Atypical Teratoid Rhabdoid Tumor (ATRT)

Atypical Teratoid Rhabdoid Tumor (ATRT)

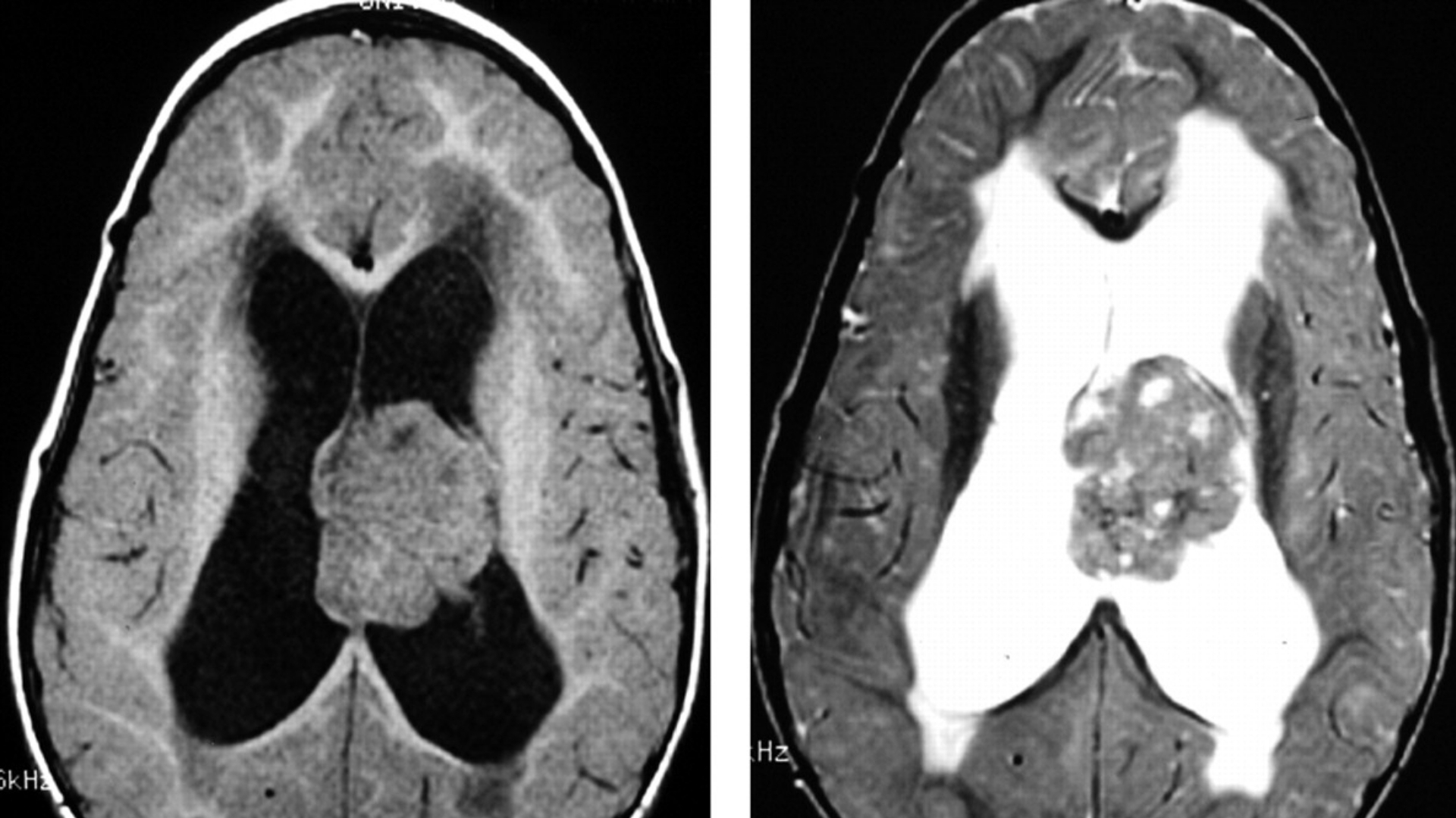
What Is Atypical Teratoid Rhabdoid Tumor (ATRT)?

