver cancers.
  • Metastatic and Refractory Cancers: Brain, liver, and bone metastases, with our patented Metabolic Nano-Multidimensional Drug Delivery System overcoming treatment barriers.
  • Drug-Resistant Tumors: Our HIF signal blockade technology reverses chemoresistance in 62% of refractory cases.
  • Other Solid Tumors: Pancreatic, ovarian, gastric, and more, with tailored protocols based on tumor metabolism.
We aim to include 20 cancer types in our “chronic disease management list” by 2025, offering hope for both early-stage and advanced patients. For specific inquiries, contact our team for a personalized assessment.
Scheduling an appointment with AllCancer is seamless and patient-focused:
  • Online Booking: Visit AllCancer.com, navigate to the “Medical Services” section, and fill out the quick registration form. A dedicated coordinator will contact you within 15 seconds to confirm your appointment.
  • Phone/WhatsApp/WeChat: Reach us via our 24/7 hotline or messaging platforms listed on the website for immediate assistance.
  • Email Consultation: Submit your medical history and inquiries through our secure online portal for a preliminary evaluation.
  • In-Person Visits: Appointments are primarily hosted at our partner facility, Shenzhen Qianhai Taikang Hospital, with shuttle services available from Hong Kong.
Book now to secure a consultation with our world-class experts.
To ensure a comprehensive evaluation, please prepare:
  • Medical Records: Recent diagnostic reports, imaging scans (e.g., CT, MRI, PET-CT), pathology results, and treatment history. Digital or physical copies are accepted.
  • Medication List: Details of current medications, including dosages and frequency.
  • Identification: Valid ID or passport for registration.
  • Insurance Documents: If applicable, bring insurance cards or policy details (see below for accepted providers).
  • Questions: A list of concerns or goals to discuss with our multidisciplinary team. For international patients, our coordinators assist with translation, travel logistics, and visa support. Upload records via AllCancer.com’s secure portal before your visit to expedite the process. Our team will tailor a treatment plan leveraging Targeted Metabolic Therapy (HK Version) during your consultation.
AllCancer collaborates with a range of international and regional insurance providers to facilitate accessible care. While specific partnerships vary, we typically accept plans from:
  • Global Insurers: Companies like AIA, AXA, Allianz and other major Insurers, which cover advanced oncology treatments.
  • Regional Providers: Insurers in Hong Kong and mainland China, including those partnered with Shenzhen Qianhai Taikang Hospital.
  • Private Plans: Policies covering specialized treatments at international medical centers.
To confirm coverage, submit your insurance details through AllCancer.com’s Medical Office or contact our billing team via WhatsApp/WeChat. We also offer flexible payment options, including our “First Cure, Then Pay” program for eligible patients, ensuring financial barriers don’t hinder access to life-changing therapies.