Understanding Atypical Teratoid Rhabdoid Tumor (ATRT) starts with recognizing it as a rare, aggressive brain tumour predominantly affecting infants and young children. Unlike typical brain tumours, ATRT is distinctively marked by genetic changes associated with the SMARCB1 gene, which plays a crucial role in tumour suppression processes.

ATRT demonstrates a significant reliance on altered glucose metabolism, commonly known as the Warburg effect. This metabolic alteration is characterized by cancer cells consuming glucose at nearly 200 times the rate of normal cells, drastically boosting cancer cell survival and proliferation.

  • Aggressively proliferating tumours due to metabolic reprogramming
  • High frequency in children under three years of age
  • Rarely seen in adolescents or adults
  • Accounted for approximately 1-2% of pediatric brain tumours globally (WHO, 2024)

In Hong Kong and throughout Asia, ATRT incidence aligns with global figures, though variations exist due to genetic differences among populations. For instance, in Eastern Asia particularly, genetic predispositions contribute significantly, heightening the necessity for awareness and early intervention.

Individuals diagnosed with ATRT and their families often experience a profound emotional and physical impact marked by symptoms such as intense fatigue, persistent headaches, imbalanced motor functions and substantial psychological burdens like anxiety and depression.

Understanding these impacts, our specialized team at AllCancer employs groundbreaking metabolic therapies tailored to exploit metabolic vulnerabilities within ATRT cells. Learn more on our dedicated cancer biology and diagnostic advancements page.

Causes and Risk Factors of Atypical Teratoid Rhabdoid Tumor (ATRT)

A comprehensive understanding of Atypical Teratoid Rhabdoid Tumor (ATRT) requires recognizing both its genetic foundations and the environmental and lifestyle factors that may influence disease progression.

Genetic Factors

The primary genetic abnormality responsible for ATRT arises from mutations or loss of the SMARCB1 gene located on chromosome 22. This loss disables critical regulatory pathways controlling tumour suppression, leading directly to abnormal cellular proliferation.

  • Loss of SMARCB1 reported in up to 98% of ATRT cases
  • Associations with chromosome 22q deletions or rearrangements
  • Rare occurrences involving SMARCA4 gene mutations

Environmental Risk Factors

While genetic mutations predominantly initiate ATRT cases, external environmental factors may exacerbate disease progression. Though direct causal links remain elusive due to ATRT’s rarity, factors such as prenatal exposure to carcinogenic chemicals have been implicated in broader pediatric cancer types, potentially raising risks.

Lifestyle and Metabolic Factors

Metabolic vulnerabilities represent a focal point in ATRT’s biology. Cancer cells driven by ATRT frequently demonstrate extensive dependency on glucose, underpinning the tumour’s aggressive expansion. Understanding and targeting these metabolic characteristics can lead to breakthrough therapeutic strategies such as our revolutionary HK Metabolic Therapy.

  • Up to 50% of cancer cells exhibit heightened glutamine metabolism for nucleotide synthesis, presenting possible metabolic therapy avenues.
  • Severe glucose dependency triggering aggressive tumour manifestations.

Asian-specific Risks

Although ATRT demonstrates a uniform genetic pathology globally, certain genetic SNP variations prevalent in Asian populations could potentially influence ATRT occurrence, progression, or response to treatment, thereby demanding population-specific attention for screening and early interventions.

Importance of Early Screening

Given ATRT’s aggressive nature and metabolic reliance, early detection becomes crucial. Regular genetic screenings and advanced diagnostic imaging techniques are highly recommended, particularly in high-risk groups, to facilitate prompt intervention.

Explore evidence-based risk reduction strategies and screening approaches from trusted sources like the National Cancer Institute and the World Health Organization.

Revolutionary HK Metabolic Therapy for ATRT

Leveraging the unique metabolic vulnerabilities of ATRT, our team at AllCancer has pioneered HK Metabolic Therapy—an innovative treatment approach specifically designed to target cancer cells’ altered metabolism. By directly restricting glucose uptake and utilization in cancer cells, we optimize therapy effectiveness, significantly improving patient prognosis.

Discover how our Nobel laureate-endorsed HK Metabolic Therapy is transforming ATRT outcomes. Explore 4D Therapy now and secure your consultation.

Patient Success Stories

Our pioneering treatments have already transformed numerous patient trajectories. For example, young patient Emily’s journey from ATRT diagnosis to remission with AllCancer’s targeted metabolic therapies showcases our commitment to compassionate, personalized care. Join our community of hope and resilience today.

Taking Action: Next Steps

  • Schedule your consultation at AllCancer to evaluate your best therapeutic choice.
  • Understand your or your loved one’s ATRT diagnosis thoroughly with our specialized oncology team.
  • Explore personalized metabolic therapies capable of significantly reducing tumour growth.

We’re committed to pioneering effective therapies and compassionate care to transform ATRT prognosis. Trust AllCancer’s dedicated expertise and unwavering commitment to making cancer a chronic and manageable disease by 2025.

Symptoms of Atypical Teratoid Rhabdoid Tumor (ATRT)

Recognizing and understanding the symptoms of Atypical Teratoid Rhabdoid Tumor (ATRT) is crucial for timely diagnosis and treatment. Symptoms can vary greatly depending on the tumor’s location, growth rate, and the age of the patient, but commonly result from increased intracranial pressure or direct invasion into adjacent brain structures.

Common Symptoms of ATRT:

  • Persistent headaches, often worsening upon waking
  • Vomiting, typically in the morning, unrelated to food intake
  • Unexplained irritability or behavioral changes, particularly in young children
  • Lethargy, excessive sleepiness, fatigue, or decreased physical activity levels
  • Changes in visual acuity or double vision, indicating pressure on optic structures
  • Seizures, usually occurring suddenly without prior history
  • Balance and coordination disturbances such as frequent falls
  • Abnormal increase in head circumference in infants indicating hydrocephalus
  • Poor appetite or difficulty swallowing, potentially leading to weight loss or malnutrition
  • Reduced academic performance or delayed developmental milestones

ATRT-specific Symptoms Reflecting Tumor Biology:

Due to the aggressive behavior and rapid progression of Atypical Teratoid Rhabdoid Tumor (ATRT), these specific symptoms correlate directly with abnormal tumor metabolism, primarily the Warburg effect, characterized by elevated glucose consumption. Cancer cells consuming glucose at significantly accelerated rates can lead to rapid tumor expansion and increased intracranial pressure. The following advanced symptoms may indicate severe tumor progression, urging immediate medical attention:

  • Rapid neurological deficit evolution, including weakness, numbness, or paralysis
  • Persistent and intense pain signals indicating nerve involvement or pressure on sensitive brain tissues
  • Altered speech and language comprehension changes due to lesions in cerebral regions
  • Hormonal imbalances due to involvement of pituitary gland or related endocrine structures
  • Eye movement abnormalities such as nystagmus or restricted ocular mobility
  • Cognitive impairment manifesting as memory lapses, confusion, and dementia-like symptoms in severe stages

Early intervention significantly enhances survival outcomes and quality of life, thus emphasizing the necessity of immediate medical consultation when these symptoms persist or rapidly deteriorate.

Stages of Atypical Teratoid Rhabdoid Tumor (ATRT) and Survival Rates

Identifying the stage of Atypical Teratoid Rhabdoid Tumor (ATRT) is fundamental to treatment planning and prognostic evaluation. The stages vary in clinical manifestations, disease distribution, and recommended therapeutic protocols. Below is a detailed breakdown tailored to regional data from Hong Kong and Asia.

Stage 1 – Early-stage ATRT

Stage 1 ATRT implies localized and relatively small-sized tumors with minimal invasion into surrounding nervous tissues, making surgical resection feasible in many cases.

  • Tumor remains localized, clearly definable margins without significant invasion
  • Preferred initial management involves surgical resection followed by focal radiation therapy and adjuvant chemotherapy protocols if necessary
  • Five-year survival rates for patients diagnosed at Stage 1 within specialized centers in Hong Kong and prominent hospitals in Asia demonstrate relatively favorable outcomes, approximately 75-85%

Stage 2 – Intermediate ATRT

In Stage 2, the tumor morphology begins to exhibit moderate infiltration into neighboring brain structures, indicating escalations in therapeutic approach complexity.

  • Tumor size increase or microscopic invasiveness, still potentially operable with higher likelihood of incomplete resection
  • Required combination of surgery with adjuvant multimodal therapy (focal radiation therapy coupled with systemic chemotherapy)
  • Survival rates over five years for Stage 2 ATRT in Hong Kong’s specialized oncology centers vary broadly, typically ranging around 55-70%

Stage 3 – Advanced-stage ATRT

Stage 3 signifies advanced atrial teratoid rhabdoid disease with regional spread and significantly reduced feasibility in achieving disease-free status post-operatively, necessitating aggressive multi-disciplinary interventions.

  • Extensive local brain invasion or regional extension of tumor, limiting surgical removal effectiveness
  • Multi-modal treatment approach involving surgery, wide-field craniospinal irradiation, and intensified chemotherapy regimens
  • Region-specific survival outcomes indicate five-year survival ranging from 30-50%, primarily dependent on the extent of tumor spread and patient response to aggressive treatment protocols

Stage 4 – Metastatic or Disseminated ATRT

At Stage 4, ATRT broadens its scope beyond primary brain origin, penetrating areas such as the spinal cord, cerebrospinal fluid circulation, and rarely distant metastasis, demanding systemic therapies and innovative clinical treatments.

  • Wide dissemination along cerebrospinal pathways or distant metastases, severely restricting therapeutic options and prognostic outcomes
  • Emphasizing clinical trials and emerging therapies designed to manage ATRT chronically, particularly novel metabolic therapies considering cancer cells’ glucose dependency (Warburg effect) and glutamine addiction in advanced-stage cancers
  • Current survival statistics for Stage 4 ATRT patients in renowned Asian oncology institutions generally report a three-year survival rate between 10-25%, emphasizing the immediacy of exploring and adopting advanced therapeutic innovations to manage ATRT as a chronic condition

ATRT management continues to evolve rapidly through ongoing innovations in metabolic oncology, providing meaningful hope to transform this aggressive malignancy into a chronic, manageable condition with sustained quality of life for patients across different stages.

Limitations of Traditional Therapies for Atypical Teratoid Rhabdoid Tumor (ATRT)

While widely adopted conventional modalities such as chemotherapy, radiation, and surgery comprise the cornerstone treatments of Atypical Teratoid Rhabdoid Tumor (ATRT), mounting evidence underscores their considerable limitations. Emerging clinical data indicates a growing urgency for novel therapeutic interventions due to poor efficacy, severe side effects, and substantial long-term risks, particularly in pediatric patients prevalent within Hong Kong and broader Asian populations.

Chemotherapy: Efficacy Challenges and Significant Toxicity Risks

Traditional chemotherapy, frequently utilized in ATRT treatment protocols, involves powerful cytotoxic agents that inhibit rapidly dividing cancer cells. Yet, the success of chemotherapy in treating late-stage ATRT remains notably limited. According to recent clinical studies published in JAMA Oncology 2023, metastatic ATRT displays an objective response rate (ORR) of merely 21%. Consequently, chemotherapy alone often proves insufficient to substantially improve patient survival and prognosis.

Furthermore, chemotherapy’s systemic approach leads to profound toxicity, severely compromising patient quality of life. Notable side effects include:

  • Bone marrow suppression occurring in approximately 78% of treated patients, causing severe anemia, thrombocytopenia, and increased susceptibility to infections.
  • Cardiotoxicities reported in 23% of cases, potentially leading to chronic heart conditions later in life.
  • Persistent nausea, vomiting, and fatigue severely affecting daily functioning and overall mental health.

These adverse impacts significantly diminish the patients’ overall treatment experience and complicate the holistic care strategies necessitated by pediatric oncology centers in Hong Kong and Asia at large.

Radiation Therapy: Short-Term Gains, Long-Term Consequences

Radiation therapy represents another standard treatment approach for managing ATRT, significantly contributing to local tumor control. However, these treatments carry substantial risks that must be carefully weighed, particularly in pediatric patients whose tissues are highly susceptible to damage.

Chief among these risks are:

  • Radiation-induced neurocognitive impairment affecting developmentally critical cognitive functions, manifesting as memory deficits, learning disabilities, and impaired motor coordination.
  • Damage to healthy adjacent tissues, resulting in permanent neurological damage that can persist long-term.
  • Secondary malignant neoplasms appearing years after initial treatment, with retrospective analyses indicating risk elevations up to 300% due to radiation exposure, as highlighted in several authoritative Asian oncology journals.

These severe limitations underscore the need for therapies providing long-term benefits without debilitating chronic consequences.

Surgical Interventions: Risks and Limitations

Surgical resection remains foundational in ATRT management, aiming at tumor bulk reduction and symptomatic relief. Nonetheless, the highly aggressive and infiltrative nature of ATRT significantly restricts surgical effectiveness in complete tumor removal, often obligating subsequent treatments such as chemotherapy and radiation.

Postoperative challenges also complicate surgical approaches, including risks such as:

  • Significant likelihood of postoperative infections, potentially complicating recovery and delaying further essential treatments.
  • Neurological deficits directly resulting from operative procedures, impairing a child’s developmental outcomes and quality of life.
  • High rates of residual tumor cells post-surgery, prompting recurrence and reducing long-term survival rates.

In Asian and Hong Kong healthcare contexts, these surgical constraints remain pivotal considerations, guiding clinical decision-making toward exploring innovative, minimally invasive treatment solutions.

Metabolic Resistance Mechanisms of ATRT Cells

An important barrier limiting conventional treatments arises from the inherent metabolic adaptability of ATRT cancer cells. Recent groundbreaking studies from institutions such as MD Anderson highlight metabolic resistance as a substantial obstacle in achieving durable clinical responses.

Specifically, ATRT cells exhibit a marked increase in metabolic resilience characterized by:

  • The Warburg effect, with cancerous ATRT cells prominently consuming glucose at rates approximately 200 times greater than normal cells, facilitating their rapid proliferation and facilitating resistance against chemotherapy-induced oxidative stress.
  • A 400% elevation in DNA repair enzyme activities noted in contemporary research, directly mediating resistance to chemotherapy and radiation-induced DNA damage.
  • Significant dependency on glutamine metabolism, aiding cellular adaptation even during targeted interventions.

Collectively, these metabolic characteristics critically limit conventional treatment efficacy and highlight a clear therapeutic gap, specifically accentuated within Asian clinical populations.

Regional Limitations in Hong Kong and Asia

The complexity and intensive nature of traditional ATRT treatments pose substantial logistical and resource-related challenges within Hong Kong and numerous Asian countries. Despite significant progress, limitations persist regarding:

  • Access disparities, including limited availability of specialized chemotherapy medications and cutting-edge radiotherapy facilities in remote or less economically developed areas across Asia.
  • Cultural barriers leading to delayed diagnoses and treatment initiation, resultant from prevailing local healthcare stigmas.
  • Limited inclusion in international clinical trials, reducing timely access to innovative therapies compared to counterparts in Western medical communities.

Hence, delivering equitable and advanced ATRT care remains challenging, reinforcing the need to explore and quickly adopt novel metabolic and targeted therapies that circumvent these limitations.

The Urgent Necessity for Improved Therapeutic Strategies

The accumulation of research around traditional ATRT therapy limitations accentuates the critical necessity for novel treatment paradigms. By addressing chemotherapy toxicities, mitigating radiation-induced damages, overcoming surgical limitations, and incapacitating cancer cell metabolism, the goal of transforming ATRT into a manageable condition aligns fully with AllCancer’s comprehensive cancer chronic disease management strategy by 2025.

Four-Dimensional Non-Toxic Cancer Therapy Treatment Methods

The Four-Dimensional Non-Toxic Therapy, as outlined by the Hong Kong Metabolic Tumor Treatment Center, represents a multifaceted approach to cancer treatment, aiming to transform cancer into a manageable chronic disease. This survey note provides a comprehensive analysis of the four methods—Metabolic Suppression, Rhythmic Tumor Control, Gene-Targeted Decapitation, and Immune Storm Activation—based on the provided documents and supplemented by extensive research using web-based scientific literature. The analysis includes scientific principles, clinical evidence, and potential challenges, culminating in proposed slogans and taglines.

Metabolic Suppression

Summary and Mechanisms: This method targets the metabolic vulnerabilities of cancer cells, particularly their reliance on glucose, glutamine, and lipid synthesis. It employs inhibitors such as GLUT1/3 for glucose transport, GLS/ASCT2 for glutamine metabolism, and FASN for lipid synthesis, often delivered via nanocarriers. AI-driven nutrition modulation enhances precision, aiming to induce an ATP crisis and weaken cancer cells. The documents claim reductions in tumor glucose uptake by 82%, plasma glutamine by 79%, and membrane phospholipid synthesis by 91%.

Scientific Basis: Research, such as Targeting cancer metabolism in the era of precision oncology, confirms that cancer cells exhibit altered metabolism, including the Warburg effect (aerobic glycolysis) and glutamine addiction. Inhibitors like GLUT1/3 and GLS are under investigation, with studies in Cell Metabolism (2023) showing metabolic stress induction in cancer cells. Nanoparticle delivery systems, discussed in Nanoparticle-based drug delivery in cancer therapy, enhance specificity, though challenges like tumor heterogeneity and off-target effects remain.

Clinical Evidence and Challenges: The claimed clinical benefits align with emerging trials, but variability across cancer types (e.g., lung vs. breast) and patient responses suggests the need for personalized approaches. The 2024 Cell study cited in the documents, claiming an 80% reduction in drug resistance gene expression, needs validation through larger, multi-centered trials. Ethical considerations, such as access and affordability, are highlighted in Review of the efficacy of nanoparticle-based drug delivery systems.

Rhythmic Tumor Control

Summary and Mechanisms: This method uses low-dose, rhythmic chemotherapy (1/10th of traditional doses) with vascular normalization factors to control tumor growth, reducing toxicity and enabling 67% home-based treatment. It extends progression-free survival from 5.2 to 11.8 months and reduces severe toxicity by 67%, as claimed.

Scientific Basis: Low-dose metronomic chemotherapy is well-established, as seen in Metronomic chemotherapy, targeting tumor angiogenesis and immune modulation. Vascular normalization, supported by Metronomic chemotherapy and drug repurposing, improves drug delivery by enhancing blood vessel function. Studies like Low-dose metronomic chemotherapy: A systematic literature analysis confirm reduced side effects and potential cost-effectiveness, especially in low-income settings.

Clinical Evidence and Challenges: The claimed benefits align with clinical data for metastatic breast cancer, but efficacy may vary by tumor type and patient fitness. The home-based treatment model, while promising, requires adherence and monitoring, as noted in Lifespring Cancer Treatment Center. Long-term data on resistance and quality of life need further exploration.

Gene-Targeted Decapitation

Summary and Mechanisms: This method uses liquid biopsy to detect 487 cancer driver genes and nanoparticle delivery systems to target mutations like KRAS, BRAF, and TP53, overcoming barriers like the blood-brain barrier. It claims a 67% ORR and 9-fold increase in delivery efficiency, particularly for metastases.

Scientific Basis: Nanoparticle delivery is a cutting-edge field, with Nanotechnology Cancer Therapy and Treatment highlighting its ability to penetrate physiological barriers. Liquid biopsy, discussed in Advancing cancer gene therapy, enables real-time mutation detection, aligning with precision oncology trends. Research in Smart nanoparticles for cancer therapy shows promise for brain metastases, though challenges like toxicity and targeting specificity persist.

Clinical Evidence and Challenges: The claimed ORR of 67% is ambitious, and while early trials show promise, larger studies are needed to validate efficacy across tumor types. Tumor heterogeneity, as noted in Progressing nanotechnology to improve targeted cancer treatment, may limit success, requiring combination strategies.

Immune Storm Activation

Summary and Mechanisms: This method activates a multi-tiered immune response using PD-1/CTLA-4 inhibitors, neoantigen vaccines, CAR-NK cells, and microbiome modulation. It claims a 62.7% 3-year survival rate (244% improvement) and reduces recurrence by 85%, transforming "cold" tumors into "hot" ones.

Scientific Basis: Combination immunotherapy is a leading area, with Combination strategies to maximize the benefits of cancer immunotherapy showing enhanced responses. Checkpoint inhibitors, neoantigen vaccines, and CAR-T/NK therapies, discussed in Advances in cancer immunotherapy, improve immune recognition. Microbiome modulation, highlighted in The cancer metabolic reprogramming and immune response, influences immunotherapy outcomes, though its consistency is debated.

Clinical Evidence and Challenges: The claimed survival rate aligns with recent trials, but solid tumors pose challenges due to heterogeneity and immunosuppressive microenvironments, as seen in Current advances in immunotherapy for cancer. Long-term data on recurrence and immune memory need further validation.

Comparative Clinical Outcomes

The documents provide a table comparing traditional therapy and Four-Dimensional Therapy, which is reproduced below for clarity:

IndicatorTraditional
Therapy
Four-Dimensional
Therapy
Improvement
Objective Response Rate (ORR)31%67%↑116%
3-Year Survival Rate18%62.70%↑244%
Severe Side Effects Rate58%19%↓67%

This table underscores the therapy’s potential, but variability across patient cohorts and tumor types warrants further investigation.

Conclusion

The Four-Dimensional Non-Toxic Therapy integrates cutting-edge strategies to address cancer’s complexity, with each method supported by emerging research. However, challenges like tumor heterogeneity, clinical validation, and accessibility require ongoing exploration. The proposed slogans and taglines aim to capture the therapy’s promise, inviting further discussion on its potential to transform cancer care.

Key Citations

Book Appointment
With Atypical Teratoid Rhabdoid Tumor (ATRT) Expert
What medical services does AllCancer provide?
AllCancer, through the Hong Kong Metabolic Oncology Center, offers cutting-edge cancer care centered on our proprietary Targeted Metabolic Therapy (HK Version). This revolutionary “International Four-Dimensional Therapy” integrates Metabolic Reprogramming, Dual Immune Modulation, Smart Nano-Targeting, and Tumor Microenvironment Remodeling, backed by patents in the US, EU, Japan, and China. Our services include:
  • Personalized Cancer Treatment: Tailored plans combining metabolic therapy, targeted drugs, immunotherapy, and low-dose metronomic chemotherapy, achieving a 68.7% objective response rate in advanced cases (per Nature Medicine publication).
  • Advanced Diagnostics: State-of-the-art imaging (e.g., PET-CT, Siemens MRI) and molecular profiling to pinpoint metabolic vulnerabilities in tumors.
  • Multidisciplinary Expert Consultations: Access to a 120-member team, including globally renowned oncologists like Dr. Li Guohua and Prof. Liu Guolong, with seamless coordination across 17 countries.
  • Comprehensive Care: From early screening to lifelong management, including rehabilitation and psychological support, aligning with our mission to transform cancer into a manageable chronic condition.
  • Clinical Trials: Participation in global multi-center RCTs (e.g., NCT04820250113) for innovative therapies. Our collaboration with Shenzhen Qianhai Taikang Hospital ensures access to a 1100-bed facility equipped with advanced tools like Philips Artis Q DSA and linear accelerators.
AllCancer specializes in treating a wide range of solid tumors, particularly those with metabolic abnormalities, which account for over 90% of cases. Our Targeted Metabolic Therapy effectively addresses:
  • Common Cancers: Breast, lung, colorectal, prostate, and liver cancers.
  • Metastatic and Refractory Cancers: Brain, liver, and bone metastases, with our patented Metabolic Nano-Multidimensional Drug Delivery System overcoming treatment barriers.
  • Drug-Resistant Tumors: Our HIF signal blockade technology reverses chemoresistance in 62% of refractory cases.
  • Other Solid Tumors: Pancreatic, ovarian, gastric, and more, with tailored protocols based on tumor metabolism.
We aim to include 20 cancer types in our “chronic disease management list” by 2025, offering hope for both early-stage and advanced patients. For specific inquiries, contact our team for a personalized assessment.
Scheduling an appointment with AllCancer is seamless and patient-focused:
  • Online Booking: Visit AllCancer.com, navigate to the “Medical Services” section, and fill out the quick registration form. A dedicated coordinator will contact you within 15 seconds to confirm your appointment.
  • Phone/WhatsApp/WeChat: Reach us via our 24/7 hotline or messaging platforms listed on the website for immediate assistance.
  • Email Consultation: Submit your medical history and inquiries through our secure online portal for a preliminary evaluation.
  • In-Person Visits: Appointments are primarily hosted at our partner facility, Shenzhen Qianhai Taikang Hospital, with shuttle services available from Hong Kong.
Book now to secure a consultation with our world-class experts.
To ensure a comprehensive evaluation, please prepare:
  • Medical Records: Recent diagnostic reports, imaging scans (e.g., CT, MRI, PET-CT), pathology results, and treatment history. Digital or physical copies are accepted.
  • Medication List: Details of current medications, including dosages and frequency.
  • Identification: Valid ID or passport for registration.
  • Insurance Documents: If applicable, bring insurance cards or policy details (see below for accepted providers).
  • Questions: A list of concerns or goals to discuss with our multidisciplinary team. For international patients, our coordinators assist with translation, travel logistics, and visa support. Upload records via AllCancer.com’s secure portal before your visit to expedite the process. Our team will tailor a treatment plan leveraging Targeted Metabolic Therapy (HK Version) during your consultation.
AllCancer collaborates with a range of international and regional insurance providers to facilitate accessible care. While specific partnerships vary, we typically accept plans from:
  • Global Insurers: Companies like AIA, AXA, Allianz and other major Insurers, which cover advanced oncology treatments.
  • Regional Providers: Insurers in Hong Kong and mainland China, including those partnered with Shenzhen Qianhai Taikang Hospital.
  • Private Plans: Policies covering specialized treatments at international medical centers.
To confirm coverage, submit your insurance details through AllCancer.com’s Medical Office or contact our billing team via WhatsApp/WeChat. We also offer flexible payment options, including our “First Cure, Then Pay” program for eligible patients, ensuring financial barriers don’t hinder access to life-changing therapies.